

Fig. 1. NK細胞調控Mn2+的抗腫瘤效應
2. Mn2+直接調控NK細胞的細胞毒性
考慮到NK細胞在清除腫瘤細胞過程中發揮的重要作用,作者選擇小鼠胰腺和人類PBMC中分離純化出來的NK細胞,用于探究Mn2+對NK細胞的細胞毒性的調控。結果表明,Mn2+處理不會對NK細胞的生長和凋亡產生顯著性的影響,但能使得NK細胞激活marker的表達水平上調(Fig. 2A-F)。
隨后,作者選取NK-92MI細胞系和人類原代NK細胞,與靶細胞K562分別以不同的細胞比例(E:T)進行共培養48小時,可見兩種NK細胞的Mn2+處理組的細胞毒性均有顯著上調,鼠源NK細胞和靶細胞同理可證,即Mn2+提高NK細胞的腫瘤殺傷性(Fig. 3A-H)。

Fig. 2. Mn2+增強NK細胞的激活水平

Fig. 3. Mn2+直接增強NK細胞對腫瘤的細胞毒性
3. Mn2+通過NK細胞增強CD8+ T細胞的激活
前文提到,Mn2+的抗腫瘤效應除了可能依賴于對NK細胞細胞毒性的直接調控外,還可能通過NK細胞進一步調控T細胞。為了驗證這種可能性,作者檢測了NK細胞去除的小鼠中CD8+ T細胞的激活水平,發現Mn2+處理可以讓CD8+ T細胞激活水平顯著上調但低于對照組(Fig. 1K)。作者分析了CD45+ 腫瘤浸潤細胞的單細胞轉錄組測序(scRNA-seq;測序服務由伯豪生物提供)數據,發現Mn2+處理組中NK細胞、CD8+ T細胞及其他一些細胞類型在數目和比例上顯著增加,GO和KEGG富集到了NK細胞中趨化因子和白細胞遷移等與表型和功能相關通路的顯著激活,隨后用體外實驗驗證了趨化因子濃度在Mn2+處理條件下的變化(Fig. 4A-F)。在Mn2+處理條件下,CD8+ T細胞和NK細胞共培養時,其激活水平和細胞毒性相比于無Mn2+組均有進一步的顯著提升(Fig. 4G-L)。綜上,作者得到結論:Mn2+處理可以通過NK細胞依賴或非依賴的方式調控CD8+ T細胞。

Fig. 4. Mn2+通過NK細胞激活CD8+ T細胞
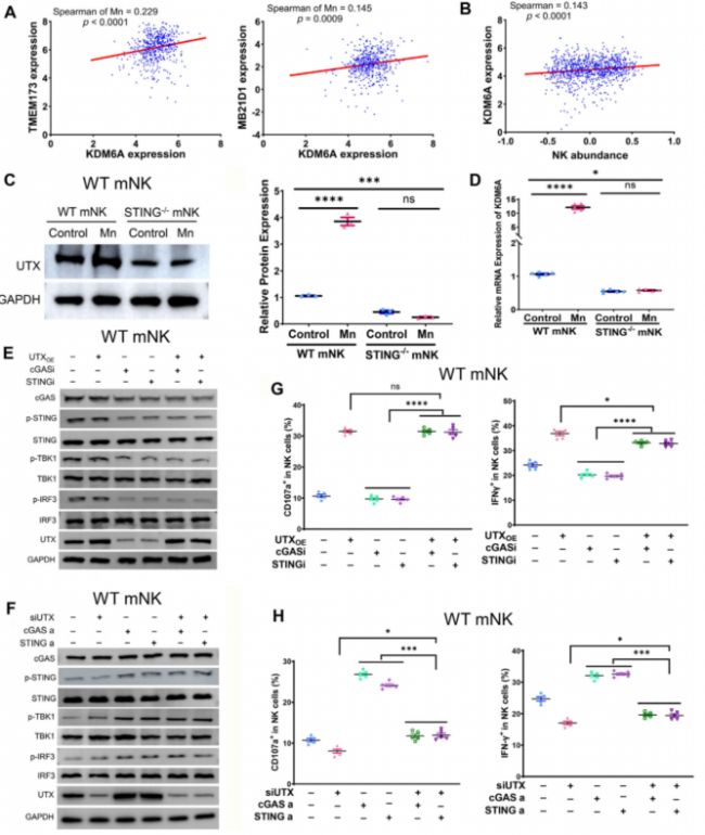
4. Mn2+通過cGAS-STING-UTX途徑激活NK細胞
cGAS-STING途徑在以往的研究中已經被報道受到Mn2+調控[1][2][3],UTX也被報道在NK細胞響應中具有重要的作用[4],而本研究中關于Mn2+調控NK細胞的結果也就成為了連接上述兩個結論的關鍵。
首先,作者在STING全身性敲除的小鼠(STING-/-)中驗證了NK細胞的增殖和凋亡都不受Mn2+調控,且完全不會被Mn2+處理激活;其次,作者在野生型小鼠中分別利用cGAS和STING的抑制劑對cGAS-STING信號通路進行抑制,觀察到Mn2+處理不會影響NK細胞的增殖,但NK細胞的激活水平不再受Mn2+處理的顯著上調(Fig. 5)。
最后,為了驗證UTX在Mn2+依賴的NK細胞激活調控機制中發揮的作用,作者在scRNA-seq結果中通過在轉錄水平上計算cGAS和STING的表達水平與UTX表達水平之間的相關系數,推斷出cGAS-STING通路與UTX具有顯著的相關性,并使用TCGA數據庫中的公共數據對這一結論進行了驗證,隨后進一步通過公共數據發現了UTX轉錄水平和NK細胞豐度之間具有顯著的正相關性(Fig. 6A, B)。
Mn2+處理能在轉錄和翻譯水平上調UTX,但這種調控在STING敲除的NK細胞中受到明顯的抑制(Fig. 6C, D)。在cGAS或STING抑制劑處理的NK細胞中過表UTX可以顯著回補激活的NK細胞占比,反之亦然(Fig. 6E-H)。
綜上,作者驗證了Mn2+依賴的cGAS-STING-UTX通路調控NK細胞激活的機制。

Fig. 5. Mn2+通過NK細胞固有的cGAS-STING途徑激活NK細胞

Fig. 6. Mn2+通過STING誘導UTX表達進而激活NK細胞
參考文獻:
[1]. Hooy RM, Massaccesi G, Rousseau KE, Chattergoon MA, Sohn J. Allosteric coupling between Mn2+ and dsDNA controls the catalytic efficiency and fidelity of cGAS. Nucleic Acids Res. 2020;48(8):4435-4447.
[2]. Wang C, Guan Y, Lv M, et al. Manganese increases the sensitivity of the cGAS-STING pathway for double-stranded DNA and is required for the host defense against DNA viruses. Immunity. 2018;48(4).
[3]. Zhao Z, Ma Z, Wang B, Guan Y, Su X-D, Jiang Z. Mn2+ directly activates cGAS and structural analysis suggests Mn2+ induces a noncanonical catalytic synthesis of 2’3’-cGAMP. Cell Rep. 2020;32(7):108053.
[4]. Cheng MI, Li JH, Riggan L, et al. The X-linked epigenetic regulator UTX controls NK cell-intrinsic sex differences. Nat Immunol. 2023;24(5):780-791.