B-NDG小鼠(NOD.CB17-PrkdcscidIL2rgtm1/Bcgen)是百奧賽圖公司自主開發的,NOD-scid遺傳背景的IL2rg基因敲除小鼠,綜合了NOD-scid-IL2rg null背景特征,具有重度免疫缺陷表型,缺乏成熟的T、B和NK細胞,是目前國際公認的免疫缺陷程度高的工具小鼠,已被廣泛應用于人體免疫系統重建。
人PBMC植入的人源化小鼠是體內分析人體免疫應答的有吸引力的模型。我們先前報道了人 PBMC 可成功植入 B-NDG 小鼠。然而,由于這些小鼠存在嚴重的異種移植物抗宿主病 (xeno-GVHD),實驗的窗口有限,所以敲除 MHCⅠ 類 β2-微球蛋白 (β2m) 是解決這一問題的有效途徑。但據報道,FcRn 是 α 鏈和 β2m 的異源二聚體,與其他 IgG Fc 受體的不同之處在于其在結構上與 MHCⅠ類分子相關。研究表明,在 β2m 缺陷小鼠中, FcRn 的幾種功能受到影響,例如,與同窩正常小鼠相比,新生 β2m 缺陷幼崽在出生時的 IgG 血清水平較低,并且在斷奶前蓄積的 IgG 較少 [1,2]。
因此,百奧賽圖在B-NDG小鼠的基礎上開發了衍生產品B-NDG B2m KO plus 小鼠,一起來瞧一瞧吧~
1、B-NDG B2m KO plus小鼠部分數據展示:
蛋白表達分析
組織病理學切片
B-NDG B2m KO plus小鼠的抗腫瘤藥效研究
B-NDG B2m KO plus小鼠——
PBMC免疫系統重建的有力工具
B-NDG B2m KO plus 小鼠在基因敲除鼠 B2m 基因的同時,表達了融合在 FcRn 基因中的 B2m 基因。這種小鼠結合了 B-NDG 小鼠背景同時存在MHC I 類缺失,與野生型小鼠相比,IgG藥物在小鼠體內沒有表現出代謝差異,有效減緩GVHD反應并延長藥效實驗的窗口期。該模型可用于研究異種移植抗宿主病的體內機制和治療藥物療效評價。
MHC-I 類分子的蛋白表達分析

從 B-NDG B2m KO plus、B-NDG、NOD-scid 小鼠 (n=5) 中采集血細胞、脾細胞和骨髓細胞,并通過 MHC I 類 (H-2 Kd) 流式細胞術進行分析。
結果顯示:MHC I 類僅在B-NDG,NOD scid小鼠檢測到,B-NDG B2m KO plus小鼠未檢測到。
T、B 和 NK 細胞的蛋白表達分析新

從 B-NDG B2m KO plus、B-NDG、NOD-scid 和 C57BL/6 小鼠 (n=5) 中采集血細胞、脾細胞和細胞,并用 T、B 和 NK 細胞通過流式細胞術進行分析。
結果顯示:在 B-NDG B2m KO plus 和 B-NDG 小鼠中未檢測到 T、B 和 NK 細胞。NOD scid 小鼠 未檢測到T、B 細胞,而可以檢測到NK細胞。在 C57BL/6 小鼠中可檢測到 T、B 和 NK 細胞。
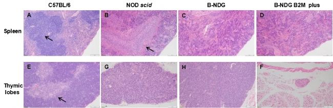
B-NDG B2M KO plus 和對照小鼠組織的組織病理學切片

(A) C57BL/6 脾臟結構正常,濾泡界限清楚;
(B) NOD-scid 脾臟顯示白髓發育不全;
(C,D) 來自 B-NDG 和 B-NDG B2m KO plus 的脾臟均顯示濾泡結構完全喪失;
(E) C57BL/6 胸腺葉結構正常,皮質界限清楚;
(G) NOD scid 小鼠的胸腺葉發育不良,缺乏明確的皮質;
(H) B-NDG 小鼠的胸腺葉嚴重發育不良,缺乏明確的皮質;
(F) B-NDG B2m KO plus 顯示正常解剖位置上無胸腺葉。
PK實驗——不同小鼠血漿IgG濃度的測定

用人IgG處理純合的B-NDG、B-NDG B2m KO小鼠、B-NDG B2m KO plus小鼠和C57BL/6小鼠(n=5)。收集不同時間點的血樣進行PK測定。
結果表明,B-NDG和B-NDG B2m KO plus小鼠組PK結果基本一致具有藥代動力學特征,與野生型小鼠無差異,而B-NDG B2m KO小鼠組在2天后的時間點無法測定藥物濃度。結果表明B-NDG B2m KO plus小鼠有效解決了單純敲除小鼠B2M基因導致抗體半衰期縮短的問題。
在人PBMC誘導的GvHD模型中,B-NDG B2m KO plus小鼠 vs B-NDG 小鼠新


方法:B2M/FcRn(11 周齡雌性,n=5)和 B-NDG(10 周齡雌性,n=6)小鼠在第 0 天靜脈植入來自 3 名健康供體 (D1-3) 的 20M 人 PBMC。根據下表,每周大約兩次對 GvHD 的臨床體征進行評分。在 Prism 中分析數據。數值表示為平均值±SEM。**: P<0.01.
結論:在人 PBMC 誘導的 GvHD 模型中,與 B-NDG 小鼠相比,B2M/FcRn(B-NDG B2m KO plus) 小鼠顯著延長了生存期,同時可延遲 GvHD 的發生并降低其嚴重程度。
PBMC RKO模型在B-NDG B2m KO plus小鼠中的抗腫瘤功效


方法:B-NDG B2m KO plus小鼠 (n = 7/8),植入人 PBMC 并接種人 RKO 腫瘤細胞系,用 PD-1抗體進行處理。
結論:利用B-NDG B2m KO plus建立的PBMC免疫重建小鼠模型中PD-1能夠有效抑制 RKO 腫瘤生長。B-NDG B2m KO plus小鼠體重的穩定表現出較少的 GvHD 癥狀。
NCI-H226 CDX 腫瘤模型在 B-NDG B2m KO plus小鼠中進行的 CAR-T 體內療效研究

CAR-T 療法在B-NDG B2m KO plus小鼠中的抗腫瘤活性。將人 NCI-H226(1E7) 植入B-NDG B2m KO plus小鼠中。(A) 當腫瘤大小約為 150±50 mm3 時,對小鼠進行分組。此時,使用 CAR-T 細胞 (5E5) 按照圖中所示的時間表進行處理。(B) 治療期間的體重變化。
結果表明:CAR-T 細胞對 B-NDG B2m KO plus小鼠的腫瘤生長有不同的抑制作用。B-NDG 是人 CAR-T 細胞療效研究的強有力模型。
參考文獻
[1] Dilip K. Challa, Ramraj Velmurugan, Raimund J. Ober and E. Sally Ward. FcRn: From Molecular Interactions to Regulation of IgG Pharmacokinetics and Functions[J]. Curr Top Microbiol Immunol 2014,382:249-272.
[2] Asja Praetor,Walter Hunziker. β2-microglobulin is important for cell surface expression and pH-dependent IgG binding of human FcRn [J]. Journal of Cell Science,2002,115:2389-2397.
