引言
在癌癥研究領域,腫瘤微環境的復雜性和動態性一直是科學家們關注的焦點。近年來,隨著技術的不斷進步,一系列創新工具和方法的出現為腫瘤生物學、早期診斷以及個性化治療提供了新的視角。本文將詳細介紹幾項革命性的研究成果和技術產品,包括腫瘤間質液(IF)中的細胞外囊泡(EVs)研究、激光捕獲微解剖(LCM)技術的優化,以及它們在腫瘤監測和免疫治療中的應用。
腫瘤間質液EVs:實時監測腫瘤微環境的新生物標志物
1 EVs作為實時生物標志物

具體案例:Marissa Howard等人展示了乳腺癌細胞如何通過釋放不同大小的EVs來影響免疫系統,進而影響腫瘤轉移。這些發現強調了EVs在腫瘤免疫抑制和轉移中的重要作用。
關鍵發現:研究表明,從腫瘤間質液中直接收獲的EVs反映了腫瘤微環境內正在進行的細胞間通信,是實時監測腫瘤狀態的新型生物標志物。這些EVs不僅包含豐富的分子信息,還能揭示腫瘤細胞的代謝狀態和免疫逃逸機制。
2 分泌性自噬和線粒體自噬

實驗證據:Purva Gade等人通過質譜分析和超分辨率顯微鏡技術,證明了分泌性米托自噬在體內和體外均存在,并可作為新的治療靶點。
新生存機制:研究發現,腫瘤細胞在面對氧化應激或高代謝需求時,會通過分泌性自噬和線粒體自噬(分泌性米托自噬)來生存。這種機制通過EVs釋放受損的線粒體和關鍵蛋白,如PINK1,幫助腫瘤細胞抵抗壓力。
3 EVs在免疫治療監測中的應用

臨床潛力:這一發現為癌癥治療提供了一種無創或微創的監測方法,有助于評估治療效果并及時調整治療方案。
實時監測:通過對腫瘤IF EVs的分子表征,可以監測免疫治療的療效。例如,在免疫治療后,腫瘤IF EVs中免疫激活相關蛋白的表達顯著增加,與腫瘤形態學變化相一致。
激光捕獲微解剖(LCM)技術的優化:提高特異性和通量
1 藍色激光LCM系統

應用實例:Thomas Philipson等人展示了藍色激光LCM系統在實際應用中的優越性,如成功捕獲了微小的前驅病變組織。
技術革新:傳統的紅外激光LCM系統存在分辨率低、組織損傷大等缺點。新開發的藍色激光(405 nm)LCM系統結合了高分辨率和組織保存的優勢,顯著提高了捕獲特異性。
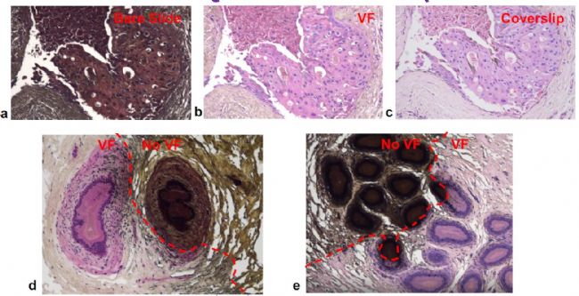
2 可視化流體(VF)的應用

實驗驗證:研究顯示,VF不僅改善了組織可視化效果,還不會對下游RNA分析產生顯著影響,為LCM的廣泛應用提供了有力支持。
解決可視化難題:LCM過程中組織可視化困難是一個長期存在的問題。可視化流體的使用解決了這一問題,它能夠在不使用蓋玻片的情況下實現高保真度的組織形態可視化。
3 自動化和遠程操作

未來趨勢:隨著技術的不斷進步,LCM有望實現自動化和遠程操作。這將極大地降低操作難度和時間成本,使更多醫生和研究人員能夠利用這一技術進行精準醫療研究。
AccuLift™ 空間分析平臺:單細胞測序和空間組學的新利器

1 單細胞捕獲與測序
應用優勢:該平臺適用于稀有細胞的捕獲和測序,為基因組學和轉錄組學研究提供了新的解決方案。
技術亮點:AccuLift™ 空間分析平臺結合了激光捕獲微解剖和單細胞測序技術,能夠在保持細胞原始空間位置的同時進行高靈敏度的基因組和轉錄組測序。
2 空間組學分析
案例分析:在相關文獻中,研究人員利用該平臺成功捕獲并測序了多種類型的人類神經元細胞,揭示了其在特定生物環境下的基因表達模式。
多維信息:通過AccuLift™ 平臺,研究人員可以獲取細胞的基因組、轉錄組以及空間位置等多維信息,為深入理解腫瘤微環境的異質性提供了強大工具。
結論與展望
腫瘤間質液EVs研究、激光捕獲微解剖技術的優化以及AccuLift™ 空間分析平臺代表了腫瘤研究領域的最新進展。這些技術和方法不僅為腫瘤生物學研究提供了新的視角和工具,還為癌癥的早期診斷、個性化治療以及療效監測帶來了革命性的變化。未來,隨著技術的不斷成熟和應用領域的拓展,我們有理由相信這些創新工具將在癌癥研究中發揮更加重要的作用。