冷凍斷裂與冷凍蝕刻基礎介紹
瀏覽次數:2751 發布日期:2021-2-19
來源:本站 僅供參考,謝絕轉載,否則責任自負
揭示生物學樣本和材料樣本原本無法觀察到的內部結構
冷凍斷裂是一種將冰凍樣本劈裂以露出其內部結構的技術。冷凍蝕刻是指讓樣本表面的冰在真空中升華,以便露出原本無法觀察到的斷裂面細節。金屬/碳復合鍍膜能夠實現樣本在SEM(塊面)或TEM(復型)中的成像,主要用于研究如細胞器、細胞膜,細胞層和乳膠。這項技術傳統上用于生物學應用,但現在逐漸在物理學和材料科學中展現出重要意義。近年來,研究人員通過冷凍斷裂電子顯微鏡,尤其是冷凍復型免疫標記(FRIL),對膜蛋白在動態細胞過程中所發揮的作用有了新的見解。
作者:Gisela Höflinger
圖1:麥葉上的蚜蟲
適合于電子顯微鏡的環境
電子顯微鏡的樣品室通過抽真空處理降至極低壓力。置于這種環境下的活細胞無法有效保全結構,因為細胞構成中的大部分水分會快速蒸發。
生物樣本的制備方法有很多種。樣品材料被(固定)保存,這樣后續脫水對原位結構的破壞最小,同時可以使用環境掃描電鏡(SEM)或者將水冷凍。高壓冷凍是觀察自然狀態下含水結構的唯一方法。高壓冷凍所形成的冰不是六邊形冰(從水變為六邊形冰時體積會增加)而是無定形冰,因此體積保持不變。所以,對滲透和溫度變化敏感的結構得以保留(見文章“高壓冷凍基礎介紹”)。
要觀察諸如細胞器、細胞膜、乳膠或液體的表面界面等結構,冷凍斷裂是唯一的方法。通過刀片(或類似物)或釋放彈簧負載的外力來破開冷凍樣本,并沿著最小阻力線斷裂樣本。
圖2:冷凍斷裂(來源:http://en.wikibooks.org/wiki/Structural_Biochemistry/Lipids/Membrane_Fluidity)
水的升華與凝結 – 冷凍蝕刻與污染
要暴露冷凍斷裂面,需要把冰去除。這就需要通過把斷裂面的冰升華去除以保存樣品的結構。升華的過程是冰不經過液態過程直接轉化為氣態。而液態過程會導致樣品體積和結構的破壞。
圖3:ES,細胞外表面;PF,細胞膜冷凍斷裂面;EF,細胞膜外層冷凍斷裂面;FS,細胞膜內表面;Cyt,細胞質
水的升華/冷凝過程取決于特定溫度下的飽和壓力,以及水或冰在室內的有效水分壓。
注意:良好的真空度會降低水分壓。
例如:溫度為-120℃的冰或冰凍樣本飽和壓力約為10-7 mbar。如果樣品室內達到這個壓力,則冷凝和蒸發處于平衡狀態。蒸發的分子數量等于冷凝的分子數量。在更高壓力下,冷凝速度要快于升華速度 – 因此冰晶會在樣本表面上生長。必須采取一切手段來避免這種情況。樣本上方一個較冷(比樣本更冷)的冷阱會降低局部壓力,從而起到了冷凝阱的作用。從樣本中帶出的水分子優先附著在較冷的表面上。在低于飽和壓力的壓力下,更多的分子升華而不是冷凝,同時會發生冷凍蝕刻。
執行冷凍蝕刻直到樣本完全無冰,這一過程稱為冷凍干燥。僅適用于合理時間內執行的小樣本。該過程分為幾個步驟,需要從大約-120℃加熱到-60℃,同時在每個步驟上使溫度保持一定時間。該過程需要幾天的時間來完成。
圖4:飽和蒸汽壓力(感謝Umrath 1982提供的圖片)
樣本溫度低于-120℃時,蝕刻速度非常慢,蝕刻持續時間會增加到不切實際的程度。如果真空室的壓力固定,則可以通過提高樣本溫度來提高蝕刻速度。對于生物樣本,要特別小心溫度高于-90℃。蝕刻速度會大幅提高。另外,要注意玻璃態冰中形成六邊形冰晶從而導致脫水偽像。
純水的理論升華速度會降低,因為:
- 樣本深處的水升華速度比表面的水更慢。
- 鹽和大分子溶劑會降低升華速度。
- 生物樣本中大量存在的結合水會降低升華速度。
通過冷凍斷裂生成圖像
冷凍斷裂和冷凍蝕刻技術往往采用高真空精細鍍膜技術,將超細膩重金屬和碳薄膜沉積于斷裂表面。
對于這兩種方法,冷凍斷裂表面經過一定的蝕刻時間后以相同的方式進行鍍膜。首先在一定角度下進行一層薄的(2-7nm)重金屬鍍膜,以形成地形對比度(陰影)。其次再針對重金屬薄膜,在90°下進行一層厚的碳層(15-20nm)鍍膜,以穩定超薄電子束蒸發。此時的蝕刻處理會停止。要對極小的結構進行成像,需要在極低的角度(2–8°)鍍膜重金屬并在鍍膜期間旋轉樣本。這樣可增加細絲狀及其它細小結構的對比度。此項技術又稱為小角度旋轉投影。
蒸鍍重金屬薄膜需要采用電子束蒸發鍍膜技術。這種鍍膜技術可實現精細定向沉積。碳的支撐層穩定了未被金屬覆蓋的結構。隨著溫度的升高,這些結構會改變它們的輪廓,樣本不會完全導電,復型也不會粘在一起。
冷凍斷裂酵母的單向投影
圖5:低溫SEM,BSE(背散射電子)圖像。Walther P, Wehrli E, Hermann R, Müller M.(1995)雙層鍍膜獲取高分辨率低溫SEM。J Microsc. 179, 229-237。

圖6:復型,TEM圖像(感謝Electronmicroscopy ETH Zürich提供圖片)。Walther P, Wehrli E, Hermann R, Müller M.(1995)雙層鍍膜獲取高分辨率低溫SEM。J Microsc. 179, 229-237。

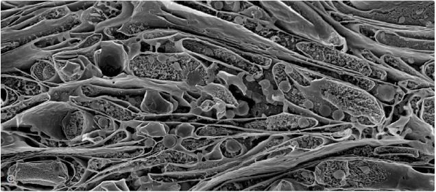
圖7:徠卡高壓冷凍,真空冷凍傳輸至冷凍斷裂系統中,利用電子束發射槍和旋轉樣本底座來進行冷凍蝕刻和低溫鍍膜。徠卡真空冷凍傳輸至低溫SEM。油/水基樣品,–100℃(升華)3分鐘暴露油脂結構。

相關產品