切片掃描儀助慢性酒精對小鼠空間記憶及海馬區信號通路影響的研究
瀏覽次數:1162 發布日期:2024-7-16
來源:本站 僅供參考,謝絕轉載,否則責任自負
OCUS切片掃描儀助力慢性酒精暴露對小鼠空間記憶及海馬區信號通路影響的研究
酒精作為一種廣泛使用的精神活性物質,其嚴重濫用已成為全球共同面臨的重大公共衛生難題。諸多研究表明,長期飲酒與認知功能下降,特別是學習和記憶能力的損害密切相關。這些認知障礙與大腦中海馬區的結構和功能變化有著直接聯系。海馬區是與學習和記憶密切相關的大腦區域,而腦源性神經營養因子(Brain-derived neurotrophic factor,BDNF)及其信號通路在調節海馬區的突觸可塑性、神經元存活和記憶形成扮演著關鍵角色。
來自徐州醫科大學法醫學系蔡紅星教授團隊于2023年5月在《Heliyon》上發表了題為“The effect of chronic alcohol exposure on spatial memory and BDNF–TrkB- PLCγ1 signaling in the hippocampus of male and female mice”,文章根據BDNF在神經可塑性和記憶形成的重要性,以及酒精濫用對這些過程可能產生的負面影響,著重探討了慢性酒精暴露對雄性和雌性小鼠空間記憶能力的影響,以及在這一過程中海馬區內BDNF、其受體原肌球蛋白相關激酶B(Tropomyosin-related kinase B,TrkB)和下游信號分子磷脂酶Cγ1(Phospholipase Cγ1,PL Cγ1),即BDNF- TrkB- PL Cγ1信號通路的表達變化。
本研究中,酒精暴露后兩性小鼠的肝組織H&E石蠟切片和海馬區IHC石蠟切片,均由芬蘭Grundium公司的Ocus便攜式數字病理切片顯微掃描成像系統完成。
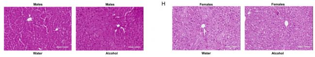
圖1 間歇性20%酒精攝入的小鼠肝組織中H&E染色圖片(左雄性小鼠,右雌性小鼠)
研究人員發現,與水系對照組相比,間歇性20%酒精攝入后雄性和雌性小鼠的肝臟組織均未發生明顯改變(如圖1所示)。
圖2 長期飲酒后雄性小鼠海馬區IHC染色圖片(BDNF、TrkB、p-PLCγ1、PLCγ1)
圖3 長期飲酒后雌性小鼠海馬區IHC染色圖片(BDNF、TrkB、p-PLCγ1、PLCγ1)
結合Western blot和兩性小鼠海馬區IHC(圖2、3)的實驗結果,與水系對照組相比,可以發現長期飲酒后,酒精組雄性小鼠海馬區BDNF表達明顯上升,而雌性小鼠BDNF的表達則有所下降,TrkB和PLCγ1的表達在兩性小鼠中沒有顯著變化。
進一步研究表明,慢性酒精暴露會引起小鼠空間記憶損害,并在海馬區BDNF-TrkB-PLCγ1信號通路的表達上存在性別差異。對酒精如何影響兩性小鼠空間記憶和相關神經生物學機制,研究結果提出了更深入的見解,為未來酒精引起記憶損害的預防和治療策略提供了科學依據。
芬蘭Grundium公司自主研發和生產了全球領先的便攜式數字病理掃描顯微成像系統--Ocus。設備具有雙層可移動載物臺,根據自動圈選的區域,結合專利的軟件算法采取螺旋路徑等非直線掃描模式,快速完成掃描。Ocus每個視野獨立自動對焦,可有效避免切片厚薄不均導致的圖像問題,且采集的圖片自動無縫拼接生成超高清圖片,不遺漏任何有價值的信息。Ocus的訪問和操作均采用瀏覽器模式,通過有線、無線或自帶熱點的鏈接,無需安裝額外的軟件或app,通過手機、Pad或電腦即可實現儀器的訪問和操控。
環亞生物,生命科學產品全國性代理商,不斷把國外頂級的創新產品引入國內。APG BIO具備完善的公司運營、產品管理、營銷、售前技術支持和售后維修體系。APG BIO作為Grundium大中華區獨家代理商,負責Grundium產品大中華區的營銷和售后支持。
更多資訊請訪問文獻全文鏈接:
https://doi.org/10.1016/j.heliyon.2023.e16660
▼更多
OCUS 產品詳情,請聯系我們▼
環亞生物科技有限公司
地址:上海市松江區莘磚公路518號9幢502室
電話:021-54583565
郵箱:
info@apgbio.com
網址:
www.apgbio.com
▼更多精彩內容,請掃碼關注我們▼
