采訪Penelope Zorzi
病理學家使用顯微鏡檢查樣本以發現組織和體液中存在的異常。他們的檢查發現或推論對治療決策有非常大的影響。Penelope Zorzi博士擁有免疫學、病理學和基因組學專業背景,是徠卡顯微系統健康與臨床顯微鏡術產品工作流經理。她了解病理學家的工作職責并介紹了醫生、科學家和病理學實驗室化驗員的工作。
Penelope Zorzi博士是徠卡顯微系統健康與臨床顯微鏡術產品工作流程經理。她擁有意大利維羅納大學的生物醫藥科學博士學位,并在美國西雅圖華盛頓大學完成了博士后學習。她作為研究科學家和項目經理在免疫學、病理學和基因組學領域擁有長達十年的專業經驗。首次接觸腫瘤免疫治療藥物領域以后,她決定進入營銷和銷售領域,并在意大利米蘭接受了數字化營銷方面的培訓,還在美國加利福尼亞州斯坦福大學學習了數據驅動營銷。最近幾年,她獲得了西雅圖產品學院的產品管理認證,參加了數據科學訓練營,并擔任了設計和建筑材料產品管理方面的職位。目前,Zorzi博士任職于徠卡顯微系統應用業務單元,提供產品開發協作,并負責就內外部目標群體痛點和需求提供市場洞察和行業知識。
病理學家面對的最大挑戰是什么?
Zorzi博士:診斷時間在臨床病理學檢查中至關重要。你可以想象下手術過程中的組織學分析。手術期間,醫生會從患者身上采集活組織切片,然后病理學家會檢查由此制作的冷凍組織切片。病理學家的診斷結果會直接影響外科醫生下一步的操作。

圖1:多頭顯微鏡
這是一項重大的責任。
Zorzi博士:確實如此!診斷結果一定要準確無誤。根據我以往的經驗,病理學家在工作中對自己的診斷結果極其謹慎,如果有任何疑慮,總是會和同事一起討論。一些實驗室還為此配置了多頭顯微鏡,以便于兩個或更多人一起觀察樣本或攝像頭拍攝的圖片,這種顯微鏡在教學中也非常實用。
您能為我們詳細介紹下病理學家使用顯微鏡進行工作的情況嗎?
Zorzi博士:病理學家需要觀察組織切片和體液,具體視專業情況而定。觀察樣本時,實驗室化驗員或病理學家會冷凍或固定樣本,例如使用福爾馬林,并用冰凍切片機或普通切片機將樣本切割為薄片。如果是在顯微鏡下觀察,需要將切片放在載玻片上,染色并蓋片。對于體液,大多數情況是涂抹在蓋玻片上,然后用蓋片蓋到載玻片上以防止污染并提高成像質量。
樣本取自哪里?
Zorzi博士:樣本可以是來自人體的各個部位。組織一般是通過外科手術或活檢采集。舉例來說,在組織病理學中,會切除痣進行黑色素瘤皮膚癌檢查,開展乳房活檢進行癌癥檢查,甚至還可能在術后進行器官活檢,例如子宮切除術、結腸切除術或扁桃體切除術。還可能會觀察骨頭診斷癌癥或骨質疏松癥等其他骨科疾病。在細胞病理學中,主要是觀察細胞。一般是通過組織剝離、刮除或使用細針抽吸。婦科醫生還可以通過體液、子宮頸抹片檢查獲取細胞,肺科專家在診斷癌癥或感染時還會提取痰樣本。血液病理學家在診斷感染、貧血、凝血障礙和白血病時,會觀察全血、淋巴液或骨髓。醫學微生物學家會觀察微生物診斷感染。
Zorzi博士:樣本可以是來自人體的各個部位。組織一般是通過外科手術或活檢采集。舉例來說,在組織病理學中,會切除痣進行黑色素瘤皮膚癌檢查,開展乳房活檢進行癌癥檢查,甚至還可能在術后進行器官活檢,例如子宮切除術、結腸切除術或扁桃體切除術。還可能會觀察骨頭診斷癌癥或骨質疏松癥等其他骨科疾病。在細胞病理學中,主要是觀察細胞。一般是通過組織剝離、刮除或使用細針抽吸。婦科醫生還可以通過體液、子宮頸抹片檢查獲取細胞,肺科專家在診斷癌癥或感染時還會提取痰樣本。血液病理學家在診斷感染、貧血、凝血障礙和白血病時,會觀察全血、淋巴液或骨髓。醫學微生物學家會觀察微生物診斷感染。
病理學家在觀察樣本時主要在尋找什么?
Zorzi博士:一般來說,他們會觀察與正常組織存在哪些不同。結構、形狀、顏色以及細胞數量都可以反映出樣本是否存在異常和疾病。
能為我們列舉些例子嗎?
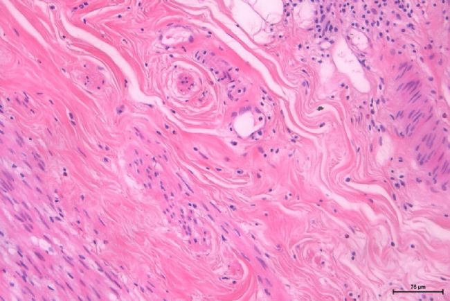
Zorzi博士:為發現病理變化,通常會使用蘇木素(Hematoxylin)-伊紅(Eosin)染色法(簡稱HE染色法)對組織樣本進行染色,細胞病理學樣本則主要使用巴氏法進行染色。病理學家可以通過觀察染色的吸收和強度情況判斷癌癥的類型和嚴重程度,因為組織或細胞的不同部分吸收的顏色也不同。在全血樣本中,可以通過觀察白細胞數量和它們的形態診斷白血病。

圖2:HE染色樣本

圖3:巴氏法染色(200倍放大倍數)
顯微鏡如何幫助他們觀察到想觀察的目標?
Zorzi博士:第一是放大。顯微鏡可以讓人看到肉眼無法看到的更多細節。病理學家一般會使用低倍率快速瀏覽整個樣本,確定目標區域,把載物臺移動到那里,然后提高放大倍數進行更詳細的觀察。
第二個方面是色彩再現和圖像清晰度。樣本中染色劑的吸收和顏色強度對診斷至關重要,真實的色彩再現和對細胞形態細致入微的成像可以幫助病理學家有效地通過觀察得出正確的結論。
第三個方面是使用不同的對比方法觀察樣本。例如,使用明場觀察不同的染色切片。而相差則可以觀察到未染色樣本的細胞或組織結構。還有其它幾種應用于特定分析的對比方法,例如利用偏光可以檢測晶體和淀粉樣纖維,熒光原位雜交法(FISH)則可用于視覺評估某些DNA改變。
攝像頭在病理學中有哪些作用?
Zorzi博士:攝像頭正變得越來越重要,尤其是在加快文檔處理方面。徠卡為臨床病理學提供的顯微鏡可選配攝像頭(特別是K3系列)和支持軟件LAS X,病理學家可以借助它拍照并直接在軟件中添加注釋。他們可以將圖像發送給同事,咨詢他們的看法,如果沒有多頭顯微鏡,或者需要咨詢另一家醫院或國家的同行,這一特性會非常有用。如果患者有第二個活組織切片需要檢查,也可以非常方便地返回到當前圖像,而無需取回已經存放的切片。
攝像頭是如何與實驗室或醫院的信息系統協作的?
Zorzi博士:很多攝像頭都配有TWAIN驅動器,這個驅動器會將攝像頭接入現有的任何信息系統。LAS X軟件用于獲取圖像并進行注釋,醫生可以通過實驗室或醫院的信息系統訪問圖像。
您提到診斷時間是一個至關重要的因素。時間壓力和責任對病理學家會有哪些影響?
Zorzi博士:病理學家經常長時間使用顯微鏡,因此他們會感到疲憊。他們的眼睛、脖子和背部也會出現酸痛的癥狀,手和胳膊也會因重復性的動作而酸痛,所以一天的工作結束后,他們會有肌肉緊繃的感覺。高工作負荷和高難度的樣本觀察也會讓他們更加疲憊。
實驗室環境如何消除這種身體勞損呢?
Zorzi博士:人體工學顯微鏡會有很大的幫助。如果顯微鏡能夠根據用戶的體型進行調整,病理學家便能夠以更加舒適的姿勢工作。在我去過的實驗室中,我看到很多積極的改善。奇怪的是,長期以來,很多病理學家都會選擇忍受并不舒服的工作姿勢。但是當他們開始會用人體工學設計的顯微鏡,可以調整目鏡的高度和傾斜度,可以通過對稱的設置直起肩膀,可以通過調整控制適應左手或右手操作后,他們立刻就感受到了顯著的差異,并表示無法想象之前是怎么堅持下來的。

圖4:使用人體工學設計的顯微鏡,操作員能夠以更加舒適的姿勢工作。
效率在病理學中重要嗎?
Zorzi博士:效率非常重要。除了病理學家自身的經驗,效率主要是受人體工學和顯微鏡的設計的影響。這種關系并不明顯,但是如果考慮到檢查過程中所有瑣碎細小的步驟,關系就十分清晰了。例如,以調整放大倍數為例,每次手部移動、每次物鏡轉盤移動、每次載物臺移動都會耗費時間。這些動作所需的時間越短,轉盤的移動越流暢,載物臺的設置便可以越精確,最終診斷所需的時間也便越短。
了解更多:徠卡顯微