

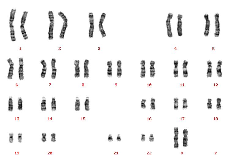
一禿二蛇三蝶飄,四像鞭炮五黑腰,六號像個小白臉,七蓋八下九苗條;
十號長臂近帶好,十一低來十二高;十三,四,五一二一;十六長臂縊痕大;
十七長臂帶腳鐐,十八白頭肚子飽;十九中間一點腰,二十頭重腳飄飄;
二十一好像黑葫蘆瓢,二十二頭上一點黑;X染色一擔挑,Y染色長臂帶黑腳。
(以上圖片為美國自然基因公司設備拍攝)
該口訣由美國自然基因有限公司技術部總結。美國自然基因有限公司專業經營染色體核型分析設備,我們的技術人員經驗豐富,從事遺傳方面的工作十多年,并聘請國內最著名的專家為我公司顧問,能夠切實為我們的客戶解決從實驗到分析,從寫文章到發表等多環節問題。