一、HaCaT細胞:皮膚研究的"明星模特"
HaCaT細胞是1988年從正常人表皮角質形成細胞永生化而來的細胞系,堪稱皮膚研究的"黃金標準"。它的獨特之處在于:
起源故事:該細胞源自一位62歲患有黑色素瘤男性的病灶外圍正常皮膚,角蛋白、角化細胞交聯外膜蛋白、中間絲相關蛋白陽性。
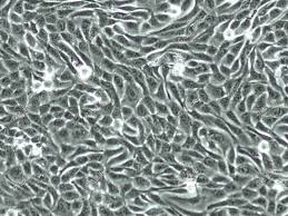
形態特征:典型鋪路石樣上皮形態,貼壁生長,保持正常角質形成細胞的分化潛能(如下圖)。
圖1.HaCaT細胞形態圖
超能力:在特定條件下可形成類似人體表皮的多層結構,是研究皮膚屏障的理想模型。
二、2024-2025年HaCaT研究新發現
皮膚屏障與炎癥調控
- 研究發現p53突變會增強鎘誘導的HaCaT細胞角蛋白17表達和細胞死亡
細胞粘附與模式形成
- 證實細胞粘附和營養缺乏是角質形成細胞模式形成的關鍵驅動因素
氧化應激與光老化防護
- 寧夏枸杞多糖對UVB誘導的光老化具有保護作用
- 水柏枝提取物通過多靶點抗氧化機制保護UVB損傷
- 穿心蓮葉提取物通過抑制MAPK通路減輕UVB損傷
- 槐提取物與維生素C組合可有效防護光損傷
鐵死亡與皮膚損傷
- 角鯊烯過氧化物可誘導HaCaT細胞鐵死亡
- 植物提取物可能預防皮膚鐵死亡
組織工程與創面修復
- SIP1蛋白在HaCaT細胞中的調控機制及其在皮膚病理中的作用
皮膚敏感性測試
三、Celloger 活細胞成像儀監測HaCaT細胞
Celloger® Pro <2X Image>

Celloger® Pro <4X Image>

Celloger® Pro <10X Image>

四、HaCaT的五大應用場景
✔️ 皮膚疾病研究:銀屑病、特應性皮炎等發病機制
✔️ 傷口愈合研究:細胞遷移和再上皮化過程
✔️ 光損傷防護:評估防曬成分和抗氧化劑效果
✔️ 化妝品安全測試:替代動物實驗的體外模型
✔️ 藥物透皮吸收:研究藥物經皮滲透機制
五、Celloger活細胞成像儀三大優勢
傳統皮膚細胞研究需要頻繁取樣觀察,而Celloger活細胞成像儀讓研究更智能:
直接在培養箱內連續拍攝,分鐘/小時/次自動記錄,完整捕捉HaCaT遷移、分化全過程
高對比度擬相差成像+雙熒光通道,清晰呈現細胞形態和群體行為
自動計算劃痕愈合面積、細胞增殖曲線,數據分析效率提升80%
參考文獻:
1. Colombo I, Sangiovanni E, Maggio R, et al. HaCaT Cells as a Reliable In Vitro Differentiation Model to Dissect the Inflammatory/Repair Response of Human Keratinocytes. Mediators Inflamm. 2017;2017:7435621. doi:10.1155/2017/7435621
2. Romashin D, Rusanov A, Tolstova T, et al. Loss of mutant p53 in HaCaT keratinocytes promotes cadmium-induced keratin 17 expression and cell death. Biochem Biophys Res Commun. 2024;709:149834. doi:10.1016/j.bbrc.2024.149834
3. 雷鳴,高曉燕,劉瑞,等. 寧夏枸杞多糖對UVB誘導HaCaT細胞光老化的保護作用及機制研究[J]. 寧夏醫學雜志,2024,46(11):921-924. DOI:10.13621/j.1001-5949.2024.11.0921.
4. Bayazid B A ,Hwang K U ,Jang A Y , et al.Andrographis paniculata Leaves Extract Alleviates UVB-Induced HaCaT Cells Through Suppressing Mitogen-Activated Protein Kinases Activation[J].Natural Product Communications,2024,19(4):
5. 孫璇,李萍,孫靜,等.槐提取物和維生素C組合物對紫外照射誘導的HaCaT細胞光損傷的保護作用[J].食品工業科技,2024,45(01):303-309.DOI:10.13386/j.issn1002-0306.2023010057.
6. Kato C ,Kusumoto I ,Kato S , et al.Induction of ferroptosis in human keratinocyte HaCaT cells by squalene hydroperoxide: Possible prevention of skin ferroptosis by botanical extracts[J].Biochemical and Biophysical Research Communications,2024,698149553-.