2025年11月21日貝勒醫學院Benjamin Deneen在Nature Neuroscience雜志發表文章揭示在阿爾茨海默病動物模型海馬星形膠質細胞Sox9通過MEGF10吞噬Aβ斑塊,過表達Sox9可促進這種吞噬作用,改善認知功能。

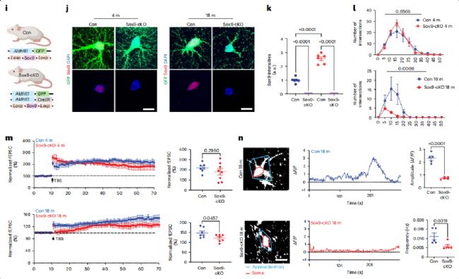
1、Sox9調控衰老后海馬星形膠質細胞形
通過免疫熒光實驗發現,與4月齡小鼠相比,18月齡小鼠星形膠質細胞中Sox9的表達水平顯著升高。染色質免疫沉淀18月齡轉錄因子Sox9的DNA結合序列顯著減弱。特異性敲除星形膠質細胞Sox9后4月齡小鼠海馬星形膠質細胞結構未出現變化,18月齡小鼠星形膠質細胞結構復雜性顯著降低,星形膠質細胞鈣離子活性減弱,長時程增強作用減弱。

2、Sox9促進星形膠質細胞吞噬Aβ斑塊
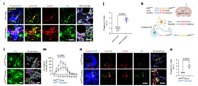
衰老是阿爾茨海默病(AD)最主要的危險因素。AD患者及APP−NLGF模型動物中海馬星形膠質細胞中Sox9的表達水平顯著升高。特異性敲除星形膠質細胞Sox9后4月齡APP−NLGF模型動物海馬神經元萎縮增加,Aβ斑塊形成增多。6月齡APP−NLGF模型動物海馬注射過表達Sox9后可顯著降低Aβ斑塊,并能顯著改善新物體識別實驗的認知功能,并不引起焦慮樣行為。
免疫熒光實驗表明6月齡APP−NLGF模型動物海馬星形膠質細胞吞噬Aβ斑塊的作用增強,在敲除星形膠質細胞Sox9這種吞噬作用減弱。過表達星形膠質細胞Sox9可顯著促進APP−NLGF模型動物海馬星形膠質細胞吞噬Aβ斑塊。原代星形膠質細胞離體培養實驗發現過表達Sox9可促進星形膠質細胞吞噬Aβ寡聚體。
淀粉樣前體蛋白(Amyloid precursor protein,簡稱APP)經β-分泌酶和γ-分泌酶連續切割生成β淀粉樣蛋白(Aβ)。APP可表達在星形膠質細胞、神經元、小膠質細胞等細胞中,為確定星形膠質細胞特異性吞噬神經元來源Aβ,研究人員利用病毒工具特異性實現神經元表達APP-NL-F,結果發現星形膠質細胞可吞噬APP-NL-F,過表達Sox9可促進這一吞噬作用,上述結果表明Sox9可促進星形膠質細胞吞噬Aβ斑塊。

3、Sox9通過MEGF10促進星形膠質細胞吞噬Aβ斑塊
星形膠質細胞可通過期吞噬受體MEGF10實現吞噬功能。18月齡特異性敲除Sox9小鼠中星形膠質細胞MEGF10表達降低。過表達Sox9后6月齡APP−NLGF模型動物海馬星形膠質細胞MEGF10表達增多,提示Sox9可直接調控MEGF10的表達。6月齡APP−NLGF模型動物海馬腦區過表達MEGF10后Aβ斑塊形成減少,星形膠質細胞吞噬Aβ斑塊增多,并能顯著改善認知功能。

總結:
本文發現在AD動物模型中海馬轉錄因子Sox9可通過MEGF10吞噬已存在的Aβ斑塊,改善認知功能。
參考文獻:Choi, DJ., Murali, S., Kwon, W. et al. Astrocytic Sox9 overexpression in Alzheimer’s disease mouse models promotes Aβ plaque phagocytosis and preserves cognitive function. Nat Neurosci (2025). https://doi.org/10.1038/s41593-025-02115-w
創作聲明:本文是在原英文文獻基礎上進行解讀,存在觀點偏向性,僅作分享,請參考原文深入學習。


想了解更多內容,獲取相關咨詢請聯系
電 話:+86-0731-84428665
伍經理:+86-180 7516 6076
工程師:+86-180 7311 8029
郵 箱:consentcs@163.com
