在環境污染物研究領域,納米塑料(NPs)與持久性有機污染物的復合毒性一直是科學家關注的焦點。近期,華南農業大學王俊團隊在環境科學頂級期刊《Journal of Hazardous Materials》(中科院1區,IF=12.2)發表重要研究成果,揭示了納米塑料與6:2氯化多氟醚磺酸鹽(F53B)在天然有機物(NOM)存在下的協同毒性效應。值得一提的是,該研究全程采用明美光電數字切片掃描系統MDS4完成組織病理學成像分析,為結論提供了高精度可視化支持!

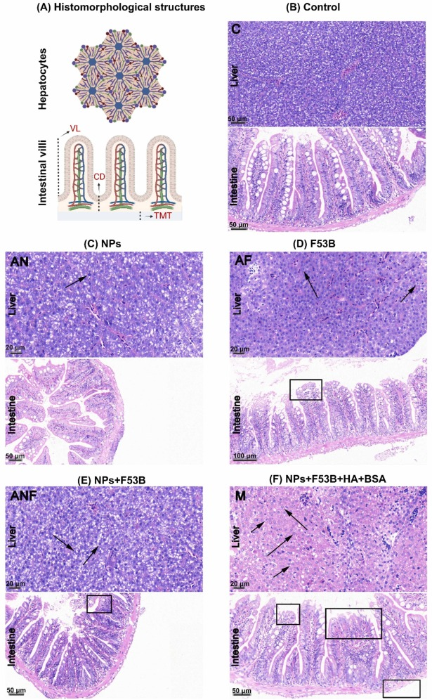
肝臟:空泡化、細胞核濃縮
腸道:絨毛融合、隱窩深度降低
圖1 成年斑馬魚的肝臟和腸道組織于長期暴露于不同處理組21天后的組織病理學變化。(A) 肝細胞和腸絨毛的組織形態結構示意圖;(B)對照組-C;(C) 1 mg/L NPs-AN;(D) 200μg/L F53B-AF;(E) 1 mg/L NPs+ 200 μg/L F53B -ANF;(F) 1mg/L NPs + 200μg/L F53B + 10mg/L HA + 10mg/L BSA-M。其中VL為絨毛長度,CD為隱窩深度,TMT為肌層厚度,黑色箭頭表示肝細胞核收縮,黑框表示腸絨毛萎縮。
多維度毒性機制解析
氧化應激:M組(NPs+F53B+NOM)MDA水平顯著升高,T-AOC降低
基因調控:炎癥相關基因(如il1b)上調,免疫抑制基因(如nfkbiaa)下調
腸道菌群失衡:致病菌(如Clostridium)豐度增加
轉錄組學驗證
明美MDS4輔助的病理結果與轉錄組數據高度吻合,證實NOM通過激活AMPK/PPAR信號通路加劇毒性。
為什么選擇明美MDS4?科研級設備的硬核實力
本研究的關鍵病理數據均依賴明美數字切片掃描系統MDS4完成,產品優勢如下:

明美光電始終致力于為生命科學與醫療檢測提供高端顯微成像解決方案。本次華南農業大學的研究成果,再次驗證了明美設備在復雜毒性機制研究中的價值:
應用場景:環境毒理、病理學、微生物生態
技術延伸:MDS4兼容熒光、明場等多模態成像,適配前沿課題需求
未來,我們將繼續攜手科研工作者,用精準影像技術揭示微觀世界的奧秘!