傳統的細胞培養基由基礎培養基添加胎牛或小牛血清組成。血清是一種含有細胞生長所需生長因子的補充劑。而血清制品的定義不明確的性質對于下游研究和治療應用是不可取的,并且存在批次間差異。同時,血清可能含有細胞生長抑制因子和毒性因子,存在潛在毒性,血清的獲取成本高。血清由于成分不完全明確,給細胞培養的標準化帶來困難,同時也給細胞表達目的產物純化等下游操作帶來困難。為了克服與血清相關的不一致性能,無血清培養基是絕對必要的。
細胞無血清培養基通常含有多種維生素、氨基酸、無機鹽、微量元素、激素、生長因子以及結合轉運蛋白等,部分培養基包含動物來源或微生物重組表達的細胞外基質。
轉鐵蛋白對于確保足夠的細胞增殖和功能至關重要,對于絕大部分細胞系在無血清培養基中生長是必需的,為絕大多數無血清培養基必需添加物組分,通過與轉鐵蛋白受體(Transferrin Receptor, TFR) 相互作用,在無血清細胞培養過程中發揮重要功能。轉鐵蛋白能與三價鐵離子可逆性結合,調節鐵離子轉運及代謝,維持細胞內的鐵以及鉻、錳、鎘、鎳等多種金屬離子的平衡穩態。可維持細胞的生長和增殖,有類似于生長因子的功能。而且,轉鐵蛋白也是一種重要的胞外抗氧化劑,可以避免細胞外環境中自由基的產生,防止細胞受到傷害。
總而言之,轉鐵蛋白是無血清培養體系中的重要成分,研究表明飽和鐵形態的轉鐵蛋白對于促進細胞生長是最有效的形態。對于雜交瘤,黏連細胞和懸浮細胞系,在細胞培養過程中,應保持培養基中轉鐵蛋白濃度在0.5-100μg/ml。針對不同的細胞系,需要選擇最合適的濃度。
近日,禾元生物推出了新品——水稻重組人轉鐵蛋白。禾創TMOsrhTF是一種來源于水稻胚乳細胞的重組人轉鐵蛋白,主要用于細胞培養。與天然提取來源的轉鐵蛋白相比,禾創TMOsrhTF避免了來自于人源或動物源病毒及支原體污染的風險。

規格參數
來源:水稻種子
外觀:粉紅色至紅褐色或橘紅色粉末或晶體粉末
純度:≥95%(RP-HPLC)
pH值:6.0~8.0
內毒素:≤1EU/mg
分子量:75kD
鐵飽和度:70%
主要優勢

應用案例

圖1:與其他市售rhTF相比,在低血清測試體系下,禾創具有更佳的生物學活性

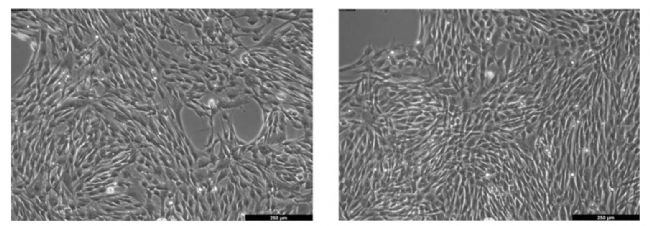
圖2:禾創(右)和其他市售rhTF(左)在MSC細胞無血清培養的細胞形態對比

圖3:與未添加TF相比,禾創能明顯促進細胞增殖,并且與其他市售rhTF相比,增殖效果相當。
無血清細胞培養系列產品
OsrHSA——水稻重組人血清白蛋白
OsrhFN——水稻重組人纖維連接蛋白
OsrhbFGF——水稻重組人堿性成纖維細胞生長因子
OsrhVEGF——水稻重組人血管內皮生長因子
OsrhKGF——水稻重組人角質細胞生長因子
rhIGF-1 LR3——重組人類胰島素生長因子-1 LR3
rhEGF——重組人表皮生長因子
如您正在進行無血清細胞培養相關的研究并遇到相關困擾,歡迎與禾元生物聯系。