《細胞探險隊》旅程更新!繼 T(Jurkat、CTLL-2、MT-4、HuT-78)、 B(Raji、Daudi、Ramos、DB)淋巴細胞系、 單核-巨噬細胞系(Raw264.7、THP1、MH-S、J774A.1)、 NK細胞系(NK-92、NK-92MI、YT)、 成纖維細胞系(3T3-L1、3T6-Swiss albino、NCTC、HFF-1)、神經腫瘤細胞系(SH-SY5Y、SK-N-AS、BT325、SHG-44)、乳腺癌細胞系培養合集(MCF7、T-47D、MDA-MB-231、ZR-75-1)后,這次探索的是肝癌細胞系!緊跟《細胞探險隊》,開啟細胞培養的奇妙之旅:覆蓋上百種細胞系,積累干貨經驗和技巧,讓細胞培養不再難!
Hep G2
01 名稱
Hep G2(人肝癌細胞)
02 別稱
HEP-G2;Hep G2;HEP G2;HepG2
03 簡介
該細胞系(HepG2)源于1975年一名15歲阿根廷男性肝癌患者的腫瘤組織。該細胞能產生甲胎蛋白、白蛋白、α2-巨球蛋白等多種蛋白質,且能對人類生長激素的刺激做出反應。
04 種屬
人
05 組織來源
肝
06 生長特性
貼壁細胞
07 細胞形態
上皮細胞樣
08 應用
藥物肝毒性評估、非病毒致肝癌機制探索、代謝性肝病模型構建與機制研究

圖片來源于ATCC
09 培養條件
(1)完全培養基配方:MEM(SH30265.01)+ 10% FBS(SV30208.02)+1%雙抗(SV30010)
(2)溫度:37°C;
(3)氣相:5%CO2
10 換液頻率
2-3次/周
11 傳代周期
3-4天
12 傳代比例
1:4-1:6;建議接種密度2.0*10^4-6.0*10^4/ml
13 凍存液配方
95%完全培養基+5%DMSO(abs9187)或商品化細胞凍存液(130-129-552)
14 注意事項
(1) Hep G2細胞生長過慢甚至不生長,可將血清增加至15%-20%(不要超過20%),待細胞恢復生長速度后再將血清比例降低到10%。
(2) Hep G2細胞傳代或復蘇后有部分細胞漂浮是正常現象。細胞復蘇后貼壁時間在24h左右,漂浮細胞較多時,可增加血清比例(不超過20%)促進貼壁。
(3) Hep G2細胞在增殖過程中可能會看到有圓形細胞粘附在貼壁的單層細胞上,屬于正常現象,這些細胞可能是尚未完全貼壁或者正處于分裂期的細胞,如果細胞背景干凈無細胞碎片,可不用特殊處理。
SMMC-7721
01 名稱
SMMC-7721(人肝癌細胞)
02 別稱
SMMC7721
03 簡介
SMMC-7221是從一名50歲男性肝癌患者的手術切除標本中建立的一株人肝癌細胞系。該細胞保留了一些肝癌相關的特征,但不分泌甲胎蛋白(AFP),常用于研究肝癌的增殖、凋亡、侵襲、遷移、血管生成等惡性生物學行為。
04 種屬
人
05 組織來源
肝
06 生長特性
貼壁細胞
07 細胞形態
上皮細胞樣
08 應用
HBV基因組整合驅動肝癌的機制探索、肝癌侵襲轉移機制、肝癌診斷標志物的篩選與預后因子驗證

圖片來源于參考文獻[1]
09 培養條件
(1)完全培養基配方:RPMI-1640(SH30809.01)+10%FBS(SV30208.02)+1%雙抗(SV30010)
(2)溫度:37°C
(3)CO2:5%CO2
10 換液頻率
2-3次/周
11 傳代周期
3-4天
12 傳代比例
1:3-1:5
13 凍存液配方
90%FBS+10%DMSO(abs9187-100mL)或商品化細胞凍存液(130-129-552)
14 注意事項
(1) 部分SMMC-7721細胞在傳代多次或血清誘導下,可能表現出神經元樣分化,出現觸角狀突起。如果實驗不需要分化細胞,應注意避免此現象。
(2) SMMC-7721細胞對血清依賴性較高,無血清培養時生長緩慢且易分化,通常不建議無血清培養。若有實驗特殊需求,則需額外在無血清培養基中添加生長因子如 EGF、胰島素。
Hep3B
01 名稱
Hep 3B(人肝癌細胞)
02 別稱
Hep 3B2_1-7;Hep 3B2 ; Hep-3B
03 簡介
Hep 3B細胞是來自8歲黑人男孩的肝癌腫瘤組織。該細胞的染色體模式數目為60,在裸鼠中能致瘤, 且能產生甲胎蛋白(alpha-fetoprotein)、乙肝表面抗原(BHsAg)、白蛋白、巨球蛋白、α-抗胰蛋白酶(alphal-antitrypsin)、轉鐵蛋白等,具有廣泛的研究價值。
04 種屬
人
05 組織來源
肝細胞癌;肝
06 生長特性
貼壁細胞
07 細胞形態
上皮細胞樣
08 應用
肝癌相關基因突變功能驗證;肝癌轉移相關通路研究和體內轉移模型構建

圖片來源于中國科學院典型培養物保藏委員會細胞庫
09 培養條件
(1)完全培養基配方:MEM(含NEAA)(SH30243.01)+10% FBS(SV30208.02)+1%雙抗(SV30010)
(2)溫度:37°C
(3)培養箱氣體:95%空氣,5%CO₂
10 換液頻率
2-3次/周
11 傳代比例
1:4-1:6;建議接種密度5*10^5-8*10^5/ml
12 凍存液配方
95%完全培養基 +5%DMSO(abs9187-100mL)或商品化細胞凍存液(130-129-552)
13 注意事項
(1) Hep3B細胞含有乙型肝炎病毒(HBV),在解凍該細胞時,務必穿著個人防護裝備(PPE),必要時使用生物安全柜,避免接觸性感染,降低病毒暴露風險。
(2) Hep3B細胞在消化時極易受損,消化時間需嚴格控制,一般消化到細胞明顯回縮、間隙變大但未完全脫落時,加入完全培養基終止消化。若消化過度,可能導致細胞形態異常、生長速度減慢甚至無法繼續傳代。
(3) Hep3B細胞貼壁能力較弱,因此在遇到運輸低溫及震蕩、室溫靜置太長時間、添加的培養基或其他試劑過冷等情況時會出現明顯的細胞回縮變粗變短的現象,及時放回培養箱靜置培養后可恢復正常。
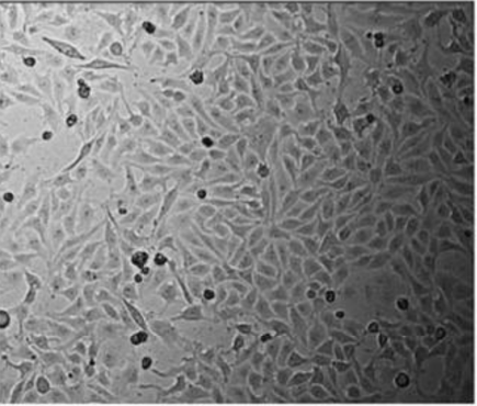
Huh-7
01 名稱
Huh-7(人肝癌細胞)
02 別稱
HuH-7;Huh7;JTC-39;Japanese Tissue Culture-39
03 簡介
Huh-7細胞是從一名 57 歲日本男性肝癌患者的肝腫瘤組織中分離獲得,目前用于體外研究丙型肝炎病毒(HCV)和登革熱病毒的細胞模型。
04 種屬
人
05 組織來源
肝臟、膽囊
06 生長特性
貼壁生長
07 細胞形態
上皮樣細胞
08 應用
HCV 病毒學研究及抗肝癌/抗 HCV 藥物研發領域研究、聚焦非HBV肝癌發病機制研究、肝癌的基因治療和免疫治療

圖片來源于中國科學院典型培養物保藏委員會細胞庫
09 培養條件
(1)完全培養基配方:DMEM高糖(SH30243.01)+10% FBS(SV30208.02)+1%雙抗(SV30010)
(2)溫度:37°C
(3)CO₂ :5%
10 換液頻率
2-3次/周
11 傳代比例
1:2-1:4
12 凍存液配方
90% 完全培養基+10% DMSO(abs9187-100mL)或商品化細胞凍存液(130-129-552)
13 注意事項
(1)Huh-7細胞有觸角/偽足,屬于正常現象,無需過度干預。
(2)Huh-7細胞中有黑色顆粒,為細胞器、細胞內囊泡或其他胞內物質,屬于細胞自身特性。背景中也有少量黑色顆粒,為細胞碎片。少量碎片不影響細胞生長,若碎片較多,可以吸走培養基后用預熱的PBS輕輕潤洗1-2遍。
(3)如有特殊實驗需求,Huh-7細胞可以進行無血清培養,會在培養基內分泌許多血清蛋白和alpha phyto蛋白。
參考資料:
ATCC官網
中國科學院典型培養物保藏委員會細胞庫
參考文獻:
[1] Wang QL, Liu BO, Li XJ, Hu KP, Zhao K, Ye XM. Inhibition of mTOR promotes hyperthermia sensitivity in SMMC-7721 human hepatocellular carcinoma cell line. Exp Ther Med. 2016;11(3):961-968. doi:10.3892/etm.2016.2979.