文獻解讀:利用WGBS揭示跨代遺傳的DNA甲基化機制
瀏覽次數:1019 發布日期:2025-4-14
來源:本站 僅供參考,謝絕轉載,否則責任自負
近年來,全球代謝性疾。ㄓ绕涫2型糖尿病和肥胖癥)的發病率顯著上升,且發病年齡趨于年輕化。研究表明,孕期不良環境暴露(如激素失衡、營養不良等)可能通過“發育起源健康與疾病”(DOHaD)理論影響后代的長期代謝健康。母體雄激素水平異常與多種代謝紊亂相關,如多囊卵巢綜合征(PCOS)等。然而母體雄激素暴露對雄性后代的跨代代謝影響尚不清楚。
近日,山東大學婦兒與生殖健康研究院、生殖醫學與子代健康全國重點實驗室、山東大學附屬生殖醫院陳子江院士、趙涵教授、張玉青副研究員團隊合作,通過大規模母嬰隊列研究和多代小鼠模型,研究了母體雄激素暴露(Androgen exposure,AE)對雄性后代糖尿病易感性的跨代遺傳機制。研究發現,母體高雄激素水平會使雄性后代在多個世代中出現血糖調節異常,這種易感性主要通過DNA甲基化變化在精子中傳遞,影響胰島β細胞功能基因表達,進而導致胰島素分泌受損。相關研究成果以《Transgenerational inheritance of diabetes susceptibility in male offspring with maternal androgen exposure》為題發表于Cell子刊《Cell Discovery》。

標題:Transgenerational inheritance of diabetes susceptibility in male offspring with maternal androgen exposure(母系雄激素暴露的雄性后代糖尿病易感性的跨代遺傳)
時間:2025-02-12
期刊:Cell Discovery
影響因子:IF13/Q1
技術平臺:WGBS、RNA-seq、MeDIP-qPCR等(易基因金牌技術)
本研究通過大規模母嬰隊列研究發現母體高雄激素水平會使雄性子代易患β細胞功能障礙。在三個世代中,產前AE的雄性后代小鼠表現出高血糖和葡萄糖耐受不良,且隨著年齡增長和高脂飲食的影響,這些癥狀進一步加劇。從機制上講,胰島素分泌受損是這種跨代糖尿病易感性的根本原因。通過對甲基化組(WGBS)和轉錄組(RNA-seq)的綜合分析結果表明AE-F1代精子中β細胞功能基因存在差異性DNA甲基化,這種甲基化差異被傳遞到AE-F2代胰島,并進一步保留在AE-F2代精子中,導致與胰島素分泌相關基因(包括Pdx1、Irs1、Ptprn2和Cacna1c)表達降低。研究在糖尿病患者以及母體高雄激素水平的雄性子代血液中驗證了AE-F1代精子中的甲基化特征。此外,限制飲食和二甲雙胍治療通過恢復異常的精子DNA甲基化,不僅使AE-F1代雄性的高血糖正;,還可阻斷其向后代的傳遞。本研究結果闡明了母體AE通過DNA甲基化變化導致雄性后代葡萄糖穩態受損的跨代遺傳,為保護后代代謝健康提供甲基化生物標志物和治療策略。
研究方法
母嬰隊列研究:研究納入了561名母體雄激素水平異常的女性所生的男孩和1122名對照組男孩,評估了他們的代謝參數。
小鼠模型:通過向懷孕雌鼠注射二氫睪酮(DHT)建立雄激素暴露模型,觀察F1-F4代雄性后代的代謝表型。
代謝測試:包括血糖水平、胰島素釋放測試、胰島素耐受性測試等。
DNA甲基化分析:使用全基因組亞硫酸鹽測序(WGBS)分析F1代精子的DNA甲基化模式,并結合RNA測序(RNA-seq)分析F2代胰島的轉錄組變化。
干預實驗:對F1代雄性小鼠進行節食(CR)和二甲雙胍(Met)干預,評估其對代謝異常的改善效果及其對后代的影響。
結果圖形
(1)母體雄激素暴露導致雄性后代在早期生命階段出現代際和跨代的葡萄糖代謝紊亂

圖1:母體雄激素暴露導致雄性后代在早期生命階段出現代際和跨代的葡萄糖代謝紊亂。
a. 母體雄激素水平異常(n=561)和正常(n=1122)的女性所生男孩隊列,年齡為2-12歲。
b-c. 母體雄激素水平正常和異常的女性所生男孩的HOMA-β(b)和BMI(c)水平。
d. 小鼠實驗設計和來自對照組(Ctrl)及雄激素暴露(AE)組的后代繁殖示意圖。
e. F1-F4代雄性后代在8周齡時的進食后血糖水平。對照組(F1:n=8;F2:n=14;F3:n=7;F4:n=9);雄激素暴露組(F1:n=13;F2:n=12;F3:n=8;F4:n=13)。
f. F1-F4代雄性后代在8周齡時的腹腔注射葡萄糖耐量試驗(IPGTT)及相應的血糖曲線下面積(AUC)。對照組(F1:n=8;F2:n=5;F3:n=11;F4:n=8);雄激素暴露組(F1:n=9;F2:n=5;F3:n=10;F4:n=8)。
(2)隨著年齡增長和肥胖發生,F1-F3代雄性小鼠的高血糖和葡萄糖耐受不良進一步加劇

圖2:產前雄激素暴露(AE)導致F1-F3代雄性后代的跨代高血糖和葡萄糖耐受不良,且這些癥狀隨著年齡增長和高脂飲食而加劇。
a. 小鼠模型實驗設計示意圖。
b. F1-F4代雄性后代在不同年齡時的進食后血糖水平。普通飲食(NCD)組:F1(8周齡,n=8;16周齡,n=11;32周齡,n=11)、F2(8周齡,n=14;16周齡,n=13;32周齡,n=15)、F3(8周齡,n=7;16周齡,n=15;32周齡,n=15)、F4(8周齡,n=9;16周齡,n=10;32周齡,n=9);雄激素暴露(AE)組:F1(8周齡,n=13;16周齡,n=15;32周齡,n=10)、F2(8周齡,n=12;16周齡,n=12;32周齡,n=14)、F3(8周齡,n=8;16周齡,n=9;32周齡,n=10)、F4(8周齡,n=13;16周齡,n=13;32周齡,n=11)。
c. F1代雄性后代在不同年齡時的腹腔注射葡萄糖耐量試驗(IPGTT)及相應的血糖曲線下面積(AUC)。普通飲食(NCD)組:8周齡,n=8;16周齡,n=9;32周齡,n=5;高脂飲食(HFD)組:16周齡,n=8;雄激素暴露(AE)組:NCD飲食8周齡,n=9;16周齡,n=11;32周齡,n=6;HFD飲食16周齡,n=8。
d. F2代雄性后代在不同年齡時的腹腔注射葡萄糖耐量試驗(IPGTT)及相應的血糖曲線下面積(AUC)。普通飲食(NCD)組:8周齡,n=5;16周齡,n=5;32周齡,n=11;高脂飲食(HFD)組:16周齡,n=6;雄激素暴露(AE)組:NCD飲食8周齡,n=5;16周齡,n=5;32周齡,n=12;HFD飲食16周齡,n=6。
e. F3代雄性后代在不同年齡時的腹腔注射葡萄糖耐量試驗(IPGTT)及相應的血糖曲線下面積(AUC)。普通飲食(NCD)組:8周齡,n=11;16周齡,n=7;32周齡,n=6;高脂飲食(HFD)組:16周齡,n=6;雄激素暴露(AE)組:NCD飲食8周齡,n=10;16周齡,n=7;32周齡,n=6;HFD飲食16周齡,n=10。
f. F4代雄性后代在不同年齡時的腹腔注射葡萄糖耐量試驗(IPGTT)及相應的血糖曲線下面積(AUC)。普通飲食(NCD)組:8周齡,n=8;16周齡,n=9;32周齡,n=10;高脂飲食(HFD)組:16周齡,n=10;雄激素暴露(AE)組:NCD飲食8周齡,n=8;16周齡,n=12;32周齡,n=9;HFD飲食16周齡,n=9。
(3)產前AE跨代高血糖效應歸因于雄性后代的胰島β細胞功能障礙

圖3:產前AE導致雄性后代胰島素分泌的跨代缺陷。
a. F1代雄性小鼠在8周齡時的HOMA-β水平(n=6)。
b. F1代雄性小鼠在8周齡時,腹腔注射葡萄糖后0、15和30分鐘的血清胰島素水平,以及相應的曲線下面積(AUC)(n=6)。
c. F1代雄性小鼠在8周齡時的胰島素生成指數(n=6)。
d. 從8周齡的對照組(Ctrl)和AE-F1雄性小鼠中分離的胰島,在3.3 mM或16.7 mM葡萄糖刺激下的胰島素分泌實驗(n=3)。
e. F1代雄性小鼠在32周齡時的HOMA-β水平(n=6)。
f. F1代雄性小鼠在32周齡時,腹腔注射葡萄糖后0、15和30分鐘的血清胰島素水平,以及相應的曲線下面積(AUC)(n=6)。
g. F1代雄性小鼠在32周齡時的胰島素生成指數(n=6)。
h. 從32周齡的對照組(Ctrl)和AE-F1雄性小鼠中分離的胰島,在3.3 mM(Ctrl: n=5; AE: n=3)或16.7 mM(Ctrl: n=4; AE: n=5)葡萄糖刺激下的胰島素分泌實驗。
i. F2代雄性小鼠在8周齡時的HOMA-β水平(n=6)。
j. F2代雄性小鼠在8周齡時,腹腔注射葡萄糖后0、15和30分鐘的血清胰島素水平,以及相應的曲線下面積(AUC)(n=5)。
k. F2代雄性小鼠在8周齡時的胰島素生成指數(n=5)。
l. 從8周齡的對照組(Ctrl)和AE-F2雄性小鼠中分離的胰島,在3.3 mM(Ctrl: n=5; AE: n=4)或16.7 mM(Ctrl: n=5; AE: n=5)葡萄糖刺激下的胰島素分泌實驗。
m. 對32周齡F1小鼠和8周齡F2小鼠的代表性胰腺切片進行INSULIN(綠色)和DAPI(藍色)染色,并對胰島素強度和胰腺胰島素含量進行定量分析(n=3-5)。
(4)產前AE導致與胰島素分泌相關的精子DNA甲基化發生變化
研究者通過全基因組亞硫酸鹽測序(WGBS)技術,分析了產前雄激素暴露(AE)對F1代雄性小鼠精子DNA甲基化的影響。比較了AE組和對照組(Ctrl)小鼠精子的DNA甲基化模式,以鑒定差異甲基化區域(DMRs)。
圖4:F1代精子中的DNA甲基化特征以及F2代胰島的轉錄組變化
a. F1代雄性小鼠精子全基因組亞硫酸鹽測序(WGBS)示意圖。
b. 對照組(Ctrl)和AE-F1精子的全基因組CG甲基化水平。
c. 對照組(Ctrl)和AE-F1精子的CG甲基化水平的Meta分析圖。
d. 比較對照組和AE-F1精子甲基化組的差異甲基化區域(DMRs)。
e. 通過對F1精子中DMRs基因進行KEGG分析,得出的前10條富集的代謝通路。
f. 通過對F1精子中具有高甲基化DMRs(紅色)和低甲基化DMRs(藍色)的基因進行KEGG分析,得出的前5條富集的代謝通路。
g. 紅色表示通過精子WGBS鑒定出在胰島素分泌通路中的DMRs基因。
h. 用于F2代胰島RNA-seq的實驗方法示意圖。
i. 來自對照組(n=3)和AE-F2胰島(n=4)的轉錄組主成分分析(PCA)。
j. 與對照組相比,AE-F2胰島中差異上調和下調基因的數量。
k. F2代胰島轉錄組和F1代精子甲基化組共有的前10條富集的KEGG通路。
(5)從AE-F1精子持續到AE-F2胰島的DNA甲基化變化抑制β細胞功能基因表達
圖5:從AE-F1精子持續到AE-F2胰島的異常DNA甲基化導致β細胞功能基因表達異常。
a. F2代胰島中727個DEGs和F1代精子中8571個DMRs基因維恩圖,其中296個基因重疊。
b. 通過對a中296個重疊基因進行KEGG富集分析確定的前10條通路。
c. 對296個在WGBS和RNA-seq數據集中共同變化基因進行網絡分析,分析這些基因所富集的通路。
d. 在b和c中鑒定出的胰島素分泌通路中的基因列表。它詳細列出了基因功能、AE-F1精子中胰島素分泌基因的差異甲基化水平以及AE-F2胰島中基因表達變化。
e. 通過MeDIP-qPCR分析Ctrl-F1和AE-F1精子中Pdx1、Irs1、Ptprn2和Cacna1c的DNA甲基化水平(n=3)。
f. 通過MeDIP-qPCR分析Ctrl-F2和AE-F2 E18.5胰腺中Pdx1、Irs1、Ptprn2和Cacna1c的DNA甲基化水平(n=3)。
g. 通過MeDIP-qPCR分析Ctrl-F2(n=4)和AE-F2成年胰島中Pdx1、Irs1、Ptprn2和Cacna1c的DNA甲基化水平(n=5)。
h. 通過qRT-PCR分析Ctrl-F2(n=4)和AE-F2成年胰島中Pdx1、Irs1、Ptprn2和Cacna1c的mRNA表達水平(n=5)。
i. 通過Western blot實驗分析Ctrl-F2和AE-F2成年小鼠胰島中PDX1、IRS1、PTPRN2和CACNA1C的蛋白水平。
j. F1至F3代精子中胰島素分泌基因的甲基化譜。水平線上的垂直條表示單個CpG位點的甲基化水平(0-1)。方框表示啟動子或genebody區域中的DMR。
(6)AE-F1精子和2型糖尿。═2D)患者的共有甲基化特征在AE母親所生男孩的血液中得到驗證
圖6:AE-F1精子、T2D患者以及母體雄激素水平異常女性所生男孩血液中共同的DNA甲基化變化
a. 精子WGBS和已發表的T2D受試者DNA甲基化數據相交的基因數量UpSet圖。
b. F1代精子WGBS、T2D患者胰島和T2D患者血液研究(Fraszczyk等人的研究)中共同的甲基化基因Venn網絡圖。
c. F1代精子WGBS、T2D患者胰島和T2D患者血液研究(Cardona等人的研究)中共同的甲基化基因Venn網絡圖。
d. F1代精子WGBS、T2D患者胰島和T2D患者血液研究(Relloso等人的研究)中共同的甲基化基因Venn網絡圖。
e. MeDIP-qPCR分析了對照組兒子(n=20)和母體雄激素水平異常的男孩(n=20)血液中的DNA甲基化水平。
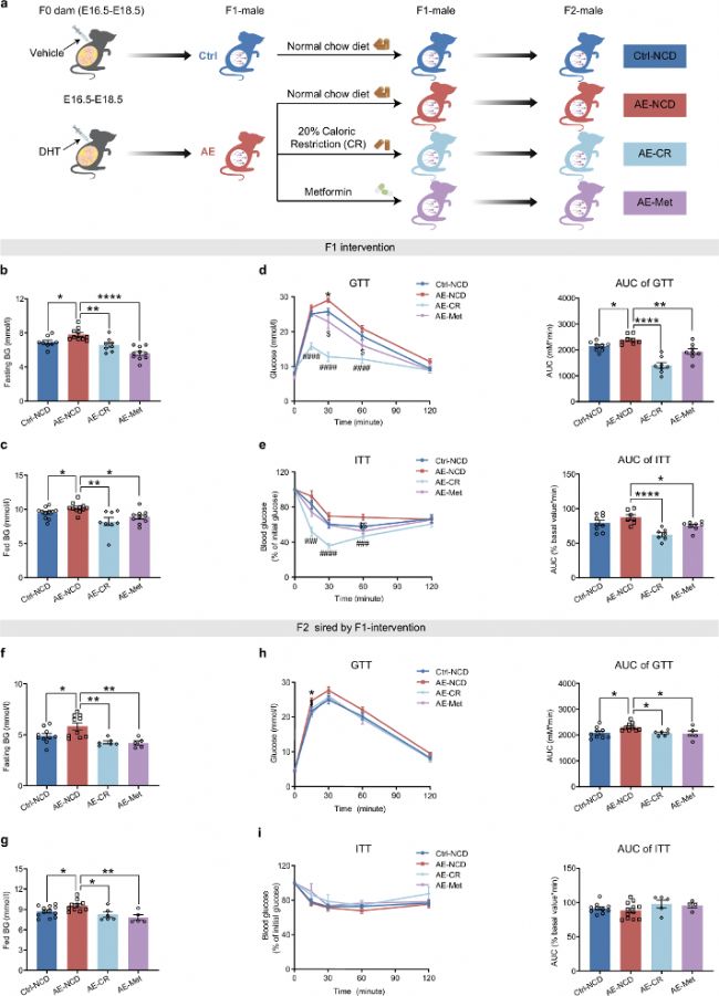
(7)節食(CR)和二甲雙胍(Met)改善了AE-F1雄性的代謝功能障礙,并阻斷了這些功能障礙向后代傳遞
圖7:節食和二甲雙胍改善AE-F1雄性小鼠的代謝功能障礙,并阻斷其向后代傳遞
a. F1代雄性后代的節食(CR)和二甲雙胍(Met)干預示意圖。
b. 經過相應干預后F1代雄性小鼠在禁食6小時后的血糖水平。
c. 經過相應干預后F1代雄性小鼠進食后的血糖水平。
d. 經過相應干預后F1代雄性小鼠的腹腔注射葡萄糖耐量試驗(IPGTT)及相關曲線下面積。
e. 經過相應干預后F1代雄性小鼠的胰島素耐受性試驗(ITT)及相關曲線下面積。
f. 經過干預的F1代雄性小鼠所生的F2代雄性后代在禁食6小時后的血糖水平。
g. 經過干預的F1代雄性小鼠所生的F2代雄性后代進食后的血糖水平。
h. 經過干預的F1代雄性小鼠所生的F2代雄性后代的葡萄糖耐量試驗及相關曲線下面積。
i. 經過干預的F1代雄性小鼠所生的F2代雄性后代的胰島素耐受性試驗及相關曲線下面積。
(8)節食和二甲雙胍恢復了雄性后代小鼠中異常的DNA甲基化和β細胞功能基因表達。
圖8:節食和二甲雙胍恢復了雄性后代小鼠中異常的DNA甲基化和β細胞功能基因表達。
a. MeDIP-qPCR分析對照組(Ctrl)、雄激素暴露組(AE)、AE-CR和AE-Met處理的F1代雄性小鼠精子中Pdx1、Irs1、kcnma1、Ptprn2、Cacna1c和Ptpn11的DNA甲基化水平(n=3)。
b. 來自父本對照組(Ctrl)、AE、AE-CR和AE-Met處理的F2代雄性小鼠的代表性胰腺切片,用PDX1(紅色)、INSULIN(綠色)和DAPI(藍色)進行染色。對胰島素陽性β細胞中的PDX1熒光強度進行定量分析(n=3)。
c. 來自父本對照組(Ctrl)、AE、AE-CR和AE-Met處理的F2代雄性小鼠的代表性胰腺切片,用IRS1(紅色)、INSULIN(綠色)和DAPI(藍色)進行染色。對胰島素陽性β細胞中的IRS1熒光強度進行定量分析(n=3)。
d. 來自父本對照組(Ctrl)、AE、AE-CR和AE-Met處理的F2代雄性小鼠的代表性胰腺切片,用CACNA1C(紅色)、INSULIN(綠色)和DAPI(藍色)進行染色。對胰島素陽性β細胞中的CACNA1C熒光強度進行定量分析(n=3)。
e. 工作模型示意圖:母體AE使所生男孩易患β細胞功能障礙和DNA甲基化變化。在小鼠中,產前AE通過精子誘導DNA甲基化重編程,導致后代胰島胰島素分泌缺陷,從而在F1至F3代雄性后代中隨著年齡增長和高脂飲食出現高血糖和葡萄糖耐受不良。節食(CR)和二甲雙胍(Met)干預恢復了葡萄糖穩態,并阻斷高血糖向后代傳遞。
易小結
本研究通過WGBS和對應的RNA-seq等分析揭示了母體雄激素暴露會通過精子DNA甲基化變化跨代傳遞胰島素分泌功能障礙,增加雄性后代患糖尿病的風險。節食和二甲雙胍干預可有效改善這種代謝異常,并阻斷其跨代傳遞。這些發現為預防和治療代謝性疾病提供了新的策略和潛在的生物標志物。
WGBS在本研究中發揮了關鍵作用
鑒定差異甲基化區域:通過WGBS,研究者在F1代精子中鑒定出大量與胰島素分泌相關的DMRs,為理解跨代遺傳機制提供了重要線索。
揭示跨代傳遞的分子基礎:WGBS結果顯示,這些甲基化變化在F2代胰島中持續存在,并影響相關基因表達,從而揭示了跨代遺傳的分子基礎。
評估干預效果:通過比較干預前后的WGBS數據,研究者發現CR和Met干預能部分恢復異常的DNA甲基化模式,從而評估了干預措施的潛在機制。
參考文獻:
Zhang Y, Hu S, Han S, Liu C, Liang X, Li Y, Lin Z, Qin Y, Geng C, Liu Y, Cui L, Hu J, Zhang C, Wang Z, Liu X, Ma J, Chen ZJ, Zhao H. Transgenerational inheritance of diabetes susceptibility in male offspring with maternal androgen exposure. Cell Discov. 2025 Feb 12;11(1):14. pii: 10.1038/s41421-025-00769-1. doi: 10.1038/s41421-025-00769-1.