
繪制生命藍圖:空間轉錄組學的價值與應用
在多細胞生物中,沒有哪個細胞是孤立存在的。每個細胞都受到其周圍微環境中其他細胞的影響,它們之間傳遞的信號決定了各自的功能。
事實上,維持或缺失細胞與組織的空間性,對從阿爾茨海默病、癌癥,到自身免疫性疾病和對感染的免疫應答等各類生命活動都具有至關重要的影響。
空間生物學通過揭示細胞類型的整體組織方式、細胞間的相互作用、異質性的空間微環境、新的基因程序、關鍵的配體-受體信號網絡、以及與疾病相關的生物標志物,為我們深入理解這種組織結構提供了前所未有的深刻洞見。
早在20世紀40年代,我們就已經能夠在相應的形態學背景下檢測生物分子。盡管早期通過免疫組織化學(IHC)和原位雜交(ISH)技術發表的文章證明了空間分析的可能性,但這些方法在可檢測靶標的數量和分辨率上都非常有限。
而今天,我們已經可以繪制成百上千個轉錄本直至整個轉錄組的圖譜,同時達到單細胞乃至亞細胞級別的分辨率。
空間轉錄組學技術主要可分為兩大類:基于成像和基于測序。

究竟哪種方法更適合您,最終取決于您特定的實驗問題和需求。
近期,我們針對全球范圍內的走在空間組學技術前沿的代表性用戶進行了訪談。本期將為您特別介紹在免疫學領域走在前沿的來自中國的研究者——上海市免疫學研究所,上海交通大學醫學院的葉幼瓊研究員。葉博士分享了空間生物學方法如何幫助她的研究取得突破,討論了她在選擇空間平臺時的考量因素,并為初次探索空間轉錄組學的研究者提供了寶貴建議。


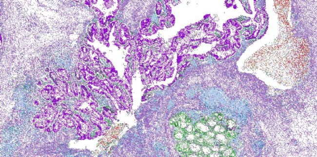
Visium HD空間分析鑒定出KRAS突變型結直腸癌樣本中的細胞組成。圖片來源:葉幼瓊實驗室
02 您在研究中為什么選擇空間轉錄組學?由于我們的多項研究使用了空間轉錄組學數據,我們甚至開發出計算工具Cottrazm用于空間腫瘤分析。該工具整合了空間轉錄組學數據、蘇木精-伊紅(H&E)組織學圖像中的形態學信息,以及單細胞轉錄組學數據。我們隨后用這些數據來勾勒腫瘤邊界以及腫瘤組織中的細胞“點”,進而揭示細胞類型特異性的基因表達特征。
最近,我們還利用腫瘤空間組學數據來分析泛癌種微環境特征。該項目致力于將功能富集的差異表達基因定位在特定腫瘤結構,解析TME的細胞組成,鑒定細胞類型特異性基因表達特征,并表征細胞間相互作用。根據這些,我們開發出一個名為SpatialTME的用戶友好數據庫,支持用戶搜索,可視化下載結果。
我們正在開展的多項研究將持續依托空間轉錄組平臺,它不僅提供了關鍵信息,還加速了研究進程。
為針對結直腸癌的免疫治療開辟新路徑
有些腫瘤對免疫治療產生應答,而另一些則沒有,這背后的原因是什么?Qi等人將結直腸癌患者無進展生存期較短與兩種獨特細胞類型(FAP+成纖維細胞和SPP1+巨噬細胞)的存在相關聯,推斷這兩種細胞類型可能協同作用。基于Visium測序的分析顯示,這兩種細胞類型共定位在TME中,且這些區域富含與細胞外基質和膠原纖維結構相關的通路。這種空間洞察對于揭示FAP+成纖維細胞和SPP1+巨噬細胞如何協同促進免疫限制性TME至關重要,使其有望成為未來治療策略中的理想靶點以改善免疫治療的應答。

該論文因此入選《Nature Communication》2022年度健康科學領域25篇最佳論文。https://www.nature.com/articles/s41467-022-29366-6
然而,隨著Xenium等基于成像的空間技術不斷擴展其基因組合功能,提供比Visium HD大得多的檢測區域,它們對特定應用而言正變得更具吸引力。例如,在處理臨床研究樣本(如組織芯片)時,我們的目標是同時分析單個檢測區域內的數十個樣本,那么Xenium等基于成像的空間平臺就成了理想選擇。它們不僅能減少批次效應,還能降低成本,特別適合大規模研究。
05 對于有興趣開展空間分析的研究者,您有什么建議或者經驗可以分享?熟悉您使用的組學技術的獨特功能,這一點也同樣重要。例如,如果實驗需要相鄰組織層的空間轉錄組學以及空間代謝組學或空間蛋白質組學數據,則可能需要相應調整方法(例如使用哪種樣本類型)。
在涉及到空間轉錄組學和空間代謝組學的研究中,使用新鮮包埋的樣本至關重要。在這種情況下,使用新鮮樣本和Visium HD [WT Panel]分析是最佳選擇。然而,如果研究涉及到空間轉錄組和基于抗體的空間蛋白質組學,那么使用福爾馬林固定石蠟包埋樣本和Visium HD [WT Panel]分析更為合適。平臺的靈活性讓研究人員能夠根據其研究的特定需求來定制方法,確保獲得最佳結果。
此外,我還期待3D空間組學的更廣泛應用,這將為我們了解組織內部的復雜相互作用及其空間結構提供更全面的信息,并以前所未有的分辨率推進我們對生物學的理解。

官網|www.emtd.com.cn
Bilibili|怡美通德
微信公眾號 |怡美通德EMTD
微信視頻號 |怡美通德EMTD