神經細胞的研究有助于揭示大腦工作機制,為神經系統疾病的診斷、治療和藥物研發提供理論基礎,推動神經科學及相關領域發展。神經細胞主要包括神經元和神經膠質細胞兩大類。
神經元:是神經系統最基本的結構和功能單位,是中樞神經系統(CNS)和周圍神經系統(PNS)中的電興奮細胞,能夠傳送并接收電脈沖和神經化學信號以處理信息。常見標志物:

神經元示意圖
NeuN:神經元胞核蛋白,也被稱為Fox-3或RBFOX3,只在有絲分裂后的神經元中表達,主要用于神經元細胞核的標記。

abs172290 Rabbit anti-NeuN Recombinant Monoclonal Antibody(432-1)
小鼠腦組織(WB) 大鼠腦組織(IHC) 小鼠大腦皮層(IHC)
β3-微管蛋白(TUBB3):是研究中常用的神經元特異性胞內蛋白標記物。
MAP2:微管相關蛋白2,主要存在于神經元的細胞體和樹突中。
神經絲蛋白:包括160kDa神經絲中鏈、200kDa神經絲重鏈等。
突觸素(synaptophysin):是突觸小泡的標記物。
|
貨號 |
產品名稱 |
應用 |
反應種屬 |
|
Rabbit anti-NeuN Recombinant Monoclonal Antibody(432-1) |
WB/IP/IHC/IF/FCM |
Human, Mouse, Rat |
|
|
Rabbit anti-TUBB3 Polyclonal Antibody(N-term) |
WB/IHC-P/FCM |
Human, Mouse |
|
|
Mouse anti-MAP2 Monoclonal Antibody(3B5) |
IHC/ IF |
Human, Mouse, Rat |
|
|
Rabbit anti-Neurofilament H Recombinant Monoclonal Antibody(S-532-103) |
WB/IHC-P |
Human, Mouse, Rat |
神經膠質細胞:是神經組織中除神經元以外的另一大類細胞,廣泛分布于中樞和周圍神經系統,在哺乳類動物中,神經膠質細胞與神經元的細胞數量比例約為10:1。腦和脊髓的神經膠質細胞有四種,主要包括:
星形膠質細胞:是中樞神經系統中最普遍的膠質細胞類型。

abs115050 Rabbit anti-GFAP Polyclonal Antibody
小鼠腦組織(WB) U-251MG 細胞(IF)大鼠腦(IHC)
標志物:包括膠質纖維酸性蛋白(GFAP)、谷氨酰胺合成酶、S100β、ALDH1L1等。
|
貨號 |
產品名稱 |
應用 |
反應種屬 |
|
Rabbit anti-GFAP Polyclonal Antibody |
WB/IHC-P/IF/ICC |
Human, Mouse, Rat |
|
|
Mouse anti-S100B Monoclonal Antibody |
WB/IHC-P/IHC-F/ICC/IF/ELISA |
Human, Mouse, Rat |
|
|
Rabbit anti-Glutamine Synθse Polyclonal Antibody |
WB/IHC-P/IHC-F/IF/ELISA |
Human |
|
|
Rabbit anti-ALDH1L1 Monoclonal Antibody(2E9) |
WB |
Mouse, Rat |
少突膠質細胞:是一種特殊的膠質細胞類型,主要負責形成髓鞘。

abs159592 Rabbit anti-MOG Monoclonal Antibody(4K8)
大鼠腦組織(WB) SHSY5Y(IF)
標志物:包括髓鞘少突膠質細胞糖蛋白(MOG)、髓鞘相關糖蛋白(MAG)、髓鞘堿性蛋白(MBP)、Olig2、Olig3、SOX10等。
|
貨號 |
產品名稱 |
應用 |
反應種屬 |
|
Rabbit anti-MOG Monoclonal Antibody(4K8) |
WB/IF |
Rat |
|
|
Rabbit anti-MAG Polyclonal Antibody |
WB/IHC-F/IF/ELISA/FCM |
Human, Mouse, Rat |
|
|
Rabbit anti-MBP Polyclonal Antibody |
WB/IHC-F/IF/ELISA |
Human, Mouse, Rat |
|
|
Rabbit anti-Olig2 Recombinant Monoclonal Antibody(648-155) |
IF |
Human, Mouse, Rat |
|
|
Rabbit anti-OLIG3 Polyclonal Antibody(Center) |
WB |
Human, Mouse |
|
|
Rabbit anti-SOX10 Recombinant Monoclonal Antibody(R233) |
WB/ICC/FCM |
Human, Mouse, Rat |
小膠質細胞:來源于卵黃囊,是中樞神經系統的定居巨噬細胞。

abs173681 Rabbit anti-TMEM119 Recombinant Monoclonal Antibody(S-838-46)
SH-SY5Y(WB) SH-SY5Y (ICC) SH-SY5Y(FCM)
標志物:包括TMEM119、CD11b、CD45、Iba1、CX3CR1、F4/80、CD68、CD40等。
|
貨號 |
產品名稱 |
應用 |
反應種屬 |
|
Rabbit anti-TMEM119 Recombinant Monoclonal Antibody(S-838-46) |
WB/ICC/FCM(Intra) |
Human, Mouse, Rat |
|
|
Rabbit anti-CD11b Recombinant Monoclonal Antibody(058-44) |
WB/IP/ IHC-P |
Human |
|
|
Rabbit anti-CD45 Recombinant Monoclonal Antibody(R035) |
WB/ IHC-P |
Human |
|
|
Rabbit anti-Iba1 Recombinant Monoclonal Antibody(S-484-18) |
WB/ IHC-P |
Human, Mouse, Rat |
|
|
Rabbit anti-CX3CR1 Polyclonal Antibody |
WB/IHC-P/IHC-F/FCM/ELISA |
Human, Mouse, Rat |
|
|
Rabbit anti-F4/80 Recombinant Monoclonal Antibody(313-49) |
WB/ IHC-P |
Mouse, Rat |
|
|
Rabbit anti-CD68 Recombinant Monoclonal Antibody(R025) |
IHC-P |
Human |
|
|
Rabbit anti-CD40 Recombinant Monoclonal Antibody(145-45) |
WB/IP/IHC-P/FCM(Extra) |
Human |
施旺細胞:是周圍神經系統中形成髓鞘的膠質細胞。

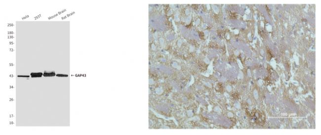
abs158408 Mouse anti-GAP43 Monoclonal Antibody(10C7)
Hela, 293T, Mouse Brain, Rat Brain(WB) Rat Brain (IHC)
標志物:包括MPZ、NCAM、GAP43、S100、P75NTR等。
|
貨號 |
產品名稱 |
應用 |
反應種屬 |
|
Rabbit anti-MPZ Polyclonal Antibody |
WB |
Human, Mouse, Rat |
|
|
Rabbit anti-NCAM1 Polyclonal Antibody |
WB/IP/ IHC-P |
Human, Mouse, Rat |
|
|
Mouse anti-GAP43 Monoclonal Antibody |
WB/ IHC |
Human, Mouse, Rat |
|
|
Rabbit anti-S100P Recombinant Monoclonal Antibody(070-44) |
IHC |
Human |
|
|
Rabbit anti-p75 NGF Receptor Recombinant Monoclonal Antibody(055-42) |
WB/IP/IHC/ICC/FCM(Intra) |
Human, Mouse, Rat |
神經干細胞:是指存在于神經系統中,具有分裂潛能和自我更新能力的母細胞群,它可以通過不對等的分裂方式產生神經組織的各類細胞。

abs131996 Rabbit anti-Vimentin Monoclonal Antibody(029-20)
SH-SY5Y(FCM) SH-SY5Y(IF)
常見標志物:包括Nestin、SOX2、CXCR4、Vimentin、NeuroD1等。
|
貨號 |
產品名稱 |
應用 |
反應種屬 |
|
Rabbit anti-Nestin Recombinant Monoclonal Antibody(R112) |
IHC-P/IF/ICC/ FCM(Intra) |
Human |
|
|
Mouse anti-SOX2 Monoclonal Antibody(57CT23.3.4) |
WB/IHC/IHC-P/IF FCM |
Human, Mouse |
|
|
Rabbit anti-CXCR4 Polyclonal Antibody |
WB/ IHC |
Human, Mouse, Rat |
|
|
Rabbit anti-Vimentin Monoclonal Antibody(029-20) |
WB/IHC/ICC |
Human, Mouse |
|
|
Rabbit anti-NeuroD1 Polyclonal Antibody |
WB/IHC-P/IHC-F/IF/ICC/ ELISA |
Mouse, Rat |