DNA甲基化技術助力揭示IRF1在創傷性顱腦損傷中的表觀調控機制
瀏覽次數:654 發布日期:2025-7-15
來源:本站 僅供參考,謝絕轉載,否則責任自負
近日,空軍軍醫大學唐都醫院神經外科崔文興博士為第一作者,白浩博士和郭成鉉碩士為共同第一作者;屈延教授為論文通訊作者,葛順楠教授、劉海嘯副研究員為共同通訊作者在Science子刊《Science Translational Medicine》轉化醫學領域頂刊上發表題為《Interferon regulatory factor-1-expressing astrocytes are epigenetically controlled and exacerbate TBI-associated pathology in mice》的科研成果。研究討論了干擾素調節因子1(Interferon Regulatory Factor-1,IRF1)在創傷性顱腦損傷(Traumatic Brain Injury,TBI)中的作用及其調控機制。研究團隊通過DNA甲基化/羥甲基化及多組學分析、基因敲除小鼠模型以及藥物篩選等方法,揭示了IRF1在TBI中通過表觀遺傳機制調控星形膠質細胞(astrocytes)的促炎表型,并加劇TBI相關的病理變化。
標題:Interferon regulatory factor-1-expressing astrocytes are epigenetically controlled and exacerbate TBI-associated pathology in mice(IRF1星形膠質細胞受表觀遺傳調控并加劇小鼠創傷性顱腦損傷相關病理變化)
發表時間:2025年5月28日
發表期刊:Science Translational Medicine(SCI TRANSL MED)
影響因子:IF14.6/Q1
技術平臺:scRNA-seq、RRBS、oxRRBS等

星形膠質細胞異質性與創傷性顱腦損傷(TBI)病理生理學密切相關,尤其是在TBI患者發病和死亡主要原因之一的腦水腫進展中。目前對于某些星形膠質細胞亞群如何促發急性腦損傷后的腦水腫知之甚少。本研究通過多組學方法鑒定出一個與TBI患者的臨床嚴重程度和預后相關的IRF1陽性(IRF1+)星形膠質細胞簇(cluster)。在機制上,星形膠質細胞中的IRF1能夠結合促炎細胞因子基因的啟動子,促進神經毒性并破壞內皮緊密連接的完整性。通過使用Aldh1/1CreERT2; Irf1flox/flox小鼠模型驗證了星形膠質細胞特異性敲除Irf1能夠減輕星形膠質細胞介導的病理活動,改善血腦屏障(lood-Brain Barrier,BBB)破壞,并降低TBI后的腦水腫。此外,星形膠質細胞中IRF1活性增強通過釋放C-X-C基序趨化因子配體10(CXCL10)促進了CD8+ T細胞招募,從而加劇BBB破壞和腦水腫。此外TET3(Tet Methylcytosine Dioxygenase 3)介導的DNA羥甲基化是上調星形膠質細胞中IRF1表達的關鍵表觀遺傳機制,從而激活促炎轉錄。本研究最后開發了一種IRF1拮抗因子8003-3282,其在TBI小鼠模型中有效減輕炎癥,保持BBB完整性,緩解腦水腫,并改善神經學結果。這些發現強調了IRF1+星形膠質細胞是TBI相關病理的關鍵介質,并表明靶向這一星形膠質細胞簇(cluster)可能是減輕TBI炎癥、BBB損傷和腦水腫的潛在治療策略。
易小結
本研究通過揭示IRF1在TBI中的作用機制,為開發靶向TBI的精準治療策略提供了新靶點。未來可以進一步探索IRF1在其他神經系統疾病中的作用,并開發更多的IRF1靶向藥物。
RRBS和oxRRBS技術在本研究中發揮了關鍵作用。通過這些技術,研究者精確分析IRF1啟動子區域的DNA甲基化和DNA羥甲基化水平,揭示了TET3在調控IRF1表達中的表觀遺傳機制。這些技術的應用為理解TBI中星形膠質細胞的表觀遺傳調控提供了重要的分子基礎,并為開發靶向TBI的表觀遺傳治療策略提供了新思路。
技術更多應用場景:
項目文章 | oxBS-seq揭示了宮頸癌發生過程中的表觀遺傳特征變化
項目文章 | oxBS揭示復發性膀胱癌的DNA甲基化和羥甲基化變化并鑒定預測PD-L1表達標記物
研究方法
- RNA測序(RNA-seq):通過對38個人類腦組織樣本(22例TBI患者和16例對照)進行scRNA-seq和bulk RNA-seq分析,研究者鑒定了與TBI病理相關的星形膠質細胞亞群。
- 基因敲除小鼠模型:利用Aldh1/1CreERT2; Irf1flox/flox小鼠模型,對星形膠質細胞特異性IRF1基因敲除,以評估IRF1在TBI中的作用。
- 表觀基因組學分析:通過RRBS(Reduced Representation Bisulfite Sequencing)和oxRRBS(Oxidative RRBS)技術,研究者分析了IRF1啟動子區域的DNA甲基化和DNA羥甲基化水平,揭示了TET3在調控IRF1表達中的作用。
- 藥物篩選:通過計算機輔助藥物設計,篩選出靶向IRF1的特異性拮抗因子8003-3282,并在體外和體內驗證其效果。
結果圖形
一、TBI患者腦水腫組織中細胞身份的鑒定
通過scRNA-seq分析,研究者鑒定出TBI患者腦水腫組織中的主要細胞類型,包括小膠質細胞、少突膠質細胞、星形膠質細胞等,并發現這些細胞類型均表現出炎癥反應,其中星形膠質細胞和小膠質細胞的炎癥反應最為顯著。通過差異基因表達分析,發現TBI組中炎癥相關基因(如IL-1β、IL-6、CXCL10等)顯著上調。通過GO分析,進一步揭示了這些細胞類型在TBI中的功能變化,如星形膠質細胞和小膠質細胞在炎癥反應中的關鍵作用。

圖1:有或無TBI患者腦水腫組織中細胞群落的鑒定
(A) 對6例TBI患者圍損傷皮層水腫組織中的42696個細胞以及4例無TBI對照個體皮層組織中的28974個細胞進行UMAP降維分析,展示整合分析鑒定出的主要細胞類型。
(B) 熱圖顯示基于(A)中scRNA-seq數據所得各細胞類型關鍵標記基因的表達情況。
(C) 差異基因表達分析突出顯示TBI患者皮層組織中主要細胞類型內上調(紅色)和下調(藍色)基因。
(D) 柱狀圖展示基于(C)中差異表達基因對各主要腦細胞類型進行的GO通路富集分析結果。
(E) UMAP可視化展示TBI患者與對照組中的星形膠質細胞亞群分布。
(F) 對TBI組與對照組星形膠質細胞的比例聚類分析。
二、促炎星形膠質細胞亞群的鑒定
通過分析星形膠質細胞的基因表達,研究者鑒定出一個與TBI病理相關的IRF1陽性星形膠質細胞亞群。這些IRF1+星形膠質細胞表現出促炎和神經毒性表型,與TBI的嚴重程度和不良預后密切相關。通過偽時間分析(Pseudotime Analysis),研究者揭示星形膠質細胞從靜止狀態向促炎狀態的轉變過程。
圖2:促炎星形膠質細胞亞群的鑒定
(A) 點圖展示TBI患者與對照組星形膠質細胞亞群中典型標記基因的表達。
(B) 對cluster 2星形膠質細胞進行的GO功能富集分析。
(C) 對各星形膠質細胞亞群進行神經毒性和促炎性星形膠質細胞基因集評分。所用基因集包括:C3、IL1B、MX1、CD44、CXCL10、GBP2、CCL2、CHI3L1、PSMB8、SRGN、SERPING1、IFIT3、ISG15 和 CCL20。
(D) 重建星形膠質細胞從cluster 3向cluster 2的分化軌跡。
(E) 對星形膠質細胞分化狀態的估計,虛線框突出顯示cluster 2。
(F) 沿(E)所示分化軌跡的可變基因偽時間表達譜熱圖。顏色表示各基因的標準化表達水平。
(G) 在TBI患者圍損傷水腫組織及正常人腦組織中,對C3、CD44 和 GBP2(綠色)在星形膠質細胞(GFAP,紅色)中的免疫熒光染色(每組n=6)。
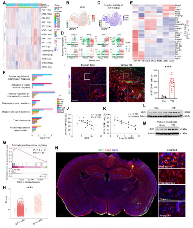
三、IRF1是促炎星形膠質細胞激活的關鍵驅動因子
通過SCENIC分析,研究者發現IRF1是調控星形膠質細胞促炎表型的關鍵轉錄因子。在體外實驗中,IRF1過表達顯著誘導促炎和神經毒性相關基因表達,而IRF1敲低則抑制這些基因表達。通過免疫熒光染色,研究者在TBI患者的腦組織中發現了IRF1+星形膠質細胞顯著增加,且IRF1表達與格拉斯哥昏迷評分(GCS)和長期神經功能預后呈負相關。
圖3: scRNA-seq驗證IRF1是TBI中促炎星形膠質細胞激活的關鍵調控因子
(A) 患者TBI圍損傷水腫組織與對照星形膠質細胞亞群中調控子(regulon)活性熱圖。
(B) UMAP降維圖展示IRF1在各星形膠質細胞亞群中的表達,突出顯示cluster 2。
(C) UMAP可視化IRF1調控子(175個靶基因)活性,重點標記cluster 2。
(D) 沿推斷的偽時間軌跡展示的轉錄因子(TF)表達模式;顏色對應圖2D所示偽時間排序后細胞狀態。
(E) 熱圖顯示在體外原代小鼠星形膠質細胞中過表達各TF后,促炎基因表達差異影響(每組n=3)。
(F) 在原代小鼠星形膠質細胞中過表達TF后的GO通路富集分析。
(G) 原代小鼠星形膠質細胞RNA-seq數據(Ad-Irf1 vs Ad-con)的GSEA分析展示促炎信號通路激活。
(H) 基于患者TBI與對照scRNA-seq數據對IRF1+與IRF1-星形膠質細胞的神經毒性及促炎基因集評分。
(I) 左:代表性免疫熒光圖像顯示TBI患者圍損傷水腫組織與未損傷對照皮層組織中IRF1(綠色)在星形膠質細胞(GFAP,紅色)中的表達。右:TBI患者(n=20)與對照(n=6)IRF1+GFAP+細胞比例免疫熒光定量。
(J) TBI患者(n=20)中IRF1+GFAP+細胞比例與GCS評分的相關性分析。
(K) TBI患者(n=20)中IRF1+GFAP+細胞比例與GOSE預后評分評估的長期神經學結局相關性分析。
(L) Western blot顯示TBI患者圍損傷水腫組織與對照組織中IRF1表達(每組n=7)。
(M) Western blot顯示TBI及假手術小鼠在損傷后第3天的星形膠質細胞中IRF1表達(每組n=6)。
(N) 損傷后第3天,TBI小鼠圍損傷水腫、海馬、丘腦及杏仁核樣本中IRF1(綠色)在星形膠質細胞(GFAP,紅色)表達的免疫熒光最大強度投影(每組n=6)。
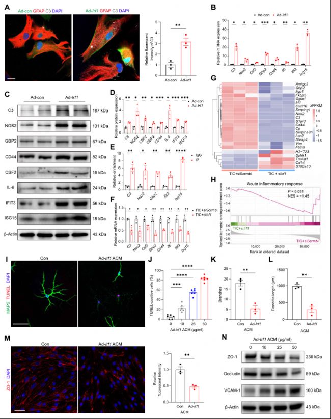
四、IRF1在體外驅動星形膠質細胞的促炎和神經毒性表型
通過ChIP實驗研究者發現IRF1直接結合到多個促炎和神經毒性基因的啟動子區域,包括C3、Nos2、Gbp2等。在體外實驗中,IRF1過表達的星形膠質細胞培養基(ACM)顯著增加了神經元死亡率,并降低神經元樹突分支和長度。通過共培養實驗,研究者發現IRF1過表達的星形膠質細胞培養基能夠破壞腦微血管內皮細胞的緊密連接,增加炎癥標志物的表達。

圖4:IRF1在體外促進星形膠質細胞的促炎和神經毒性反應
(A) 感染腺病毒對照組(ad-con)或IRF1過表達組(ad-Irf1)的原代星形膠質細胞(GFAP標記,紅色)免疫熒光染色檢測。
(B) qPCR檢測ad-con或ad-Irf1轉染星形膠質細胞中指定基因表達。
(C-D) Western blot及定量檢測指定蛋白表達水平。
(E) ChIP-qPCR檢測ad-Irf1轉染星形膠質細胞中IRF1與指定基因啟動子區的結合。
(F) qPCR檢測siIrf1或siScrmbl轉染并經TIC(TNF/IL-1α/C1q)處理后星形膠質細胞中指定基因表達。
(G) TIC刺激后,敲低Irf1或亂序siRNA處理的星形膠質細胞中促炎與神經保護基因表達RNA-seq熱圖。
(H) RNA-seq的急性炎癥反應Go term的GSEA基因集富集分析。
(I-J) 原代神經元(MAP2標記)暴露于不同濃度ad-Irf1轉染星形膠質細胞條件培養基后的TUNEL陽性細胞代表性圖像及定量。
(K-L) 原代神經元暴露于25μg/ml ad-Irf1轉染星形膠質細胞ACM后的樹突分支數及總樹突長度定量。
(M) 左側:bEnd.3內皮細胞經25μg/ml ad-Irf1轉染星形膠質細胞ACM或對照培養基處理后的代表性圖像,緊密連接蛋白ZO-1紅色標記。右側:ZO-1熒光強度定量。
(N) Western blot檢測bEnd.3內皮細胞經遞增濃度ad-Irf1轉染星形膠質細胞ACM處理后ZO-1、occludin及VCAM-1的表達。
五、星形膠質細胞特異性Irf1敲除抑制促炎表型并減輕TBI小鼠模型中的BBB損傷
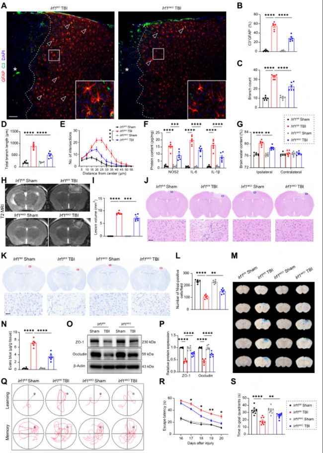
研究者對過Aldh1/1CreERT2; Irf1flox/flox小鼠模型的星形膠質細胞進行特異性IRF1基因敲除(Irf1AKO)。在TBI后,Irf1AKO小鼠表現出顯著減少的促炎星形膠質細胞激活、降低的腦水腫、減少的腦損傷體積和改善的神經功能恢復。通過免疫熒光染色和流式細胞術,研究者發現Irf1AKO小鼠中CD8+ T細胞的浸潤顯著減少,而其他免疫細胞的浸潤未受影響。
圖5:星形膠質細胞條件性敲除Irf1降低促炎表型、緩解BBB破壞與腦水腫,并促進TBI后神經功能恢復
(A-B) TBI后Irf1fl/fl 與Irf1AKO小鼠圍損傷水腫區星形膠質細胞(GFAP,紅色)中C3(綠色)表達免疫熒光染色及定量分析。
(C) 假手術與TBI處理的Irf1fl/fl 與Irf1AKO小鼠的星形膠質細胞分支計數定量分析。
(D) 與(C)相同處理組的星形膠質細胞總分支長度定量分析。
(E) 以星形膠質細胞胞體為中心,隨距離增加的交點數變化Sholl 分析。
(F) TBI后圍損傷水腫區NOS2、IL-6 和 IL-1β 濃度ELISA 分析。
(G) TBI與假手術組腦含水量檢測。
(H-I) 代表性T2加權MRI圖像及腦損傷體積定量。
(J) TBI后腦組織H&E染色。上:全腦觀;下:圍損傷區放大圖。
(K) TBI后腦組織尼氏(Nissl)染色切片(每組 n = 6)。上:全腦觀;下:圍損傷區放大圖。
(L) 尼氏陽性細胞定量分析對(K)圖像圍損傷區進行計數。
(M-N) 染色及染料外滲定量Evans Blue 滲漏實驗評估BBB通透性。
(O-P) Irf1fl/fl 與Irf1AKO的Western blot 分析圍損傷水腫區及對照區ZO-1與occludin表達。
(Q) 水迷宮(MWM)學習(傷后20天)與記憶階段(傷后21天)代表性游泳軌跡。
(R) 訓練5天(傷后16–20天)逃逸潛伏期。
(S) 記憶階段(傷后21天)目標象限停留時間。
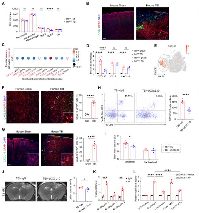
六、IRF1通過CXCL10/CXCR3軸調控CD8+ T細胞浸潤
通過細胞間互作分析,研究發現IRF1+星形膠質細胞與CD8+ T細胞之間存在顯著CXCL10/CXCR3互作。在TBI小鼠模型中,IRF1敲除顯著降低CXCL10表達,減少了CD8+ T細胞的浸潤,并減輕腦水腫。通過免疫熒光染色,研究者確認CXCL10在TBI患者和小鼠模型中的表達,并發現其主要由星形膠質細胞分泌。
圖6:星形膠質細胞分泌的CXCL10介導TBI后CD8+ T細胞浸潤與組織損傷
(A) TBI后Irf1fl/fl 與Irf1AKO小鼠圍損傷水腫區內浸潤的中性粒細胞、單核/巨噬細胞、CD4+ T細胞、CD8+ T細胞及NK細胞的流式細胞術定量分析。
(B) TBI或假手術小鼠圍損傷水腫區星形膠質細胞(GFAP,紅色)與CD8+ T細胞(CD8a,綠色)的免疫熒光染色。
(C) 促炎星形膠質細胞(cluster 2)與CD8+ T細胞間的分子配體-受體互作圖。
(D) 圍損傷水腫區CCL2、CXCL10、CXCL14濃度:TBI或假手術Irf1fl/fl 與Irf1AKO小鼠ELISA分析。
(E) scRNA-seq數據中各星形膠質細胞亞群的CXCL10表達,突出cluster 2。
(F) TBI患者與對照組星形膠質細胞(GFAP標記)中CXCL10表達的代表性免疫熒光(左)及定量(右)。
(G) TBI或假手術小鼠圍損傷水腫區星形膠質細胞(GFAP標記)中CXCL10表達免疫熒光染色及定量。
(H) TBI后給予αCXCL10或同型IgG處理的小鼠圍損傷水腫區CD8+ T細胞代表性流式圖及定量。
(I) TBI后腦含水量測定。
(J) 代表性MRI圖像及腦損傷體積定量。
(K) ChIP-qPCR檢測ad-Irf1轉染星形膠質細胞中IRF1與CXCL10啟動子區不同位點的結合:位點1(-1629/-1615,TTGGaaaGTGaaaCT);位點2(-1241/-1227,aaaTaaaaTaaaaCT);位點3(-216/-201,TTGGaaaGTGaaaCT)。
(L) 突變型CXCL10啟動子構建體與pcDNA-Irf1共轉染星形膠質細胞,鑒定IRF1響應區域熒光素酶報告實驗。
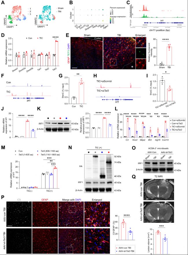
七、DNA去甲基化酶TET3介導星形膠質細胞中DNA的羥甲基化并促進IRF1表達
通過scRNA-seq和scATAC-seq分析,研究者發現TET3在TBI后星形膠質細胞中的表達顯著增加,并且與IRF1啟動子區域的DNA羥甲基化水平相關。通過RRBS和oxRRBS分析,研究者確認了TET3在IRF1啟動子區域的DNA羥甲基化作用,并發現TET3的敲低顯著抑制了IRF1表達。在TBI小鼠模型中,TET3敲低顯著減少促炎星形膠質細胞激活、CD8+ T細胞的浸潤和腦損傷體積。
圖7:TET3通過調節Irf1的DNA羥甲基化,促進星形膠質細胞促炎表型
(A) scRNA-seq數據的UMAP降維可視化展示假手術與TBI小鼠圍損傷皮層組織中分離的星形膠質細胞。
(B) 點圖展示各星形膠質細胞亞群中促炎標記基因的表達情況。
(C) scATAC-seq峰圖展示cluster 2與cluster 3星形膠質細胞中Irf1位點的染色質可及性;X軸為染色體位置,上方標注Irf1基因位點。
(D) 經TIC(TNF/IL-1α/C1q)或溶劑處理的原代星形膠質細胞中DNA甲基化/去甲基化關鍵酶表達qPCR。
(E) 與假手術對照,TBI后第3天圍損傷水腫區星形膠質細胞(GFAP標記)中TET3表達免疫熒光染色。
(F) TIC或溶劑處理的原代星形膠質細胞Irf1啟動子區5-羥甲基化(5hmC)水平RRBS+oxRRBS分析;柱高表示羥甲基化讀段數,下方標注Irf1基因位點。
(G) hMeDIP-qPCR檢測TIC或溶劑處理星形膠質細胞Irf1啟動子區的羥甲基化強度。
(H) RRBS+oxRRBS分析siTet3或siScrmbl轉染后經TIC刺激的星形膠質細胞Irf1啟動子5hmC水平。
(I) hMeDIP-qPCR檢測siTet3或siScrmbl轉染后經TIC刺激的星形膠質細胞Irf1啟動子羥甲基化強度。
(J) qPCR檢測TET3敲低后星形膠質細胞在TIC或溶劑作用下Irf1 mRNA表達。
(K) Western blot分析與(J)相同處理組的IRF1蛋白表達。
(L) qPCR檢測TET3敲低后星形膠質細胞促炎基因表達。
(M) qPCR檢測在TIC或溶劑刺激下,過表達不同TET3結構域的星形膠質細胞中Irf1 mRNA表達。
(N) Western blot分析TIC刺激過表達不同TET3結構域的星形膠質細胞中HA-TET3與IRF1蛋白水平。
(O) Western blot分析TBI或假手術后第3天,經shTet3 AAV或對照AAV轉導的分離星形膠質細胞中IRF1蛋白表達。
(P) 免疫熒光染色與定量分析TBI后第3天圍損傷區星形膠質細胞(GFAP,紅色)中C3(白色)表達。
(Q) 代表性MRI及腦損傷體積定量。
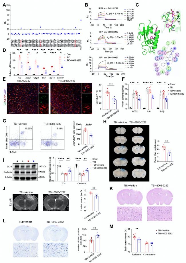
八、IRF1選擇性拮抗因子的設計與鑒定
通過計算機輔助藥物設計,研究者從1667101個化合物中篩選出IRF1拮抗因子8003-3282,并通過表面等離子體共振(SPR)分析確認其與IRF1的高親和力。在體外實驗中,8003-3282顯著抑制了星形膠質細胞的促炎表型,并減輕了神經毒性。在TBI小鼠模型中,8003-3282干預顯著減少了促炎星形膠質細胞的激活、CD8+ T細胞的浸潤、腦水腫和腦損傷體積,并改善了神經功能恢復。

圖8:高選擇性IRF1拮抗因子8003-3282的篩選及其在TBI中的治療潛力
(A) 表面等離子共振(SPR)檢測50種候選化合物(10μM)與IRF1蛋白的結合親和力。
(B) 對結合親和力最高的三種先導化合物(6646-0021、8003-3282、S451-0769)進行多濃度SPR傳感圖分析。
(C) 8003-3282與IRF1結合構象:左側為整體視圖;右上為8003-3282與IRF1結構結合的三維特寫;右下為8003-3282在IRF1結構上的二維放大定位圖。
(D) 原代星形膠質細胞預先經8003-3282(10μM)處理后,再經TIC刺激24 h,qPCR檢測促炎基因表達變化。
(E) TBI后接受8003-3282(10mg/kg)或溶媒處理的小鼠,免疫熒光染色與定量分析星形膠質細胞(GFAP標記)中C3表達。
(F) ELISA分析圍損傷水腫區NOS2、IL-6、IL-1β表達水平。
(G) 流式細胞術代表性圖及定量分析圍損傷水腫區CD8+ T細胞浸潤。
(H) 評估BBB通透性,染色及定量Evans Blue外滲實驗。
(I) Western blot分析圍損傷水腫區ZO-1與occludin表達。
(J) 代表性T2加權MRI及腦損傷體積定量。
(K) 代表性H&E染色分析TBI后全腦(上)及圍損傷區放大圖(下)。
(L) 代表性Nissl染色切片及尼氏陽性細胞計數。
(M) TBI后8003-3282或溶媒處理的腦含水量分析。所有檢測均于TBI后第3天完成。
討論和啟示
本研究通過多組學分析和基因敲除小鼠模型,揭示了IRF1在TBI中的關鍵作用及其調控機制。研究結果表明,IRF1通過調控星形膠質細胞的促炎表型,加劇了TBI后的炎癥反應、BBB損傷和腦水腫。此外,研究還發現TET3介導的DNA羥甲基化是調控IRF1表達的重要表觀遺傳機制。通過篩選IRF1拮抗因子,本研究為TBI的治療提供了新策略。
參考文獻:
Cui W, Bai H, Guo C, Zhou J, Feng D, Zhang S, Gao F, Han L, Tian Y, Dong J, Wei F, Bai J, Wu X, Shi Y, Guo H, Wang L, Li Z, Guo W, Zhao T, Heng L, Cai Q, Liu H, Ge S, Qu Y. Interferon regulatory factor-1-expressing astrocytes are epigenetically controlled and exacerbate TBI-associated pathology in mice. Sci Transl Med. 2025 May 28;17(800):eadr5300. doi: 10.1126/scitranslmed.adr5300.