EVIDENT助力揭示少突膠質前體細胞調控免疫反應及硬化癥脫髓鞘新機制
瀏覽次數:1066 發布日期:2025-4-3
來源:本站 僅供參考,謝絕轉載,否則責任自負

2025年4月2日,由陸軍軍醫大學牛建欽教授、萬瑛教授與中山大學附屬第七醫院易陳菊研究員聯合帶領的研究團隊在Science translational medicine上發表題為“Oligodendroglial precursor cells modulate immune response and early demyelination in a murine model of multiple sclerosis”的研究論文,首次揭示了少突膠質前體細胞(Oligodendrocyte precursor cell, OPC)在多發性硬化(Multiple Sclerosis, MS)早期病理過程中觸發免疫反應級聯激活,并導致快速脫髓鞘的新機制。

MS是一種以中樞神經系統脫髓鞘為核心病理特征的自身免疫性疾病,全球患者超280萬。其典型表現為免疫細胞異常浸潤引發的神經髓鞘損傷、軸突退化甚至不可逆的神經功能障礙(1)。盡管現有療法可延緩疾病進展,但早期病理機制不明、缺乏特異性干預靶點仍是臨床面臨的重大挑戰。陸軍軍醫大學牛建欽教授團隊前期研究發現,MS患者腦內OPC存在Wnt信號通路異常激活現象,且其病理復雜性遠超小鼠模型,但此類病理性OPC如何驅動疾病進展尚不清楚(2, 3)。近日,研究團隊在Science translational medicine發表論文揭示:MS病理條件下,OPC的Wnt信號過度激活,分泌趨化因子CCL4,招募外周CD4⁺ T細胞浸潤中樞神經系統,并與高Wnt信號通路的OPC協同作用,誘導外周巨噬細胞轉化為細胞毒性巨噬細胞亞群,導致病程早期的快速脫髓鞘反應。更關鍵的是,團隊利用臨床已獲批的CCR5拮抗劑馬拉韋羅(Maraviroc, MVC)成功阻斷該病理性級聯反應,為MS早期干預提供了全新策略。
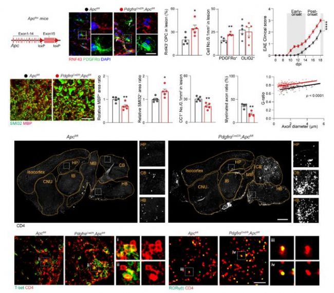
研究團隊通過構建OPC特異性Wnt通路激活小鼠(PdgfraCreER;Apcfl/fl),發現實驗性自身免疫性腦脊髓炎(experimental autoimmune encephalomyelitis, EAE)模型癥狀大大加重,并且脫髓鞘損傷從脊髓擴展至腦,模擬真實MS患者病理特點(圖1)。相反,敲除OPC(PdgfraCreER;DTA小鼠)則大大緩解疾病進程。這表明,Wnt過度激活的OPC是MS病理的關鍵驅動因素。
圖1. Wnt過度激活的OPC導致MS疾病模型病理加重
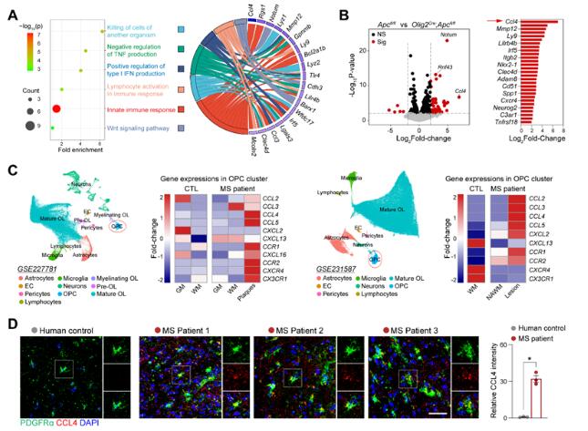
通過RNA-seq測序、MS單細胞數據庫分析與免疫染色,研究團隊發現Wnt激活的OPC高表達趨化因子CCL4,而人類MS患者的白質病灶OPC中同樣存在CCL4異常上調(圖2)。值得注意的是,特異性敲除Ccl4基因可大大減少免疫細胞浸潤并緩解脫髓鞘,提示靶向CCL4通路或為治療突破口。
圖2. MS中Wnt過度激活的OPC高度表達分泌趨化因子CCL4
尤為關鍵的是,研究團隊通過高維流式分析及雙熒光報告小鼠鑒定出一類共表達NK1.1、CD11b和Gr-1的細胞毒性巨噬細胞亞群(cMacrophages)(圖3)。這類細胞不僅高表達促炎因子(如TNFα、IL-18),還能直接誘導OPC凋亡和髓鞘破壞。
圖3. 免疫染色顯示cMacrophages為外周來源巨噬細胞轉化
研究進一步揭示,cMacrophages并非外周直接浸潤,CD4⁺ T細胞(尤其Th1亞型)是cMacrophages活化的“關鍵推手”。通過基因敲除或抗體清除CD4⁺ T細胞,可大大減少cMacrophages數量并緩解EAE癥狀。共培養實驗進一步證實,高Wnt信號通路的OPC與Th1細胞協調作用,強力促進巨噬細胞向毒性表型轉化,其效率遠超Th1的直接作用。更值得注意的是,cMacrophages和Th1分泌的TNFα可反向激活OPC內Wnt信號,形成“OPC-免疫細胞”互作的正反饋環路,持續加劇病程進展。
基于上述機制,研究團隊測試了臨床已用于HIV治療的CCR5拮抗劑MVC。結果顯示,該藥物可有效阻斷CCL4-CCR5信號軸,減少免疫細胞浸潤,大大延緩EAE疾病進展。同時,馬拉韋羅的治療劑量與臨床現有方案高度匹配,具備快速轉化的潛力。
綜上所述,該研究首次闡明了OPC作為免疫反應調節細胞的全新功能,發現了OPC通過Wnt信號激活并分泌趨化因子CCL4的機制,揭示了T細胞與cMacrophage協同作用于早期脫髓鞘損傷的具體細胞與分子機制,為多發性硬化癥的早期干預治療提供了新的理論基礎和潛在藥物靶點。
神經科學研究者需要對從單個細胞到整體組織、大腦、表層和深層區域進行詳細觀察。本研究中組織樣本顯微圖像使用Evident的研究級全玻片掃描系統VS200拍攝。VS200可以對整個樣本進行高速高分辨率全景掃描,以此取代對標本多個區域分別進行成像,便于科研工作者從宏觀到微觀對標本進行觀察研究。Evident現已推出全新SLIDEVIEW VS200 SILA超快光學層切全景掃描系統。
SLIDEVIEW VS200 SILA超快光學層切全景掃描系統
本研究中OPC、免疫細胞及其相關表達分子的共聚焦成像使用Evident超分辨顯微系統IXplore SpinSR采集, SpinSR 超分辨顯微鏡系統通過采用雙轉盤設計,具有超高分辨率(120nm)、快速成像(200fps)、多模式(寬場、共聚焦和超分辨率模式、)輕松切換等功能,極大的提高了科研工作者的工作效率。
超分辨轉盤共聚焦顯微成像系統SpinSR
本研究的第一作者為中山大學附屬第七醫院助理研究員王琪。陸軍軍醫大學牛建欽教授(Lead Contact)、中山大學附屬第七醫院易陳菊研究員和陸軍軍醫大學萬瑛教授為通訊作者。
參考文獻
1. K. E. Attfield, L. T. Jensen, M. Kaufmann, M. A. Friese, L. Fugger, The immunology of multiple sclerosis. Nat Rev Immunol 22, 734-750 (2022).
2. J. Niu et al., Aberrant oligodendroglial-vascular interactions disrupt the blood-brain barrier, triggering CNS inflammation. Nat Neurosci 22, 709-718 (2019).
3.J. Niu et al., Oligodendroglial ring finger protein Rnf43 is an essential injury-specific regulator of oligodendrocyte maturation. Neuron 109, 3104-3118 e3106 (2021).
文中數據圖像來自論文。
更多精彩內容,敬請關注我們的視頻號: