癌癥研究:提取未稀釋的癌組織進行DNA突變分析

DNA 突變導致異常蛋白質或缺失功能蛋白質,這可能導致細胞不受控制地增殖并變得癌變。為了找到并理解特定癌癥類型的潛在突變,提取純腫瘤材料是極其重要的。這尤其具有挑戰性,特別是當只有有限數量的癌性組織可用時(例如小轉移)。激光顯微切割允許提取純粹的癌性組織,而不會用健康細胞污染您的樣本。DNA 測序將導致有效且可重復的結果,幫助輕松識別致癌的 DNA 突變,因為不會被污染的健康細胞掩蓋。
精確到單細胞的 DNA 變異分析工作流程
徠卡的激光顯微切割系統將通過精確切割您感興趣的細胞來改善您的工作流程。每一步都在視覺控制下進行,并且不會與周圍組織污染。
DNA 分析工作流程 - 步驟

01.樣品準備
通常,激光顯微切割使用特殊的基于膜的載玻片。LMD的樣本準備是簡單的,可以從經典的組織學準備中得出。
石蠟包埋將組織樣本帶入可以切成薄片的狀態。或者,您可以利用冷凍切片來準備您的載玻片。如果有新鮮的癌組織可用,您應該優先選擇冷凍切片以保護核酸不被降解。
我們將為您的應用提供合適的LMD載玻片。
02.固定和染色
一般來說,可以使用石蠟切片或冷凍切片。這里我們將概述冷凍切片的使用。
樣本切片應在冷凍切片后立即用丙酮、乙醇或乙醇和醋酸的混合物固定和染色。
H&E 是一種常見的組織學染色,其中蘇木精染色細胞核,伊紅染色細胞質。
H&E 染色適用于石蠟切片和冷凍切片。

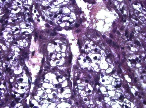
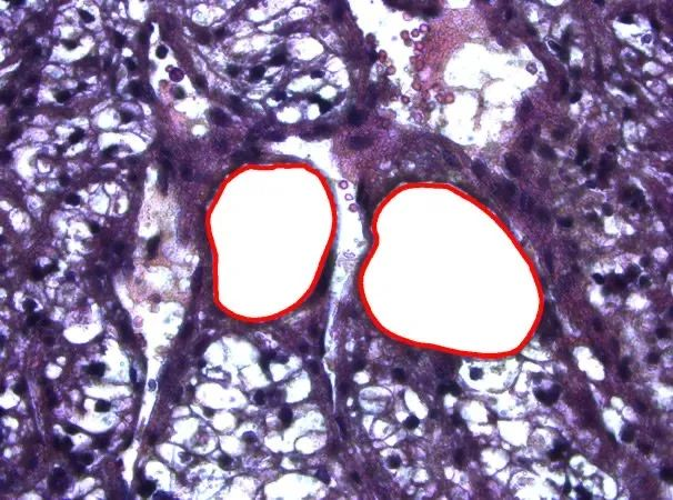
03.可視化和 ROI 定義
徠卡 LMD激光顯微切割系統可以生成自動樣本概覽,便于輕松導航到您的感興趣區域 (ROI)。
您的 ROI 可以通過 AVC 軟件模塊自動識別和標記,或者您可以手動應用形狀。
關于徠卡 LMD 激光顯微切割系統的更多信息
關于徠卡 LMD 激光顯微切割應用軟件的更多信息
激光顯微切割文章與教程

04.激光顯微切割
接下來,定義的感興趣區域(ROIs)在視覺控制下被激光精確切割,并通過重力直接收集。視覺控制的切除可以防止腫瘤材料與健康細胞混合,從而扭曲結果。通過重力收集允許使用標準、經濟實惠的 耗材,如 PCR 管或 8 條管。
此外,您可以使用“移動和切割”工具直接在飛行中切割樣本,而無需任何預定義形狀。
我們提供適合您符合需求的LMD激光顯微切割系統。

05.DNA提取
徠卡顯微系統推薦使用高質量的 QIAGEN 試劑盒(QIAamp® DNA Micro Kit)用于核酸的制備。
它們可以立即用于下游應用,如 PCR、測序、定量實時 PCR,或者可以在-20°C 下存儲,直到需要時使用。
06.DNA突變分析
DNA 突變分析是通過下一代測序(NGS)進行的。
其他技術如焦磷酸測序或經典的 DNA 桑格測序也適用。
典型的研究領域
典型的研究領域
參考文獻:
1.Shen et al., Nature, 2018, doi: 10.1038/s41586-018-0703-0
2.Makohon-Moore et al., Nature, 2018, doi: 10.1038/s41586-018-0481-8
3.Untch et al., CancerRes, 2018, doi: 10.1158/0008-5472.CAN-17-1925
4.Huang et al. Nanotheranostics (2018)
了解更多:徠卡顯微