


間接法的靈敏度高于直接法:
未標記的一抗保留了完全的親和力,具有更強的抗原結合力,并且每分子一抗的標記物(例如過氧化物酶)數量更多,從而增加了反應強度。

1
樣本固定
目的
1) 充分保存細胞成分,包括可溶性和結構性蛋白質;
2) 防止細胞成分 (包括抗原和酶) 自溶和置換;甲醛是常規組織學和免疫組織化學固定劑的金標準。甲醛主要保存肽和細胞器的一般結構。
向上滑動閱覽
基本步驟:
1)取材:從動物或人體取得所需的組織樣本。對于組織塊,要確保其大小適中,不宜過大,以便于固定液能夠充分滲透。2)初步處理:如果組織樣本帶有血液或其他體液,應先用生理鹽水或 PBS 進行沖洗,以去除這些可能影響固定效果的物質。
3)固定:將組織樣本放入固定液中。常用的固定液包括 10% 中性緩沖福爾馬林 (Formalin,也稱為甲醛)、甲醇、乙醇或它們的混合液等。固定液的量通常為組織體積的 10-20 倍,以確保組織能夠充分浸入固定液中。大組織標本應切開固定,以免中間部分自溶解腐敗。
☑ 固定時間根據組織類型和實驗要求而定,一般固定時間室溫 18-24 h。注意事項:
固定的溫度通常為室溫或 4°C,避免高溫導致組織損傷。
在固定過程中,要確保組織樣本完全浸入固定液中,避免出現未固定的部分。
固定的容器應干凈、無雜質,避免對組織造成污染。
2
包埋
目的
保護和支撐組織樣本,以便在切片時保持其完整性。通過將組織樣本嵌入到固體介質中,可以制作出適合在顯微鏡下觀察的薄切片。
常用的包埋介質包括石蠟、樹脂等。石蠟包埋是免疫組化中最常用的方法,因為它可以有效保存組織形態,提升切片質量。樹脂包埋則常用于需要更高分辨率或特殊染色方法的樣本。
向上滑動閱覽
基本步驟:
1)脫水:在組織樣本固定后,需要將其中的水分去除,以便于包埋介質能夠充分滲透。酒精梯度脫水: 75% 乙醇、85% 乙醇、95% 乙醇、無水乙醇 (I)、無水乙醇 (II) 分別浸泡 1 min。
2)透明:脫水后,組織樣本會變得不透明,需要使用透明劑(如二甲苯)來去除其中的酒精和其他溶劑,使組織樣本變得透明。通常用二甲苯浸泡兩次,每次浸泡 1min。注意事項:
包埋后的組織塊需要冷卻凝固后才能進行切片。在冷卻過程中,要避免過度冷卻導致石蠟碎裂或組織變形。
在包埋前,要對組織樣本進行充分的固定和脫水處理,以確保其抗原性和完整性。
3
切片
目的
將包埋后的組織樣本切割成薄片,以便于在顯微鏡下觀察和檢測。
基本步驟:
1)切片前的準備:確保包埋后的組織塊已經充分冷卻并固化。使用適當的切片機進行切片。2)切片:將包埋好的組織塊固定在切片機的樣本夾上。調整切片機的切片厚度,通常為 4-5 微米厚,這個厚度是根據需要檢測的抗原和實驗要求來確定的。
3)展片:使用刷子或毛筆輕輕地將切好的組織切片從刀上取下,并放在溫水 (40℃) 中展開。
4)烤片:60℃ 烤片 2 h。
注意事項:
切片后,要及時對切片進行處理,以避免抗原的損失和組織的變性。
使用適當的黏貼劑,確保切片牢固地附貼在載玻片上,以便于后續的免疫組化實驗。
4
脫蠟水化
目的
將組織切片從石蠟中釋放出來,并使其恢復到適合進行后續抗原檢測和染色的狀態。
向上滑動閱覽
基本步驟:
1)脫蠟:切片首先被置于二甲苯中浸泡,以溶解和去除切片上的石蠟。通常,這個過程會分為多個步驟,每步大約持續 5 分鐘,以確保石蠟被完全去除。例如,可以使用二甲苯 Ⅰ、二甲苯 Ⅱ 和二甲苯 Ⅲ 分別浸泡 5 min。
2)水化:依次置于無水乙醇 I、無水乙醇 II,95% 乙醇、85% 乙醇和 70% 乙醇中,各浸泡 1 次,5 min/ 次;再放入純化水中清洗浸泡 5 min。注意事項:
避免干燥:在整個脫蠟水化過程中,應確保切片始終保持在濕潤的狀態,避免干燥。干燥會導致非特異性抗體結合,從而出現高背景染色。
5
抗原修復
目的
重新暴露或修正這些被封閉或扭曲的抗原,以提高免疫組化實驗中的抗體與抗原的結合率,增強信號的強度和特異性[3]。
最常用的修復緩沖液是 10 mM 的 pH 6.0 枸櫞酸鈉、pH 9.0 的 Tris-EDTA 、pH 8.0 的 EDTA。建議測試多種方法以尋找染色效果最佳的方法。
向上滑動閱覽
抗原修復的方法:
(1) 微波熱修復:加入抗原修復液,放入切片,置于微波爐中火 8 min,停火 7 min,轉小火 8 min;取出染色盒,冷卻至室溫。(4) 酶解修復:常用的消化酶有胰蛋白酶、胃蛋白酶、蛋白酶 K 等。將切片置于含有酶解液的載玻片上,然后在適當的溫度和濕度條件下進行酶解 (通常為 37°C,20 min)。酶解后,同樣需要冷卻切片至室溫再進行后續處理。
注意事項:
使用過量的抗原修復液;
修復液的不同 pH 值對染色結果的影響比較大;
沒有一種抗原修復緩沖液可以適用于所有抗原。不同的抗體可能需要不同的抗原修復方法和條件,因此需要根據實驗要求和抗體特性選擇合適的抗原修復方法。
6
滅活
目的
消除細胞或組織中內源性酶和活性物質的影響,降低背景噪音,提高實驗的特異性和敏感性[4]。
(1) 滅活內源性過氧化物酶:HRP 檢測系統,常用的去除內源性過氧化物酶的方法是 3% 過氧化氫水溶液,室溫 10 min。(2) 洗滌:用 PBS 或 TBS 等緩沖液洗滌切片、浸泡 2 次,5 min/ 次。
H2O2 孵育時間過長也會易引起脫片。
部分組織還含有內源性堿性磷酸酶,可用左旋咪唑進行滅活。
7
封閉
目的
封閉組織切片上非特異性結合位點,防止抗體與這些位點結合,從而減少背景信號。
基本步驟:
1)非特異位點封閉:將封閉液 (如 5% BSA 或血清等) 滴加到組織切片上,確保封閉液均勻覆蓋整個組織區域。然后將切片放入濕盒中,在室溫或 37°C 下孵育 30 min,讓封閉液與組織切片充分作用。2)洗滌:封閉結束后,用 PBS 或 TBS 等緩沖液洗滌切片,以去除未結合的封閉液和可能存在的雜質。
8
一抗孵育
向上滑動閱覽
基本步驟:
1)選擇一抗:根據實驗目的選擇特異性高、親和力強的一抗。一抗應該與目標抗原的種屬來源、類型等相匹配。
2)稀釋一抗:根據一抗的效價和實驗要求,用適當的稀釋液 (如 PBS、TBS 等) 稀釋一抗。注意事項:
充分洗滌組織切片,去除未結合的一抗和其他雜質,減少背景染色。
9
二抗孵育
二抗的作用是與一抗結合,形成抗原-抗體-抗體復合物,從而增強信號的強度和特異性。
在免疫組化實驗中,二抗通常帶有標記酶 (如 HRP.AP 等),這些標記物在后續的顯色步驟中可以產生可見的染色信號,便于在顯微鏡下觀察目標抗原在組織中的分布和表達情況。二抗孵育的基本步驟:
1) 稀釋二抗:參考二抗的說明書,按照適當比例用封閉液或其他適當的溶液稀釋二抗。2) 孵育二抗:將稀釋好的二抗滴加在已經過一抗孵育并洗滌的組織切片上,室溫孵育 30 min-60 min。
3) 洗滌:孵育完成后,使用洗滌液 (如 PBST 或 TBST) 在搖床上緩慢搖動洗滌切片,以去除未結合的二抗和其他雜質。洗滌通常需要重復幾次,每次洗滌時間一般為 5-10 分鐘。
注意事項:二抗的選擇和稀釋比例應根據實驗的具體要求和一抗的特性來確定。
對于抗體的選擇還有疑惑的小伙伴可以翻翻小 M 的往期推文:官宣! MCE 迎來了一位新成員——抗體10
顯色
顯色檢測中需要考慮的其他因素有酶和顯色底物的選擇。每種檢測酶都有幾種不同的顯色劑。HRP-DAB 是最常用的顯色劑組合。
原理:在免疫組化中通常使用辣根過氧化物酶 (HRP) 或堿性磷酸酶 (AP) 等作為標記酶。這些酶能催化底物發生顏色反應,從而在抗原所在的位置形成可見的沉淀物。向上滑動閱覽
基本步驟:
1)加入酶的底物 (如 HRP 的底物為 DAB,AP 的底物為 BCIP/NBT)。2)底物在酶的作用下發生化學反應,形成有色沉淀物,通常呈現棕色 (對于HRP-DAB 系統) 或藍色 (對于 AP-BCIP/NBT 系統)。
3)通過顯微鏡觀察組織切片上的顏色變化,可以確定抗原在細胞或組織中的位置和表達水平。
注意事項:優化條件:對一抗、二抗的濃度、孵育時間和溫度等條件進行優化,以獲得最佳的檢測結果。
注意防護:DAB 為聯苯偶氨化合物,可誘發皮膚癌和膀胱癥,在顯色操作過程中需注意防護。
11
復染
為了形成細胞輪廓,更好的定位目標蛋白,可進行復染[5]。
復染:滴加 80-100 μL 蘇木素染色液至完全覆蓋組織,室溫孵育 5 min,自來水沖洗返藍。
注意事項:如果染色過淺可重復染色,如果染色過深可使用鹽酸進行分化。
12
封片觀察
在免疫組化實驗中,封片觀察是最后的步驟,用于保護組織切片、增強對比度和穩定性,并允許在顯微鏡下進行長期觀察和分析。
2)透明:脫水后,切片需要進行透明處理,以便封片劑能夠均勻分布在切片上。通常使用二甲苯浸泡兩次,每次 1 min。
3)封片:將一滴封片劑 (如中性樹膠、甘油明膠等) 滴在組織切片上,然后用蓋玻片輕輕覆蓋。封片劑的選擇取決于實驗要求和標本類型。封片時要確保沒有氣泡產生,并且蓋玻片與切片之間緊密貼合。
4)干燥:讓封片劑自然干燥,或者可以在溫箱中加速干燥過程。干燥后的切片可以長期保存,并隨時用于觀察。


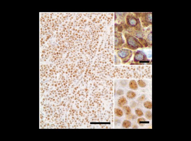
在使用檢測進行診斷之前,必須了解反應在細胞或組織內的預期抗原分布。如下圖所示,CD79a 抗體僅染色了漿細胞瘤細胞的細胞核。根據目前對該抗原位置(細胞質和細胞質膜) 的了解,該反應被認為不是特異性的。
注:非特異的原因也有是因為修復方式不對,可能是修復太強了。

下部插圖是異常染色的細節;上部插圖描繪了漿細胞瘤中 CD79a 的典型細胞質染色。條 = 60 μm,兩個插圖條 = 5 μm。
2)一抗用多克隆抗體易出現非特異性著色,建議試用單克隆抗體看看;
3)內源性過氧化物酶和生物素在肝臟、腎臟等組織含量很高 (含血細胞多的組織),需要通過延長滅活時間和增加滅活劑濃度來降低背景染色;
4)非特異性組分與抗體結合,需延長封閉時間和適當增加濃度來加強封閉效果;
5)DAB 孵育時間過長或濃度過高;
6)洗滌不充分,可增加洗滌次數和洗滌時間;
7)染色過程中出現干片。干片容易導致非特異性染色,實驗過程中需避免干片。
▐ Q3:免疫組化染色呈陰性結果的原因?
2)確認試劑是否遺漏,添加順序是否正確;
3)抗原修復條件不合適,摸索最合適抗原修復條件;
4)組織切片本身這種抗原含量低,建議用已知陽性樣本作陽性對照。
▐ Q4:背景強?
2)是否有效去除內源性酶和生物素,可延長內源性酶滅活時間;
3)血清封閉時間是否過短,可延長封閉時間;
4)檢查一抗的特異性是否良好,選擇特異性高的抗體;
5)適當增加抗體孵育后的洗滌次數和延長洗滌時間。
| IRF3 Antibody IRF3 Antibody 是一個非偶聯、兔源、抗 IRF3 單克隆抗體。它可用于人、小鼠背景下 WB、ICC/IF、IHC-P、FC 實驗。 |
| Ki-67 Antibody 該抗體是一個非偶聯、兔來源、抗 Ki-67 多克隆抗體。同時是直腸癌、宮頸癌等免疫組化檢查指標之一。可用于人、小鼠、背景下的 WB, ELISA, IHC-P, IHC-F, Flow-Cyt, ICC, IF 實驗。 |
| p16 Antibody 該抗體是一個非偶聯、兔來源、抗 p16 單克隆抗體。它是宮頸癌等免疫組化檢查指標之一,可用于人背景下 WB, IHC-P 實驗。 |
| p53 Antibody 該抗體是一個非偶聯、兔源、抗 p53 單克隆抗體。它可用于人背景下 WB、ICC/IF、IHC-P、IP 實驗。 |
| HRP-conjugated AffiniPure Goat Anti-Mouse IgG H&L 該抗體是偶聯了 HRP 標記、山羊來源的抗小鼠 IgG 抗體。它可結合小鼠 IgG 抗體的輕鏈和重鏈,用于小鼠背景下 WB、ELISA、IHC 實驗。 |
| HRP-conjugated AffiniPure Goat Anti-Rabbit IgG H&L
該抗體是偶聯了 HRP 標記、山羊來源的抗兔 IgG 抗體。它可結合兔 IgG 抗體的輕鏈和重鏈,用于兔子背景下 WB、IHC-P、ELISA 實驗。 |