
期刊:Nature Immunology
影響因子:29.6
主要技術:scRNA-seq、ST
導語
在免疫介導的炎癥性疾病(IMIDs)中,成纖維細胞的活化是眾所周知的,成纖維細胞參與免疫細胞的募集和活化,并參與組織破壞,從而導致炎癥的慢性化。最近開發的針對成纖維細胞活化蛋白(FAP)的高度特異性的小分子抑制劑,使得通過正電子發射斷層掃描(PET)成像在 IMIDs 中檢測人體成纖維細胞活性成為可能。目前尚不清楚抗炎治療期間成纖維細胞活化是如何改變的,有證據表明,盡管炎癥消退,但 IMIDs 中的成纖維細胞仍保持活化狀態。在此,作者展示了在關節炎消退期間成纖維細胞被重新編程為抗炎表型,這影響了 FAP 的內化,從而影響 PET 成像。在活動性關節炎中,檢測到具有高 FAP 內化的促炎性 MMP3+/IL6+成纖維細胞與促炎性免疫細胞聚集在一起。在消退期間,具有低 FAP 內化的 CD200+/DKK3+成纖維細胞積累,導致 PET 信號降低。它們與諸如 2 型固有淋巴細胞(ILC2)等促消退免疫細胞聚集在一起,并通過 CD200/CD200R1 穩定了 ILC2 的表型。總之,這些數據表明在關節炎消退期間間質細胞區室存在動態分子重編程,并揭示了成纖維細胞此前未被探索的抗炎功能。
關鍵技術
scRNA-seq、ST
實驗結果
1. FAP檢測與關節炎患者的疾病活動相關
為了檢測、表征和監測關節炎中的間充質細胞反應,作者開發了一種在人體內測量關節中成纖維細胞活化蛋白(FAP)活化的技術。為此,作者使用特異性結合活化間充質細胞表達的 FAP 的示蹤劑 Ga-FAPI-04 進行了正電子發射斷層掃描/計算機斷層掃描(PET/CT)成像。對 120 名患有炎癥性關節疾病的患者(包括類風濕性關節炎、銀屑病關節炎、中軸型脊柱關節炎以及無關節炎的對照組)進行了 FAP-PET/CT 掃描。在關節炎患者的滑膜和肌腱附著點處觀察到了間充質細胞活化,表現為局部 FAP 示蹤劑聚集,而非關節炎對照組則未見此現象。示蹤劑聚集出現在上肢、下肢和脊柱的關節及肌腱附著點。間充質細胞的激活與炎癥跡象相符,這是通過同時進行的磁共振成像(MRI)測量得出的,并且與相應疾病中經過驗證的臨床疾病活動綜合評分相關。為了測試 FAP 信號是否與與結構損傷相關的成纖維細胞反應有關,進一步根據 MRI 和 CT上是否存在侵蝕和/或骨增生性改變對區域進行分層。在沒有結構變化的炎癥部位,FAP 示蹤劑攝取量低或缺失,而在有侵蝕和骨增生性改變的病變中攝取量高。隨訪掃描顯示,在細胞因子阻斷后,FAP 信號顯著減少,甚至完全消失。在性別和年齡匹配的對比分析中,IL-17i 治療后 FAP 信號的降低幅度顯著大于 TNFi 治療。這些數據表明,在炎癥消退期間,間質細胞的活化是可逆的,提示常駐成纖維細胞可能改變其功能模式,并可能獲得更具消炎作用的表型。

2. 促炎細胞因子誘導關節中成纖維細胞活化和FAP攝取
為了在功能上測試關鍵炎性細胞因子對關節中間充質活化的作用,在臨床前關節炎模型中進行了FAP-PET,組織學分析與炎癥和損傷有關的變化。未處理小鼠在關節中未顯示FAP示蹤劑攝取,并且具有保留的關節結構。FAP示蹤劑的攝取與相應踝關節的炎癥和損傷程度相關。與骨增生性病變相比,侵蝕性病變中FAP示蹤劑的攝取沒有差異。TNF和IL-17 α的阻斷顯著降低了關節中的FAP示蹤劑攝取,同樣,IL-17 i的效果比TNFi治療更顯著這些數據表明人類和實驗性關節炎的消退與炎癥消退過程中間充質活化的變化有關。
3. 炎癥消退期間成纖維細胞的分子轉變
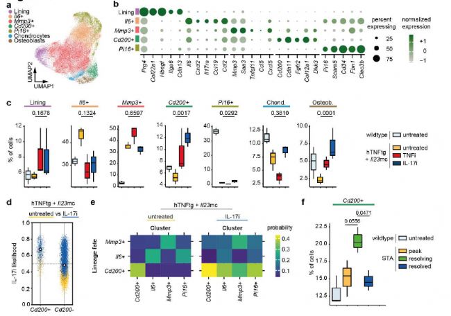
整合了33個scRNA-seq數據集得到總共52,131個來自關節的間充質細胞,并進行了無偏聚類。與以前的報道一致,綜合數據集證實了關節間充質細胞的高度異質性。無監督聚類顯示了七種不同的間充質細胞類型。滑液襯里和下層襯里亞型之間存在明顯的分離。此外,各自的特征基因與所描述的下層襯里Mmp 3+相關,I16+、Pi 16+成纖維細胞亞型,并且還在數據集中穩健地鑒定了軟骨細胞和成骨細胞。除了成纖維細胞區室內的總體中度變化外,在細胞因子抑制后,檢測到先前未探索的CD200+成纖維細胞群體的顯著增加。CD200+成纖維細胞表達高水平的Cdh 11、Dkk 3,但不表達Lrrc 15。雖然TNF抑制僅輕微增加CD200+成纖維細胞,IL-17 a抑制誘導顯著的上調。為了排除離散聚類引入的潛在偏差及其對細胞亞型豐度的影響,作者還實施了MELD算法,MELD證實,IL-17 i處理后,CD200+成纖維細胞增加。此外,使用CellRank顯示,在IL-17 i刺激后,所有亞組的亞襯成纖維細胞中向CD200+成纖維細胞分化的可能性普遍增加。因此,CD200+成纖維細胞在關節炎消退的時間過程中持續增加,并最終在完全緩解結束時減少。

4. CD200+成纖維細胞維持促消退ILC的2型的命運和存活
接下來研究了促分解的CD200+成纖維細胞的功能特性,對所選通路的單樣本基因集富集分析顯示,與Mmp 3+和Il 6+成纖維細胞或成骨細胞相比,CD200+成纖維細胞具有較強的抑制炎癥通路的能。其活化受體CD200R1在ILC 2上顯示出最高表達,這與關節炎的消退有關。因此,細胞間相互作用分析揭示了在組織穩態期間CD200+成纖維細胞和ILC 2之間的穩健通信概率,其在關節炎期間丟失。為了進一步闡明CD200影響ILC 2的機制,在該模塊中共表達的基因的功能富集分析表明,CD200R1激活后存在促存活信號因此,CD200R1刺激導致體外ILC 2細胞凋亡的顯著減少。此外,CD200R1和Gata 3的共表達表明CD200R1信號傳導在維持ILC 2表型中的潛在作用。通過計算敲除ILC上的CD200R1來研究這種潛在作用。為了驗證這一概念,用重組CD 200-FC治療患有誘導性關節炎的小鼠。這種治療顯著減輕了關節的炎癥反應以及 FAP 示蹤劑的攝取量,并且還顯著減少了關節損傷。

5. 小鼠和人中促消退CD200+ DKK 3+的保守表型
作者探究了這種與 CD200+ 成纖維細胞相關的促消退網絡是否也存在于人類關節炎中。在疾病緩解期間,人類關節中的 FAP 示蹤劑攝取顯著減少甚至完全消失。類風濕關節炎(RA)和銀屑病關節炎(PsA)患者滑膜活檢樣本中的 CD200 表達與疾病嚴重程度評分 DAS28 呈負相關。通過整合四個公開可用的數據集,創建了人類 RA 和 PsA 滑膜單細胞的綜合圖譜,并確定了主要的細胞異質。接下來,進行了進一步的整合步驟,將小鼠 Il23mc 處理的 hTNFtg 成纖維細胞映射到人類對應細胞,從而在人類中識別出與在圖譜上觀察到的相同方式形成不同轉錄鄰域的同源成纖維細胞亞型,同時其marker表達也相似。為了探究每種成纖維細胞亞型在組織中的空間分布情況,并量化其與不同免疫細胞的共定位情況,隨后對RA和PsA患者的滑膜活檢樣本進行了空間轉錄組學分析。以高分辨率識別組織中的空間異質性簇,這些簇對應于滑膜組織的致病性和解剖區域。對與不同細胞類型相對應的基因模塊進行評分,然后對這些評分在空間簇之間進行層次聚類,揭示了在無明顯炎癥的區域中,CD200+/DKK3+ 成纖維細胞與諸如 ILC2s 和嗜酸性粒細胞等促消退免疫細胞的共存情況。相比之下,MMP3+ /IL6+ 成纖維細胞與促炎性免疫細胞在具有活躍炎癥表型的區域共定位。此外,對先前在小鼠成纖維細胞亞型中介紹的通路的評分證實,在 MMP3+ /IL6+ 集群所在的區域存在炎癥特征,在 CD200+ /DKK3+ 所在的區域則存在抗炎特征,這表明成纖維細胞對炎癥微環境的調控具有位置特異性。最后,使用成像質譜分析(IMC)來分離 RA 和 PsA 患者滑膜中的 CD200+ 成纖維細胞。與空間轉錄組分析和小鼠數據一致,觀察到在關節炎緩解的 RA 和 PsA 患者的滑膜中,CD200+ 成纖維細胞的比例顯著增加。

Fig 4. 空間轉錄組學和成像質譜技術鑒定RA和PsA患者滑膜活檢組織中的C200 + /DKK 3+成纖維細胞
參考文獻:
Andreas Ramming, Simon Rauber, Hashem Mohammadian et al. Molecular reframing of fibroblasts during resolution of arthritis, 21 March 2023, PREPRINT (Version 1) available at Research Square [https://doi.org/10.21203/rs.3.rs-2668533/v1]