引言
自 1895 年倫琴發明 X 射線以來,非侵入性成像技術在診斷醫學領域產生了深遠的影響。20 世紀 80 年代,Jim Elliott 開發了顯微 CT,最初用于實驗性牙髓研究。隨著顯微技術的不斷發展,憑借其非破壞性 3D 分析的特點,顯微 CT 已成為硬組織研究領域的一項重要工具。它在各種牙科領域得到了廣泛應用,對相關主題的研究也在逐步增加。本文我們簡要為大家分享顯微 CT 無損成像技術在牙科研究中的應用。
顯微 CT 技術在牙科領域的應用領域涵蓋了組織工程、用于有限元分析的真實數據識別、確定牙齒中的礦物質濃度,以及人類學研究中牙釉質厚度、顱面骨結構和發育的測量,同時也應用于牙髓研究,用于評估種植體和周圍骨(見下圖)。顯微 CT 為牙髓研究提供了巨大便利,尤其是在識別牙根管形態、檢查根管準備情況、評估填充物,并能在治療后進行檢查方面發揮著重要作用。

顯微 CT 在牙科中的應用
01 組織工程學
組織工程研究的主要目標是在實驗室中構建生物合成器官,以替代患病或損傷的組織。近年來,顯微 CT 在組織工程結構支架的研究中扮演重要角色,主要用于表征結構支架的構造、體外結構支架的破壞模式以及聚合物和磷酸鈣結構支架中的骨生長。在檢查結構支架的破壞過程中,它能清晰顯示材料完全喪失的位置,這對于評估結構變化至關重要。簡言之,顯微CT 可用于研究新生組織的獲取和損失組織的確定。
在牙槽突裂治療方面,顯微 CT 進行了ɛ-caprolactone(金標準)、自體移植物以及添加到新濃縮膠原中的磷酸三鈣聚合物的比較研究。研究結果顯示,自體移植物具有最佳的成骨效果,而新開發的材料則展現出與這一標準組相近的效果,添加到膠原蛋白中的磷酸三鈣聚合物可以作為組織支架的可行選擇。

顯微 CT 觀察新骨形成。(A):0 周標本顯示,骨缺損邊緣清晰、銳利。(B):術后 4 周標本顯示,骨缺損區有新骨生成,成骨量約為原骨缺損的一半,骨缺損區邊緣圓鈍。(C):術后 8 周示骨缺損區有大部分新骨形成,與原牙槽嘴水平相比,僅有輕度凹陷。圖片來源于文獻 [1].
02 有限元法(FEM)分析數據學
近年來,有限元建模(FEM)已經成為一種廣泛用于生物力學和物理事件分析的技術。顯微 CT 可用于形成牙齒、種植體和牙齒修復體等小物體的有限元模型。

工況中牙本質 Von mises 應力分布云圖,圖片來源于文獻 [2].

牙齒有限元分析,圖片來源于網絡
03 顱面骨的生長發育
顯微 CT 無損成像可用于顱面骨生長發育的評估。這種方法的獨特性質和更廣泛的用途使其成為測量骨結構的新黃金標準技術。顯微 CT 成像已用于評估嚙齒動物頜骨中牙槽骨重塑、牙周膜厚度變化以及皮質骨和小梁骨變化。


大鼠牙槽骨顯微 CT 二維圖像(上圖)。大鼠牙槽骨顯微 CT三維圖像(下圖) , 三維重建圖像直觀地反映大鼠牙槽骨骨小梁的改變,圖片來源于文獻 [3].
04 牙齒中礦物質濃度的測定
牙齒組織的礦物質濃度可以用化學分析或接觸顯微放射照相法來測量。然而,這些方法是耗時的過程,并且對組織造成不可逆的損傷。利用顯微 CT 可以在不損傷組織的情況下,通過靈敏的測量來確定礦物質濃度。由于該應用中的切片厚度取決于X射線束的大小,因此可以獲得比其他方法更精細的切片(如下圖)。
顯微 CT 提供了被掃描物體的完整的三維結構,且 X 射線不透性很好地對應于礦物密度,非常適合檢測齲齒病變的脫礦性質。

用顯微 CT 方法檢測,顯示礦物質濃度,圖片來源于文獻 [4]
05 釉質厚度的測量
人類學研究中常用的釉質厚度測定方法之一是切片測量,然而這種方法會對樣品造成無法逆轉的損傷。針對化石樣本切割導致的損失,該領域需要一種全新的技術。螺旋 CT 雖然可行,但分辨率低,無法提供高質量圖像,因此已被淘汰。顯微 CT 在測量釉質厚度方面具備所需的高靈敏度,同時又不會對樣品造成不可逆損傷。使用這一技術,不僅能確定牙釉質厚度,還可以測量牙釉質、牙本質和牙髓的體積。

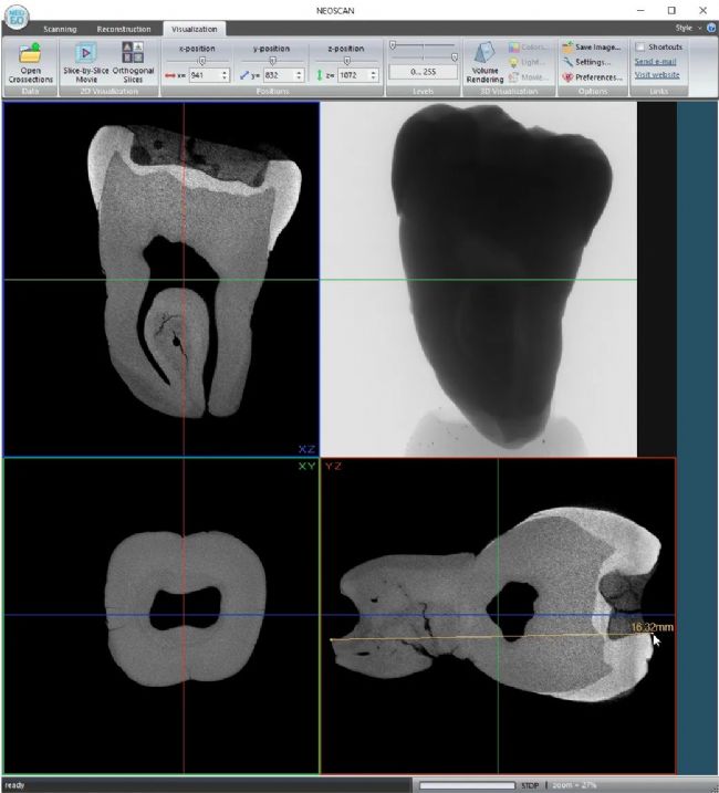
使用 NEOSCAN 臺式高分辨顯微 CT 以 9.8 μm 像素大小掃描一顆臼齒,顯示牙本質和牙釉質中存在裂紋,填充材料被腐蝕。
06 牙髓研究
牙齒解剖成像的最新技術已經采用了多種非侵入性成像方法。這些方法使樣本可用于其他研究或為先進治療程序提供控制。
傳統的臨床射線攝影只提供二維信息,缺乏牙齒 X 光的 3D 視角。傳統 CT 中的厚切片會降低分辨率,圖像質量有限。相比之下,顯微 CT 掃描提供豐富信息,切片可在多個平面重建,數據可呈現為 2D 或 3D 圖像,內外解剖結構可同時或分別顯示,并可進行定性和定量評估,顯微 CT 在牙髓病學中已成為硬組織成像的關鍵工具。


顯微 CT 掃描牙齒根管,可視化根管內部詳情,圖片來源于文獻 [4]
07 小結
隨著數字成像技術的進步,顯微 CT 在多個領域,尤其是牙科研究中得到廣泛應用。具體應用包括但不限于:
1. 觀察正畸牙齒移動過程中骨骼變化,評估不同方法、力模型或藥物的效果。
2. 確定牙槽骨形態和礦物質濃度,觀察外科手術材料或方法對愈合過程的影響。
3. 測量全身活動(如營養、藥物等)對牙槽骨的影響。
4. 比較不同骨丟失情況(如牙周炎、根尖周病變)、治療方法和療程的影響。
5. 通過評估種植體穩定性來確定骨整合情況,比較不同種植體材料和組合物的效果。
6. 通過礦物質濃度測量不同病變的脫礦質率。
7. 比較牙釉質和牙本質修復中不同處理方法和材料對再礦化的影響。
8. 在牙髓學中,對根管進行詳細成像,包括確定根管形態和再治療過程中的各個階段。
相較于其他檢測方法,顯微 CT 不僅節省時間,而且不會對樣品造成永久性損傷,且因其三維成像能力、安全性以及高分辨特性,使其成為牙科研究的首選檢測手段。
關于 CT 與顯微 CT 的區別
CT 和顯微 CT 的基本區別可以通過兩個點來區分:
一是光源大小:CT 為 1mm,顯微 CT 為 5-10 μm。顯微 CT 的更小光源減少了半影,使圖像更清晰。
二是工作方式:在 CT 中,X 射線源圍繞檢測樣品旋轉以形成圖像,而在顯微 CT 中,X 射線源靜止,樣品本身旋轉。穩定的 X 射線源減少了機械振動,提高了圖像分辨率。

顯微 CT 成像的示意圖
參考文獻
[1] 許悅;陳振琦;吳軍;李壬媚;劉廣鵬. SD大鼠人造牙槽突骨缺損自愈率的顯微CT評價 [J]. 中國口腔頜面外科雜志, 2011, 9(2): 126-129.
[2] 杜珊珊.不同復合樹脂修復下頜第一前磨牙多類型楔狀缺損的三維有限元分析[J].浙江臨床醫學,2020,(4):538-540.
[3] 代慶剛, 房兵, 張鵬, 等. 不同去勢時間大鼠牙槽骨微結構變化的 Micro-CT 研究[J]. 上海口腔醫學, 2014, 23(6): 641.
[4] Erpaçal, B., Adıgüzel, Özkan, & Cangül, S. (2019). The use of micro-computed tomography in dental applications. International Dental Research, 9(2), 78–91. https://doi.org/10.5577/intdentres.2019.vol9.no2.7