非小細胞肺癌(NSCLC)是肺癌中最常見的類型,預后較差且轉移率高,其轉移過程涉及復雜機制,包括腫瘤相關巨噬細胞(TAMs)分泌的趨化因子。現有靶向趨化因子的策略如單克隆抗體、小分子抑制劑等存在腫瘤靶向性差、生物相容性低的問題。2025年11月,中山大學附屬第三醫院張凱、黃帥、徐建南聯合中山大學附屬第一醫院吉喆研究團隊在Materials Today Bio (IF 10.2)發表題為“Targeting chemokine-driven metastasis in non-small cell lung cancer: Development and evaluation of chemokine nanosponges for therapy”的研究論文,構建了CCR6修飾巨噬細胞膜(CCR6-MM)包裹Toll樣受體7/8激動劑R848的趨化因子納米海綿(CCR6-MM@PS/R848),該納米海綿兼具CCL20吸附靶向能力與M2型TAMs向M1型極化功能,經體外和體內實驗驗證,其具有良好生物相容性,能雙重抑制腫瘤生長與轉移,為NSCLC轉移治療提供了新型策略。

· 維真助力·
病毒產品:Lv-CCR6
感染細胞:RAW264.7細胞
MOI:50


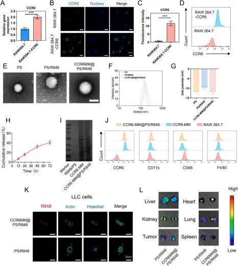
RAW264.7細胞中CCR6表達顯著增加
研究結果
1.CCR6-MM@PS/R848的構建、表征及生物相容性評估
單細胞測序分析發現,NSCLC轉移灶中M2型巨噬細胞通過高表達趨化因子CCL20驅動腫瘤轉移,這為靶向CCL20-CCR6軸提供了理論依據。研究人員利用慢病毒轉染RAW264.7細胞,使其高表達CCR6(CCL20的受體),提取其細胞膜制備成CCR6修飾的巨噬細胞膜(CCR6-MM),然后使用薄膜水合法制備含R848(TLR7/8激動劑)的脂質體(PS/R848),將CCR6-MM與PS/R848融合,形成納米海綿復合物。驗證結果顯示CCR6-MM@PS/ R848復合物在摻入R848組分的同時保留了原始細胞膜的功能特征,并能在體外和體內有效靶向表達CCR6的細胞和組織。生物相容性評估表明,CCR6-MM@PS/R848納米顆粒在細胞和動物層面均展現出優異的安全性,該制劑無細胞毒性、溶血和器官毒性,表明其是進一步臨床前和臨床開發的有希望的候選藥物。
CCR6-MM@PS/R848的表征
2.CCR6-MM@PS/R848將M2巨噬細胞重編程為M1表型
接下來,研究團隊研究了CCR6-MM@PS/R848將Raw264.7巨噬細胞從M2表型重編程為M1表型的能力。結果顯示,經CCR6-MM@PS/R848處理的細胞從M2典型的細長紡錘形轉變為M1典型的多角形形態,且M1標志物上調,M2標志物下調;同時細胞因子分泌譜改變,促炎性的M1特征細胞因子分泌增加,抑炎性的M2特征細胞因子分泌減少。這些結果表明,CCR6-MM@PS/R848具有強大的將M2巨噬細胞重編程為M1表型的能力。皮下腫瘤模型中,CCR6-MM@PS/R848組腫瘤體積顯著小于其他組,Ki67陽性率最低(細胞增殖受抑),腫瘤組織壞死區域顯著。進一步的研究表明,CCR6-MM@PS/R848在體內同樣能有效地將腫瘤相關巨噬細胞從促瘤的M2表型重編程為抗瘤的M1表型。

CCR6-MM@PS/R848體外促進RAW264.7細胞M1極化
3.CCR6-MM@PS/R848抑制肺癌細胞轉移
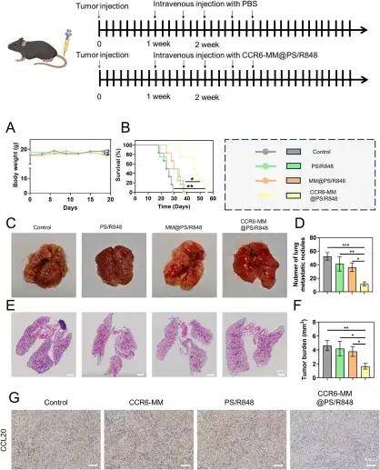
最后,研究團隊探究了該納米顆粒對腫瘤細胞惡性行為的影響。ELISA檢測證實,經CCR6-MM@PS/R848處理的巨噬細胞,其培養上清中的CCL20濃度因巨噬細胞M2向M1表型重編程和CCR6膜對CCL20的主動吸附而顯著下降。使用上述處理后的巨噬細胞培養上清來培養肺癌細胞(LLC),發現肺癌細胞的遷移和侵襲數量均顯著減少,表明CCR6-MM@PS/R848對巨噬細胞的重編程有效地抑制了LLC細胞的轉移潛能。在實驗性肺轉移模型中,體內研究進一步驗證了其療效:與對照組相比,CCR6-MM@PS/R848治療組小鼠的生存期顯著延長,肺臟轉移結節數量顯著減少。免疫組化與ELISA分析均顯示,治療組腫瘤組織中的CCL20水平顯著降低,明確了其體內作用機制。上述體內外結果一致表明,CCR6-MM@PS/R848能有效抑制肺癌轉移,且在整個過程中保持良好的生物相容性,凸顯了其巨大的治療潛力。

通過CCR6-MM@PS/R848進行的體內抗腫瘤轉移
研究結論
本研究通過單細胞RNA測序技術,發現轉移灶中M2型腫瘤相關巨噬細胞的趨化因子分泌功能增強,其中CCL20成為關鍵靶點。體外及體內實驗驗證了CCR6-MM與R848組合的治療潛力,證實其具有良好生物相容性、巨噬細胞極化效能,并能雙重抑制腫瘤生長與轉移,揭示了趨化因子納米海綿作為NSCLC轉移治療新策略的巨大潛力。
