MesenPlify™ sXF 間充質干細胞(MSC)擴增培養基,試用申請

MesenPlifyTM sXF是一種完全無異源成分、無血清的人類間充質干細胞 (MSC) 擴增培養基,已針對MSC的擴增培養進行優化,并提供更好的一致性和細胞擴增效率,所培養的 MSC高水平地表達符合ISCT標準的表面標志物,并保留了對軟骨細胞、成骨細胞和脂肪細胞的多系分化能力。
產品優勢

產品特點
1、卓越的擴增性能
以MesenPlify™ sXF 培養的人類骨髓來源間充質干細胞比其他品牌和含胎牛血清(FBS)的培養基表現出更卓越的擴增效果。

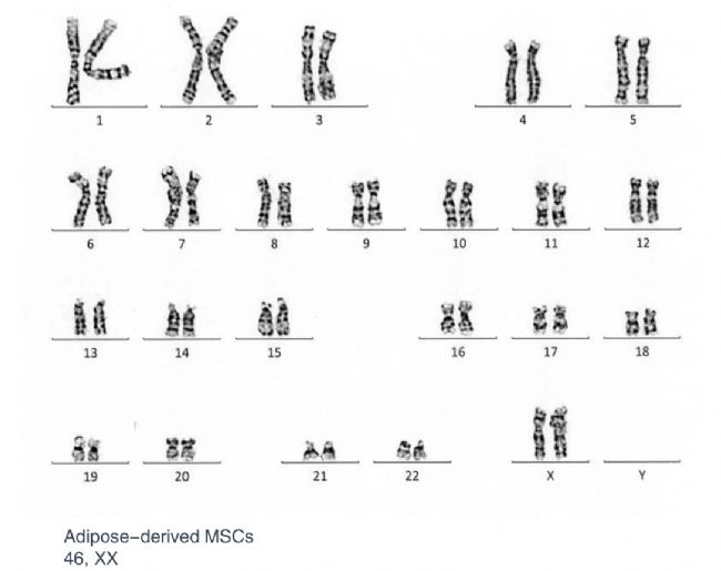
2、核型分析
核型基因穩定,MesenPlify™ sXF培養的人類來源間充質干細胞維持了基因的穩定性。

3、符合ISCT標準的表面標志物
表達了符合ISCT標準的表面標志物│使用MesenPlify™ sXF 擴增的人類骨髓來源間充質干細胞高表達MSC標志物(CD73、CD90和CD105),而不表達造血標志物(CD34和CD45)。

4、分化能力
保留了優越的分化能力│MesenPlify™ sXF 培養的人類骨髓來源間充質干細胞表現出 (B) 成骨細胞分化能力(Alizarin Red S染色) ,(C)脂肪細胞分化能力(Oil Red O染色) 和 (D)軟骨細胞分化能力 (Alcian Blue染色)。

5、產品規格型號

在藥廠或科研實驗室使用的培養基配制試劑,配合 MesenPlify™ 無血清無異種成分人類間充質干細胞擴增培養基使用,為細胞提供維持生長的營養物質,調節細胞功能。
僅供研究或進一步制造使用。不適用于診斷或治療。
試用申請
對本產品感興趣的老師,歡迎來電咨詢~
也可識別下方二維碼填寫試用申請,我們收到會安排相關人員跟進處理。