m6A RNA甲基轉移酶METTL3抑制劑在體內和體外抑制前列腺癌進展
瀏覽次數:1072 發布日期:2024-10-15
來源:本站 僅供參考,謝絕轉載,否則責任自負
前列腺癌(Prostate cancer,PCa)是全球男性中最常見的惡性腫瘤之一,也是導致男性癌癥死亡的第二大原因。盡管雄激素受體(Androgen receptor,AR)信號通路在前列腺癌進展中至關重要,但長期雄激素剝奪治療(androgen deprivation therapy,ADT)最終會失敗,導致致命的去勢抵抗性前列腺癌(CRPC)。目前,AR靶向治療的抗性導致前列腺癌的治療仍存在挑戰,尋找新的治療靶點變得尤為重要。近年來表觀遺傳學的快速發展為研究 PCa 的進展、耐藥性和潛在治療靶點提供了新的途徑。
RNA修飾是一種重要的表觀遺傳調控機制,RNA N6-甲基腺苷(m6A)是人類最豐富的RNA修飾類型,在mRNA剪接、翻譯和降解的轉錄后調控中起關鍵作用。在許多癌癥類型中,m6A調節酶的異常表達與腫瘤發生、轉移、耐藥性和癌癥干細胞自我更新有關。m6A調控因子METTL3是前列腺癌(PCa)多種進展過程中的重要調控基因。已有報道稱METTL3抑制劑在某些癌癥類型中具有強大的腫瘤抑制能力。然而,METTL3抑制劑對PCa進展的詳細影響和機制以及它們與其他藥物的潛在協同作用尚不清楚。
2024年10月,中國醫學科學院藥物研究所Wu Meng團隊、北京醫院侯惠民團隊和浙江師范大學周金明團隊合作在《Biomedicine & Pharmacotherapy》期刊發表題為“METTL3 inhibitor suppresses the progression of prostate cancer via IGFBP3/AKT pathway and synergizes with PARP inhibitor”的科研成果。研究通過免疫組化染色、Western blot、qRT-PCR等方法揭示前列腺癌PCa中METTL3 過表達并與不良預后相關。研究還表明MTTTL3 抑制劑STM2457可以降低PCa細胞的m6A水平,從而抑制其增殖、集落形成、遷移、侵襲和干性。此外,STM2457在體內抑制細胞來源的異種移植物(CDX)和患者來源的異種移植物(PDX)PCa 模型的進展。MeRIP-seq分析與生物學驗證相結合揭示STM2457主要通過 IGFBP3/AKT 通路影響PCa細胞中的多個生物過程。TM2457誘導DNA損傷,并在體外和體內顯示出與 PARP 抑制劑奧拉帕尼(Olaparib)的協同抗PCa作用。總體而言,本研究為靶向 RNA m6A 修飾治療 PCa 提供了一種新的治療策略。

標題:METTL3 inhibitor suppresses the progression of prostate cancer via IGFBP3/AKT pathway and synergizes with PARP inhibitor(METTL3抑制劑通過IGFBP3/AKT通路抑制前列腺癌進展并與PARP抑制劑協同作用)
期刊:Biomedicine & Pharmacotherapy
影響因子: IF 6.9
技術平臺:MeRIP-seq、RNA-seq
研究設計:
- 使用免疫組化染色、Western blot、qRT-PCR等方法檢測METTL3在前列腺癌組織和細胞系中的表達水平。
- 通過MeRIP-seq分析和生物學驗證,研究STM2457對前列腺癌細胞中m6A修飾的影響。
- 在體外細胞實驗和體內動物模型中評估STM2457對前列腺癌進展的影響。
- 通過藥物協同作用實驗,研究STM2457與PARP抑制劑的聯合治療效果。

圖形摘要
結果圖形:
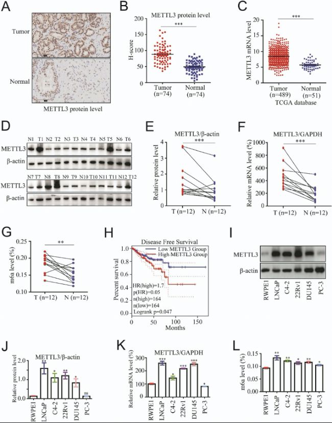
1. METTL3 在大多數 PCa 腫瘤和細胞系中過表達

圖1. 在前列腺癌(PCa)腫瘤和細胞系中METTL3的過表達和m6A水平。
A. 通過免疫組化(IHC)染色檢測了74名PCa患者的腫瘤和相鄰正常組織中METTL3的蛋白表達水平
B. 對圖1A中IHC結果的定量分析。
C. 在TCGA數據庫中,檢測了PCa腫瘤和相鄰正常組織中METTL3的mRNA表達水平。
D. 通過Western blot檢測了12名PCa患者的腫瘤和相鄰正常組織中METTL3的蛋白表達水平。
E. 對圖1D中Western blot結果的定量分析。
F. 通過qRT-PCR檢測了12名PCa患者的腫瘤和相鄰正常組織中METTL3的mRNA表達水平。
G. 檢測12名PCa患者的腫瘤和相鄰正常組織中總RNA的m6A水平。
H. 通過TCGA數據庫分析,高METTL3表達與PCa的預后不良顯著相關,P<0.05。
I. 通過Western blot檢測了5種不同的PCa細胞系和1種正常成人前列腺上皮細胞系中METTL3的蛋白水平。
J. 對圖1I中Western blot結果的定量分析。
K. qRT-PCR檢測5種不同PCa細胞系和1種正常成人前列腺上皮細胞系中METTL3 mRNA表達水平
L. 檢測了5種不同PCa細胞系和1種正常成人前列腺上皮細胞系中總RNA的m6A水平。(實驗進行三次重復。結果表示為均值±標準差。*P < 0.05,**P < 0.01,***P < 0.001與對照組相比。)
2. METTL3抑制劑在體外抑制PCa細胞和類器官活力

圖2:STM2457對體外前列腺癌細胞和類器官活力的影響。
A. DU145、22Rv1、LNCaP、C4-2和PC-3細胞用DMSO、STM2457 1.25μM、2.5μM、5.0μM和10.0μM處理24小時,檢測不同細胞系和不同處理組的總RNA m6A水平。
B. 22Rv1、LNCaP、C4-2、DU145和PC-3細胞用不同濃度的STM2457處理6天,通過CCK8實驗檢測細胞增殖。
C. 用DMSO、STM2457 1.25μM、2.5μM、5.0μM、10.0μM和20.0μM處理22Rv1、LNCaP、C4-2、DU145和PC-3細胞12-14天,進行結晶紫染色法檢測。
D. 對圖2C中集落形成結果的定量分析。
E. 用DMSO、STM2457 2.5μM和10.0μM處理22Rv1和DU145細胞24小時,通過Transwell遷移實驗檢測細胞遷移活性。
F. 對圖2E中Transwell遷移實驗結果的定量分析。
G. 用DMSO、STM2457 2.5μM和10.0μM處理22Rv1和DU145細胞24小時,通過Transwell侵襲實驗檢測細胞侵襲活性。
H. 對圖2G中Transwell侵襲實驗結果的定量分析。
I. 用DMSO、STM2457 5.0μM和20.0μM處理22Rv1和DU145細胞48小時,通過高內涵成像分析系統進行細胞運動跟蹤。
J. 用DMSO、STM2457 2.5μM和10.0μM處理22Rv1和DU145細胞2周,進行成球試驗(spheroid formation assay)檢測。
K. 3個前列腺癌患者源類器官用DMSO、STM2457 2.5μM、5.0μM和10.0μM處理約10天,然后通過顯微鏡觀察。
L. 3個前列腺癌患者源類器官用不同濃度的STM2457處理約10天,檢測類器官活力。
3. METTL3抑制劑在體內抑制PCa進展

圖3:STM2457對前列腺癌CDX和PDX模型體內進展的作用。
A. 22Rv1細胞異種移植腫瘤經對照或每天50mg/kg STM2457處理3周,最后一天拍攝腫瘤照片(n=4)。
B. 每隔一天監測一次腫瘤體積增長。
C. 最后一天用電子秤測量腫瘤重量。
D. 每隔一天用電子秤監測小鼠體重。
E. 檢測腫瘤組織的總RNA m6A水平。
F. 對收獲的腫瘤進行增殖(Ki-67)和凋亡(裂解的caspase 3)水平的免疫組化分析,
G. 對圖3F中IHC結果的定量分析。
H. 前列腺癌患者腫瘤的異種移植腫瘤經對照或每天50 mg/kg STM2457處理3周,最后一天拍攝腫瘤照片(n=5)。
I. 每三天監測一次腫瘤體積增長。
J. 最后一天用電子秤測量腫瘤重量。
K. 每三天用電子秤監測小鼠體重。
L. 檢測腫瘤組織的總RNA m6A水平。
M. 對收獲的腫瘤進行增殖(Ki-67)、神經內分泌分化(SOX2)和DNA損傷(γ-H2AX)水平的免疫組化分析。
N. 對圖3M中IHC結果的定量分析。
4. PCa細胞中受METTL3抑制劑影響的信號通路

圖4:STM2457導致前列腺癌細胞的全基因組m6A修飾和轉錄組變化。
A. 在用DMSO(n=3)或STM2457 10μM(n=3)處理的22Rv1細胞中進行MeRIP-seq分析,不同處理組的m6A peaks強度以小提琴圖表示。
B. 差異m6A峰(n=25369)分布在5'UTR、3'UTR、起始密碼子、終止密碼子、內含子、間隔區或CDS區域。
C. 維恩圖展示通過RNA-seq和MeRIP-seq檢測的顯著表達或m6A峰變化(FDR<0.05, p<0.05)的基因數量。
D. DMSO和STM2457組中差異m6A標記基因熱圖。
E. 在DMSO與STM2457組中,m6A峰和mRNA表達水平顯著變化的基因被分為4類:hypo-down(m6A峰下調,mRNA下調);hypo-up(m6A峰下調,mRNA上調);hyper-down(m6A峰上調,mRNA下調);hyper-up(m6A峰上調,mRNA上調)。
F-G. 下調最多的前10個編碼基因的m6A峰(F)和最顯著的mRNA表達水平變化(G)。
H. DMSO和STM2457組轉錄組的KEGG分析。
I. GSEA揭示STM2457在22Rv1細胞中顯著下調細胞周期、氧化磷酸化和DNA復制途徑。
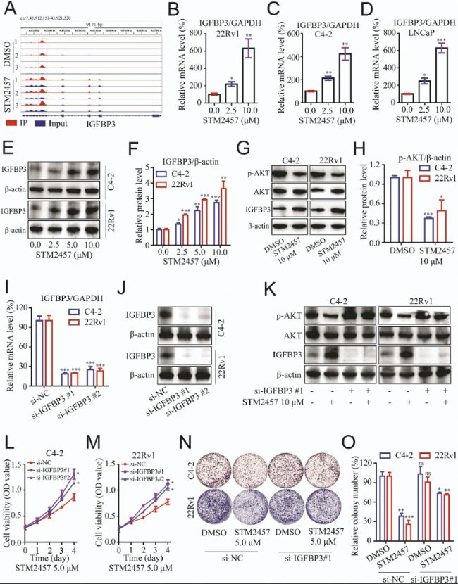
5. IGFBP3/AKT通路是METTL3抑制劑抗前列腺癌(PCa)效果所必需的

圖5:STM2457通過IGFBP3/AKT通路抑制前列腺癌細胞活力。
A. MeRIP-seq檢測22Rv1細胞中DMSO或STM2457組IGFBP3 mRNA 3'UTR的m6A峰分布差異。
B. 22Rv1細胞用DMSO、STM2457 2.5μM和10.0μM處理48小時,通過qRT-PCR檢測IGFBP3 mRNA水平,并與GAPDH歸一化。
C. C4-2細胞用DMSO、STM2457 2.5μM和10.0μM處理48小時,通過qRT-PCR檢測IGFBP3 mRNA水平,并與GAPDH歸一化。
D. LNCaP細胞用DMSO、STM2457 2.5μM和10.0μM處理48小時,通過qRT-PCR檢測IGFBP3 mRNA水平,并與GAPDH歸一化。
E. C4-2和22Rv1細胞用DMSO、STM2457 2.5μM、5.0μM和10.0μM處理48小時,通過western blot分析檢測IGFBP3蛋白水平。
F. 對圖5E中western blot結果的定量分析。
G. C4-2和22Rv1細胞用DMSO或STM2457 10.0μM處理48小時,通過western blot分析檢測p-AKT、AKT和IGFBP3蛋白水平。
H. 對圖5G中western blot結果的定量分析。
I. C4-2和22Rv1細胞用si-IGFBP3或si-NC處理24小時,通過qRT-PCR檢測IGFBP3 mRNA水平,并與GAPDH歸一化。
J. C4-2和22Rv1細胞用si-IGFBP3或si-NC處理24小時,通過western blot分析檢測IGFBP3蛋白水平。
K. C4-2和22Rv1細胞用si-IGFBP3或si-NC處理24小時,然后用DMSO或STM2457 10μM處理24小時,通過western blot分析檢測p-AKT、AKT和IGFBP3蛋白水平。
L. C4-2細胞用si-IGFBP3或si-NC處理24小時,然后用STM2457 5.0μM處理24小時、48小時、72小時和96小時,通過CCK8實驗檢測細胞活力。
M. 22Rv1細胞用si-IGFBP3或si-NC處理24小時,然后用STM2457 5.0μM處理24小時、48小時、72小時和96小時,通過CCK8實驗檢測細胞活力。
N. C4-2和22Rv1細胞用si-IGFBP3或si-NC處理24小時,然后用DMSO或STM2457 5.0μM處理12-14天,進行結晶紫染色分析。
O. 對圖5N中集落形成結果的定量分析。
6. METTL3抑制劑與PARP抑制劑聯合使用在體外顯示出增強的抗PCa活性

圖6:STM2457在體外與PARP抑制劑顯示出協同抗前列腺癌效果。
A. C4-2和22Rv1細胞用DMSO或STM2457 10.0μM處理72小時,通過western blot分析檢測p-AKT、AKT和γ-H2AX蛋白水平。
B. 對圖6A中相對γ-H2AX蛋白水平的定量分析。
C. 22Rv1細胞用DMSO或STM2457 10.0μM處理72小時,通過免疫熒光檢測γ-H2AX蛋白水平。
D. 22Rv1細胞用指定濃度的STM2457與奧拉帕尼聯合處理144小時,通過CCK8實驗檢測細胞增殖抑制活性。
E. 計算STM2457與奧拉帕尼在22Rv1細胞中的協同得分。
F. C4-2細胞用指定濃度的STM2457與奧拉帕尼聯合處理144小時,通過CCK8實驗檢測細胞增殖抑制活性。
G. 計算STM2457與奧拉帕尼在C4-2細胞中的協同得分。
H. 22Rv1和DU145細胞用DMSO、STM2457 5.0μM、奧拉帕尼5.0μM和STM2457 5.0μM與奧拉帕尼5.0μM聯合處理12-14天,進行結晶紫染色。
I. 對圖6H中集落形成結果的定量分析。
J. 22Rv1和DU145細胞用DMSO、STM2457 5.0μM、奧拉帕尼5.0μM和STM2457 5.0μM與奧拉帕尼5.0μM聯合處理24小時,通過Transwell遷移實驗檢測細胞遷移活性。
K. 22Rv1和DU145細胞用DMSO、STM2457 5.0μM、奧拉帕尼5.0μM和STM2457 5.0μM與奧拉帕尼5.0μM聯合處理24小時,通過Transwell侵襲實驗檢測細胞侵襲活性。
L. 22Rv1和DU145細胞用DMSO、STM2457 5.0μM、奧拉帕尼5.0μM和STM2457 5.0μM與奧拉帕尼5.0μM聯合處理48小時,然后通過高內涵成像分析系統進行18小時的細胞運動跟蹤。
M. 通過高內涵成像分析系統分析圖6L中22Rv1和DU145細胞的運動位移和速度。
7. METTL3抑制劑與PARP抑制劑協同作用,抑制體內PCa進展
圖7:STM2457在體內與PARP抑制劑顯示出協同抗前列腺癌效果。
A. 22Rv1細胞的異種移植腫瘤用空白對照、每天50mg/kg STM2457、每天50毫克/千克奧拉帕尼,以及每天50 mg/kg STM2457與50 mg/kg奧拉帕尼聯合處理3周,最后一天拍攝腫瘤照片(n=5)。
B. 每三天監測一次腫瘤體積增長。
C. 最后一天用電子秤測量腫瘤重量。
D. 每三天用電子秤監測小鼠體重。
E. 對收獲的腫瘤進行增殖(Ki-67)和凋亡(裂解的caspase 3)水平的免疫組化分析。
F. 對圖7E中IHC結果的定量分析。
易小結
本研究地分析了METTL3抑制劑STM2457在不同細胞系、患者來源器官類器官(PDO)、細胞源異種移植模型(CDX)和患者源異種移植模型(PDX)中的前列腺癌(PCa)抑制活性。STM2457抑制了IGFBP3 3'UTR的m6A修飾,并促進IGFBP3的穩定和過表達。隨后,IGFBP3降低了AKT的磷酸化水平,進而抑制METTL3過表達的PCa進展。此外STM2457誘導了DNA損傷,并在體外和體內均顯示出與PARP抑制劑的協同抗PCa效果。本研究首次證明了METTL3抑制劑在體外和體內都能抑制PCa進展,并為進一步的臨床試驗提供了有意義的參考。
參考文獻:
Chen X, Wang M, Wang H, Yang J, Li X, Zhang R, Ding X, Hou H, Zhou J, Wu M. METTL3 inhibitor suppresses the progression of prostate cancer via IGFBP3/AKT pathway and synergizes with PARP inhibitor. Biomed Pharmacother. 2024 Sep 3;179:117366. pii: S0753-3322(24)01251-4. doi: 10.1016/j.biopha.2024.117366. PubMed PMID: 39232384.