克隆胚胎DNA羥甲基化動態及功能解析體細胞重編程障礙機制
瀏覽次數:145 發布日期:2025-11-28
來源:本站 僅供參考,謝絕轉載,否則責任自負
2025年11月18日,安徽醫科大學第一附屬醫院梁丹教授團隊和中國科學院動物研究所郭帆研究員團隊合作,首次系統繪制了小鼠體細胞核移植(SCNT)克隆胚胎植入前發育完整階段的全基因組5-羥甲基胞嘧啶(5hmC)動態圖譜,并通過聯合全基因組重亞硫酸鹽測序(WGBS)、APOBEC偶聯表觀遺傳測序(ACE-seq)及RNA測序(Smart-seq2)等多組學技術,共同揭示了5hmC異常修飾模式在克隆胚胎發育障礙中的關鍵作用。本研究發現,SCNT胚胎在2細胞期呈現出一種獨特的"類精子但減弱"的親本等位基因對稱性5hmC分布模式,這一特征顯著區別于自然受精胚胎的親本不對稱模式;雌性克隆胚胎X染色體5hmC沉積顯著不足,而生殖印記控制區(gICRs)則表現出去甲基化(5hmC相關)抵抗。此外,進一步的TET3過表達實驗表明,TET3過表達介導5hmC水平異常升高,從而導致發育相關基因過早激活并嚴重阻礙克隆胚胎發育。該研究不僅闡明了5hmC在體細胞重編程中的精確調控機制,也為提升哺乳動物克隆效率提供了新的理論靶點。相關研究成果以“5-Hydroxymethylcytosine Dynamics Reveals Coordinated Reprogramming of Parental Genomes and X Chromosome Dosage Balance in Mouse SCNT Embryos“為題發表于《Advanced Science》期刊。

標題:5-Hydroxymethylcytosine Dynamics Reveals Coordinated Reprogramming of Parental Genomes and X Chromosome Dosage Balance in Mouse SCNT Embryos(5-羥甲基胞嘧啶動態揭示小鼠SCNT胚胎親本基因組的協同重編程與X染色體劑量平衡)
發表時間:2025年11月18日
發表期刊:Advanced Science
影響因子:IF14.1/Q1
技術平臺:WGBS、ACE-seq、Smart-seq2
作者單位:安徽醫科大學第一附屬醫院、中國科學院動物研究所
DOI:10.1002/ADVS.202509682
這一研究以體細胞核移植(Somatic Cell Nuclear Transfer,SCNT)胚胎表現出以DNA甲基化異常為主要表征的廣泛表觀遺傳突變為方向,發現DNA 5-羥甲基胞嘧啶(5hmC)參與早期胚胎發育過程中的甲基化重編程。研究團隊通過系統性地繪制了小鼠SCNT胚胎親本等位基因的特異性全基因組5hmC圖譜發現2細胞期供體體細胞的雙親本基因組短暫性獲得類似正常受精胚胎中父本基因組的對稱性羥甲基化模式,但整體信號明顯較弱且快速消退;尤其是在母本基因組克隆胚胎中,X染色體羥甲基化嚴重不足,而多個關鍵生殖印記控制區(germline imprinting control regions,gICRs)表現出較強去甲基化抵抗的模式。盡管新生5hmC生成與體細胞-受精卵轉換過程中的初始DNA去甲基化密切相關,但其與持續的甲基化變化隨后發生解耦。有趣的是,通過Tet3過表達提升全局5hmC水平會導致發育有關基因在2細胞期過早激活,從而導致SCNT胚胎發育失敗不良結局。這些發現通過揭示SCNT胚胎中異常5hmC重編程的獨特動態及其功能結局,完善哺乳動物克隆胚胎發育過程精準的DNA羥甲基化調控的相關機制。
研究方法
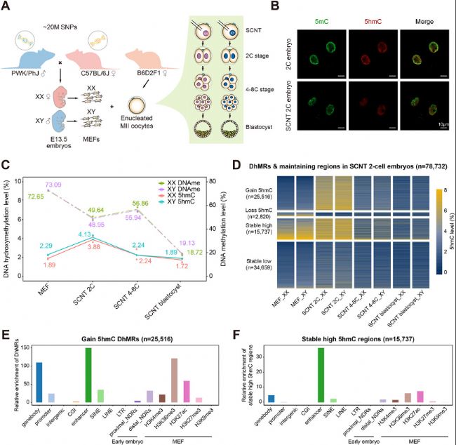
胚胎模型構建:以雜交小鼠(C57BL/6J × PWK/PhJ)的E13.5胎鼠成纖維細胞(MEFs)為核供體,構建SCNT胚胎,并分階段(2細胞期、4-8細胞期、囊胚期)收集樣本。
多組學測序技術:
- ACE-seq:通過ACE-seq測序,單堿基分辨率檢測5hmC全基因組分布。
- WGBS:全基因組甲基化測序,與ACE-seq數據聯合分析5mC/5hmC動態關聯。
- RNA-seq:Smart-seq2技術分析基因表達,關聯5hmC修飾與轉錄調控。
等位基因特異性分析:利用雜交小鼠SNP區分親本基因組,解析親本特異性表觀遺傳模式。
功能驗證:通過TET3過表達(mTet3-plus mRNA注射)提升5hmC水平,觀察其對發育的影響。
數據整合:整合WGBS和ACE-seq數據,精準量化5mC/5hmC/未修飾胞嘧啶比例。
結果圖形
(1)SCNT胚胎發育過程中的5hmC全基因組圖譜
本研究首先構建了SCNT胚胎從供體MEF至囊胚期發育過程中的完整5hmC動態圖譜(圖1A)。通過整合WGBS與ACE-seq數據,研究者發現整體5hmC水平在2細胞期出現顯著峰值,隨后在4-8細胞期逐漸下降,至囊胚期達最低點,呈現"先升后降"的獨特動態模式(圖1B-C)。具體而言,在體細胞-受精卵轉換(SZT)期間,高5hmC CpG位點比例及基因本體(gene body)區域的5hmC信號均顯著增強。值得注意的是,SCNT胚胎的DNA甲基化動態表現為"去甲基化-de novo甲基化-二次去甲基化"的雙波模式,與5hmC的"單峰"模式形成鮮明對比(圖1C)。研究進一步將78,732個差異羥甲基化區域(DhMR)分為四類:25,516個新生成5hmC位點、2,820個丟失5hmC位點、15,737個持續高5hmC位點及34,659個持續低5hmC位點(圖1D)。基因組特征分析顯示,新生成及穩定高5hmC區域顯著富集于增強子、基因本體及H3K36me3/H3K27ac/H3K4me3修飾區域(圖1E-F),這表明5hmC沉積偏好轉錄活躍的調控元件。

圖1:SCNT胚胎發育過程中細胞核5hmC的全基因組動態圖譜
(2)5hmC參與SCNT胚胎第一次DNA去甲基化
研究深入探究了5hmC與5mC動態的相關性,發現5hmC與5mC在SZT轉換階段(MEF至2細胞期)存在特異性負相關(圖2D-E)。在2細胞期,發生去甲基化的DMRs伴隨顯著的5hmC生成,而維持高甲基化的區域則未見5hmC積累(圖2B-C)。值得注意的是,這種耦聯關系在后續發育階段(2細胞至4-8細胞期、4-8細胞至囊胚期)完全消失,5hmC水平在不同甲基化動態區域間無差異。ACE-seq研究證實第一次去甲基化與5hmC生成緊密相關,而第二次去甲基化及de novo甲基化則不依賴于5hmC調控。
圖2:SCNT囊胚前DNA羥甲基化與DNA甲基化動態的相關性
(3)SCNT胚胎生殖印記控制區的5hmC動態
17個母本gICRs分析顯示,SCNT胚胎在2細胞至4-8細胞期維持高甲基化狀態,但在囊胚期第二次去甲基化中出現顯著5hmC非依賴性印記丟失(圖3A-B)。相關性分析驗證結果揭示gICRs甲基化與5hmC水平在母本等位基因上無顯著關聯(圖3C-D),表明印記區域存在特殊的保護機制抵抗TET3介導的氧化。上述研究結果表明gICRs去甲基化機制不依賴于羥甲基化動態變化。
圖3:母本gICR在SCNT發育過程中的5hmC水平變化。
(4)SCNT胚胎親本基因組X染色體的5hmC積累
X染色體劑量補償分析揭示了SCNT胚胎最顯著的性別特異性缺陷(圖4A)。在2細胞期,雌雄胚胎的常染色體5hmC水平在親本等位基因間對稱分布,但X染色體5hmC顯著低于常染色體;雌性胚胎的親本X染色體5hmC顯著低于常染色體和雄性胚胎的單一母本X染色體(圖4B)。該現象排除了MEF供體細胞的遺傳繼承(圖4E),證實是SZT重編程過程中5hmC生成不足所致。值得注意的是,SCNT胚胎Xist基因在雌性中顯著異常高表達(圖4C),但X染色體/常染色體轉錄比例在雌雄間無差異(圖4D),提示不足的5hmC可能通過維持高甲基化(圖4G)來促進Xist異常激活,這可能破壞X染色體劑量補償機制。與野生型(WT)2細胞期胚胎相比,WT中X染色體5hmC水平與常染色體相當(圖4F),揭示SCNT胚胎X染色體的"羥甲基化缺陷"具有克隆特異性。
圖4:雄雌胚胎及X染色體與常染色體之間的5hmC分布差異
(5)異常5hmC分布與SCNT發育障礙的相關性
比較SCNT與WT胚胎發現,盡管受精卵5hmC起始水平低于體細胞,WT在2細胞期胚胎5hmC總量仍顯著高于SCNT(圖5A),表明重編程效率不足。SCNT特異性高甲基化在4-8細胞期尤為突出(圖5A)。通過整合已發表WT胚胎數據,研究鑒定出四類DhMRs:SCNT特異區、WT特異區、共有高5hmC區和共有低5hmC區(圖5B)。其中,SCNT特異5hmC區域羥甲基化升高,且伴隨比WT更高的甲基化水平,提示"不完全重編程"狀態。基因組特征分析顯示,兩類細胞特異性DhMRs均富集于增強子(圖5C),且SCNT特異增強子關聯基因顯著下調,而WT特異增強子關聯基因富集于細胞命運決定、模式形成等早期發育通路(圖5D-E)。
通過RNA測序Smart-seq2提供的高靈敏度轉錄組數據與ACE-seq測序繪制的增強子5hmC信號圖譜進行鄰近關聯分析,共鑒定出779個SCNT特異基因和1,047個WT特異基因。這種多組學聯用策略揭示,SCNT胚胎并非整體5hmC缺失,而是在關鍵發育增強子上"異位不足",導致ZGA(合子基因組激活)相關發育程序未能正常啟動,從而導致發育失敗。
圖5:2細胞期WT胚胎與SCNT胚胎5hmC分布比較
(6)SCNT胚胎親本等位基因特異性5hmC動態
等位基因分辨率分析揭示了SCNT胚胎發育失敗的特異性模式(圖6A-B)。WT在2細胞期胚胎父本基因組5hmC達13.3%,母本僅2.69%,呈現典型不對稱分布;而SCNT的雌雄胚胎均表現為親本等位基因對稱(約4-5%)(圖6A)。在100 kb基因組范圍內上,SCNT雙親本基因組的5hmC水平與彼此高度線性相關,且整體分布模式類似WT父本基因組但強度減弱(圖6C-D)。t-SNE降維分析顯示,SCNT 2細胞親本基因組聚類于WT父本基因組附近,而遠離WT母本基因組(圖6E),表明無論DNA來源,卵胞質促進了"類精子"重編程。DNA甲基化分析顯示類似對稱性,且SCNT基因組從MEF到2細胞的甲基化水平和分布與WT精子到2細胞的父本基因組變化呈強線性相關,但去甲基化程度普遍更低。
圖6:SCNT胚胎與受精胚胎父本和母本基因組5hmC分布比較
(7)高5hmC破壞SCNT胚胎表觀遺傳譜
為驗證5hmC功能,研究在SCNT胚胎中過表達mTet3-plus突變體(圖7A)。免疫熒光證實HA標簽蛋白表達(圖7B),整體5hmC水平在2細胞期升至11.49%,遠高于對照的4.13%(圖7C),且高5hmC CpG比例及親本等位基因信號均顯著增加。分析發現43,736個位點發生5hmC新生成,其中33,380個為"異位生成"(即在正常SCNT中不羥甲基化)(圖7D)。這些新生成位點強烈富集于增強子、H3K27me3/H3K36me3修飾區(圖7E)。去甲基化DMRs在過表達組中5hmC顯著升高(圖7F),驗證了高5hmC與去甲基化正相關。然而,即使整體5hmC提升,親本基因組仍保持對稱性(圖7G),且雌性X染色體5hmC仍顯著低于常染色體(圖7H),說明X染色體抵抗不可單純通過TET3活性增強而克服。值得注意的是,過高5hmC并未改善SCNT胚胎發育,反而加劇阻滯,提示5hmC并非"越多越好",其時空分布精確性至關重要。
圖7:Tet3過表達SCNT胚胎中5hmC的水平與分布
(8)異位5hmC生成導致基因過早激活并阻礙SCNT胚胎發育潛能
mTet3-plus過表達胚胎中,母本gICRs在2細胞期出現印記丟失(圖8A),而正常SCNT中此過程延遲至囊胚期,說明異位5hmC可突破印記保護。在SCNT中沉默/低表達且在過表達基因組中激活,且啟動子區5hmC異位生成伴去甲基化的胚胎中鑒定出雌性597個、雄性753個異常再激活基因(圖8D)。GO分析顯示這些基因富集于"模式特化"、"區域化"、"成骨化"等原腸運動后事件(圖8E-F),表明2細胞期不應表達的晚期發育基因被過早激活。發育追蹤顯示,無論100、200或500 ng/μL劑量,mTet3-plus過表達均顯著降低2細胞分裂率及囊胚形成率(圖8G)。研究最終證明,5hmC的"精準調控"而非"整體提升"是SCNT成功的關鍵,異位羥甲基化會時序錯亂地激活發育程序,導致胚胎在合子基因組激活(ZGA)階段即失去發育協調性。
圖8:SCNT胚胎中5hmC動態與分布特征的示意圖
結論和啟示
本研究通過創新的多組學技術整合,系統闡明了5hmC是小鼠SCNT胚胎重編程的關鍵表觀障礙,其異常表現為"時間錯位、空間錯誤、劑量失準"。主要結論包括:
(1)SCNT胚胎在2細胞期建立了一種非生理的親本等位基因對稱5hmC分布,喪失自然受精中父本特異性高羥甲基化模式;
(2)雌性X染色體5hmC嚴重不足是導致劑量補償失敗的重要原因;
(3)印記區對5hmC介導的去甲基化具有抵抗性,但在囊胚期發生延遲性印記丟失;
(4)5hmC生成與第一次DNA去甲基化耦聯,但后續解耦,提示重編程存在一個關鍵時間窗口;
(5)全局提升5hmC水平反而導致發育基因過早激活和胚胎致死,證實精準調控的必要性。
參考文獻:
Xiang Z, Yan R, Guo J, Wang M, Cheng X, Zhang F, Guo T, Long X, Guo F, Liang D. 5-Hydroxymethylcytosine Dynamics Reveals Coordinated Reprogramming of Parental Genomes and X Chromosome Dosage Balance in Mouse SCNT Embryos. Adv Sci (Weinh). 2025 Nov 18:e09682. doi: 10.1002/advs.202509682.