mTOR作為細胞內關鍵的信號傳導樞紐,參與調控細胞的多種生理過程。
MHY1485(AbMole,M9050)因能高效激活 mTOR信號通路,被廣泛用于多個研究領域中。此外,MHY1485還表現出高效的自噬抑制活性,為探索細胞代謝平衡、應激反應等機制提供了重要工具。
AbMole為全球科研客戶提供高純度、高生物活性的抑制劑、細胞因子、人源單抗、天然產物、熒光染料、多肽、靶點蛋白、化合物庫、抗生素等科研試劑,全球大量文獻專利引用。
一、MHY1485的作用機理
mTOR(哺乳動物雷帕霉素靶蛋白)是細胞中一個關鍵的激酶,mTOR整合細胞內外的營養、能量、生長因子等信號,調控包括蛋白質合成、代謝、細胞生長增殖在內的許多重要生命過程。mTOR一般以復合物的形式發揮功能,在哺乳動物細胞內主要有兩種mTOR蛋白,即mTORC1和mTORC2。
MHY1485(AbMole,M9050)主要作用于mTORC1,并對mTORC1表現出較強的激動活性
[1]。研究表明,MHY1485能夠顯著增加mTOR在Ser2448位點的磷酸化水平,并上調其下游靶蛋白4E-BP1的磷酸化
[2]。MHY1485還是一種被廣泛使用的自噬抑制劑。在細胞的自噬過程中,自噬體需與溶酶體融合形成自噬-溶酶體,才能降解其所包裹的物質。MHY1485 能夠抑制這一融合過程,使自噬體無法與溶酶體正常結合。另外一方面,由MHY1485激活的mTORC1也會抑制其下游自噬相關蛋白的活性,如抑制 ULK1(UNC-51 樣激酶 1)復合體的活性,從而阻礙自噬的起始過程
[3]。
二、MHY1485的科研應用
1. MHY1485在干細胞和類器官研究的應用
在體外細胞實驗中,
MHY1485(AbMole,M9050)被用于探索mTOR通路對細胞增殖、分化及代謝的影響。例如MHY1485(1-10 μM)在成肌細胞模型中可通過激活mTORC1促進肌管形成,上調肌細胞分化相關基因(如 MyoD、MyoG)的表達,揭示mTORC1在肌細胞發育中的正向調控作用
[4]。在腦類器官的培養中,短期的MHY1485(1-5 μM)處理可促進細胞的增殖并誘導細胞分化,長期處理則有助于腦類器官的成型,提示 mTOR通路的調節對于神經干細胞的分化和腦類器官的培養至關重要
[5]。MHY1485還可用于腸道類器官的培養,例如MHY1485能夠增加SLC7A5基因敲除小鼠腸道類器官中pS6的水平,使其與野生型小鼠腸道類器官相似,這表明MHY1485可以通過激活mTORC1信號通路,調節腸道類器官的生長和發育
[6]。
圖 1. MHY1485用于腦類器官的長期培養[5]
2. MHY1485調節細胞代謝
mTOR通路的核心功能之一是調節細胞的代謝。
MHY1485(AbMole,M9050)作為mTOR的激動劑,在多種組織和細胞的代謝調節中有著重要的研究應用。例如研究人員使用MHY1485(2 μM)處理3T3-L1脂肪細胞,發現MHY1485影響了細胞的脂質代謝
[7]。此外,MHY1485還可增強腫瘤細胞的葡萄糖攝取和乳酸生成,說明MHY1485還可調節腫瘤細胞的能量代謝
[8]。在另一項研究中,實驗人員使用MHY1485(10 μM)處理C2C12肌管細胞,以評估mTORC1激活對細胞代謝和胰島素敏感性的影響
[9]。
3. MHY1485用于細胞自噬的研究
MHY1485(AbMole,M9050)還對細胞自噬表現出抑制效應。在一項研究中,使用HepG2細胞系構建了阿霉素(DOX)耐受的細胞模型。實驗結果顯示,MHY1485能夠顯著抑制自噬相關蛋白LC3A的表達,并影響ULK1的磷酸化水平,從而抑制自噬,進而增強細胞對阿霉素的敏感性
[10]。在對血管性癡呆大鼠模型的研究中,實驗人員通過永久結扎雙側頸總動脈建立該模型,隨后使用了Rapamycin(雷帕霉素)和MHY1485來研究PI3K/AKT/mTOR軸對線粒體自噬的影響。結果顯示,雷帕霉素處理的大鼠認知功能得到改善,神經元損傷和線粒體功能障礙顯著減輕;而MHY1485的加入則逆轉了雷帕霉素對凋亡的抑制,以及雷帕霉素對線粒體自噬的激活
[11]。
2014年,AbMole的兩款抑制劑分別被西班牙國家心血管研究中心和美國哥倫比亞大學用于動物體內實驗,相關科研成果發表于頂刊 Nature 和 Nature Medicine。
4. MHY1485在動物模型中的應用
MHY1485(AbMole,M9050)作為一種mTOR激活劑,在多種動物模型中展現了其在不同生理過程中的重要作用。例如有文獻探究了MHY1485對小鼠卵巢卵泡發育的影響,研究中使用了CD-1和B6D2F1品系的小鼠,發現MHY1485處理后卵巢組織中mTOR信號通路蛋白的磷酸化水平增加,卵泡發育得到促進
[12]。在非酒精性脂肪性肝炎(NASH)大鼠模型中,研究發現姜黃素(Curcumin)通過調節mTORC1-TFEB通路恢復脂滴自噬,減少脂質積累,而mTORC1激活劑MHY1485部分消除了這種效應,表明姜黃素在上述模型中的活性可能與mTORC1信號通路有關
[13]。
三、范例詳解
1. Chemical Engineering Journal 488 (2024) 151071
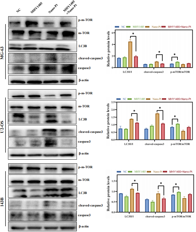
鄭州大學附屬第三醫院的科研人員在該文章中研究了新型納米鉑(Nano-Pt)在骨肉瘤中的作用及機制,通過細胞實驗(MG-63、U2-OS、143B 三種骨肉瘤細胞系)和動物模型驗證其效果。發現Nano-Pt可進入骨肉瘤細胞,顯著抑制細胞增殖、遷移和克隆形成,促進凋亡,且對正常細胞毒性較低;在裸鼠異種移植模型中,能抑制腫瘤生長,且對心、肝、脾、肺、腎等正常組織損傷較小。Nano-Pt還能通過誘導自噬增強抗腫瘤效果。由AbMole提供的
MHY1485(AbMole,M9050)作為 mTOR 激動劑,被用于驗證 Nano-Pt 通過抑制 PI3K/AKT/mTOR 通路誘導自噬的機制。實驗人員通過檢測自噬相關蛋白(如 LC3-B、P62)、凋亡相關蛋白(如 BAX、Caspase-3)的表達及凋亡流式細胞術結果,證實 MHY1485 可逆轉 Nano-Pt 對 PI3K/AKT/mTOR 通路的抑制作用,從而減弱 Nano-Pt 誘導的自噬和凋亡,反向驗證了 Nano-Pt 通過抑制上述通路發揮作用。
圖 2. MHY1485抑制骨肉瘤細胞自噬[14]
2. International immunopharmacology 142 (2024) 113196
遼寧中醫藥大學、北部戰區總醫院的科研團隊在上述論文中探討了紅景天苷(Salidroside,Sal)對 2 型糖尿病(T2DM)小鼠心房顫動(AF)的影響及機制。結果發現T2DM小鼠出現心房電生理學重構和結構變化,并且AF 易感性顯著升高,同時心房中 mTOR-STAT3-MCP-1 信號通路激活,炎癥標志物增加,單核細胞/巨噬細胞浸潤增多。Sal 可以劑量依賴性方式改善 T2DM 小鼠的心功能,減輕心房結構和電重構,減少心房炎癥;其通過下調 mTOR-STAT3-MCP-1 通路活性,降低心房單核細胞 / 巨噬細胞浸潤,從而降低 AF的易感性。來自AbMole的
MHY1485(AbMole,M9050)作為mTOR激動劑用于證實Salidroside的作用依賴于對 mTOR 通路的抑制
[15]。
圖 3. Effects of MHY1485 on mTOR-STAT3 signaling, chemokine/cytokine production as well as remodeling markers[15].
AbMole是ChemBridge中國區官方指定合作伙伴。

參考文獻及鳴謝
[1] Lin Zhu, Jun Hao, Meijuan Cheng, et al., Hyperglycemia-induced Bcl-2/Bax-mediated apoptosis of Schwann cells via mTORC1/S6K1 inhibition in diabetic peripheral neuropathy, Experimental cell research 367(2) (2018) 186-195.
[2] Y. J. Choi, Y. J. Park, J. Y. Park, et al., Inhibitory effect of mTOR activator MHY1485 on autophagy: suppression of lysosomal fusion, PloS one 7(8) (2012) e43418.
[3] Y. C. Kim, K. L. Guan, mTOR: a pharmacologic target for autophagy regulation, The Journal of clinical investigation 125(1) (2015) 25-32.
[4] Norah E. Cook, Macey R. McGovern, Toheed Zaman, et al., Effect of mTORC Agonism via MHY1485 with and without Rapamycin on C2C12 Myotube Metabolism, 25(13) (2024) 6819.
[5] S. B. Park, B. Lim, K. Y. Kim, et al., Long and Short-Term Effect of mTOR Regulation on Cerebral Organoid Growth and Differentiations, Tissue engineering and regenerative medicine 21(1) (2024) 159-169.
[6] Lingyu Bao, Liezhen Fu, Yijun Su, et al., Amino acid transporter SLC7A5 regulates cell proliferation and secretary cell differentiation and distribution in the mouse intestine, International journal of biological sciences 20(6) (2024) 2187-2201.
[7] Z. Liu, W. Liao, X. Yin, et al., Resveratrol-induced brown fat-like phenotype in 3T3-L1 adipocytes partly via mTOR pathway, Food & nutrition research 64 (2020).
[8] L. Chen, Y. Yuan, N. Zhang, et al., Activation of mTOR/HK2 signaling mitigates effects of PYCR2 depletion in colorectal cells, Tissue & cell 93 (2025) 102729.
[9] N. E. Cook, M. R. McGovern, T. Zaman, et al., Effect of mTORC Agonism via MHY1485 with and without Rapamycin on C2C12 Myotube Metabolism, International journal of molecular sciences 25(13) (2024).
[10] D. Avsec, A. T. Jakoš Djordjevič, M. Kandušer, et al., Targeting Autophagy Triggers Apoptosis and Complements the Action of Venetoclax in Chronic Lymphocytic Leukemia Cells, Cancers 13(18) (2021).
[11] M. Guo, J. Xu, S. Wang, et al., Asiaticoside reduces autophagy and improves memory in a rat model of dementia through mTOR signaling pathway regulation, Molecular medicine reports 24(3) (2021).
[12] S. Wu, Y. Wang, H. Ding, et al., The Efficacy and Safety of the mTOR Signaling Pathway Activator, MHY1485, for in vitro Activation of Human Ovarian Tissue, Frontiers in genetics 11 (2020) 603683.
[13] J. Wu, F. Guan, H. Huang, et al., Tetrahydrocurcumin ameliorates hepatic steatosis by restoring hepatocytes lipophagy through mTORC1-TFEB pathway in nonalcoholic steatohepatitis, Biomedicine & pharmacotherapy = Biomedecine & pharmacotherapie 178 (2024) 117297.
[14] Jialin Wang, Haodi Yue, Xin Huang, et al., Novel nano-platinum induces autophagy through dual pathways in the treatment of osteosarcoma in cell lines with different P53 expression patterns, Chemical Engineering Journal 488 (2024) 151071.
[15] Wenpu Ren, Yuting Huang, Shan Meng, et al., Salidroside treatment decreases the susceptibility of atrial fibrillation in diabetic mice by reducing mTOR-STAT3-MCP-1 signaling and atrial inflammation, International immunopharmacology 142 (2024) 113196.