SLIDEVIEW VS-M1與VS200組合方案助力應對數智病理轉型
瀏覽次數:620 發布日期:2025-6-19
來源:本站 僅供參考,謝絕轉載,否則責任自負
面對數智病理轉型的荊棘之路,EVIDENT SLIDEVIEW系列化身破局利劍,為您披荊斬棘!
在數字化產業轉型的浪潮奔涌之際,病理學正經歷著前所未有的革新機遇。奧偉登(Evident)憑借百年光學技術積淀,以創新科技為利刃,為病理學的數智化發展開辟全新道路!從智能顯微成像系統到 AI 輔助診斷平臺,從數字化管理到云端病理協作,每一項技術突破都在重構病理學研究與臨床診斷的邊界。當微米級的光學精度邂逅數智化的算力引擎,我們正攜手病理學家們,在細胞與數據的交織中開辟全新賽道,讓百年光學智慧在數字時代煥發新生,為病理學科的智能化躍遷筑起從技術到應用的完整橋梁。
全景數字玻片掃描系統作為病理玻片數智化的第一站,扮演著至關重要的角色。它不僅改變了傳統病理學的工作模式,更為后續的人工智能分析、遠程咨詢及科研大數據管理奠定了堅實基礎。如何獲取高質量的、可驗證的數字全景成像與高效的工作流程成為轉型的關鍵。奧偉登(Evident)推出針對數字病理的 “黃金雙槍組合”:全景玻片掃描系統SLIDEVIEW VS-M1與SLIDEVIEW VS200,助力客戶輕松應對明場、暗場、熒光和偏光等不同掃描成像的需求。
左圖:SLIDEVIEW VS-M1;右圖:SLIDEVIEW VS200
我們深刻理解數字病理成像所面臨的多重挑戰:
- 日益增長的掃描需求
- 復雜多樣的樣本類型
- 可經驗證的流程質控
- 數據孤島與系統集成
為此,奧偉登(Evident)精心打造VS-M1與VS200的組合方案,為病理學提供了更高效、更全面的解決方案。
SLIDEVIEW VS-M1
輕松掃描、自信決策
專為繁忙的病理學實驗室設計
您多年來一直信賴的光學品質如今已體現在專用玻片掃描系統中。基于病理學成像領域深厚的專業知識而打造,為組織學和細胞學樣品提供顯微鏡質量的圖像。可驗證的數字成像流程,系統化的色彩再現評估方法讓真實顏色準確再現。
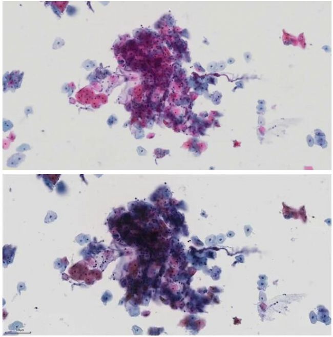
清晰捕捉細胞學樣品的圖像
上圖:SLIDEVIEW VS-M1;下圖:其他領軍品牌
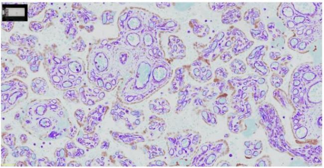
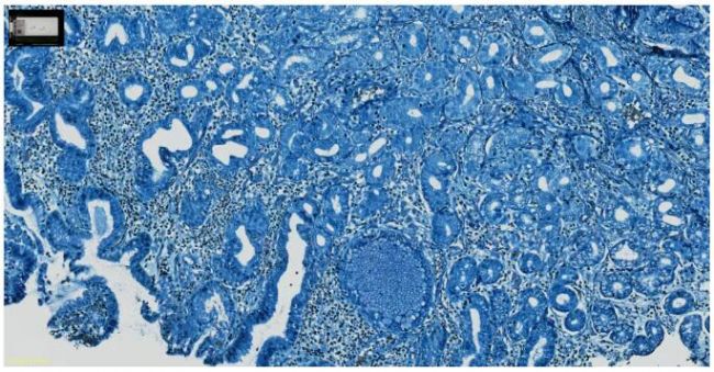
清晰捕捉各種組織和染色的細節
胃組織,H&E(蘇木素和伊紅)染色
胎盤波形蛋白(Vimentin)的免疫組化染色(IHC)
人類結腸組織,Warthin-Starry(WS)染色
胃組織,Giemsa染色
系統最多可同時容納150張玻片,每小時可掃描80多張,加快了實驗室的數字化處理過程。連續裝載功能可在掃描儀運行時更換托架(每個托架可容納30張玻片),還可在批量掃描過程中插入需要緊急處理的玻片,進一步提高檢測通量。
可與您現有的實驗室信息系統輕松集成。 DICOM格式與現有基于PACS或基于DICOM的圖像管理系統兼容。
SLIDEVIEW VS200
每張玻片、每個細節、每種可能
充分釋放樣本潛能的應用多面手
通過五種成像模式為病理學樣本提供了廣泛的應用可能。使用偏光模式觀察淀粉樣蛋白樣本中的晶體結構、掃描熒光染色的樣本進行FISH分析或免疫腫瘤學分析等。

系統支持多種類型、尺寸和染色方式的玻片。系統可自動識別不同格式的玻片并在同一批次中進行掃描,從而提高了檢測效率和處理通量。
通過可選配Net Image Server(網絡圖像服務器, NIS)SQL數據庫,可在任何地方管理大型圖像文件。通過我們基于網絡的圖像查看器OlyVIA存儲圖像并安全共享。
結語
全景數字玻片掃描系統不僅是病理數智化的技術起點,更是推動精準醫療落地的戰略支點。隨著AI與5G技術的深度融合,其作為"數字基座"的價值將進一步凸顯。
奧偉登( Evident)的SLIDEVIEW系列掃描系統,以卓越成像質量、智能工作流設計與開放生態兼容性,助力病理學高效完成數智化升級,擁抱精準醫學的未來!
說明:在中國,SLIDEVIEW VS-M1和SLIDEVIEW VS200 目前僅供研究使用。
更多精彩內容,敬請關注我們的視頻號: