高分辨率空間質譜蛋白質組學平臺PLATO的技術優勢與應用
瀏覽次數:1627 發布日期:2025-3-18
來源:本站 僅供參考,謝絕轉載,否則責任自負

空間蛋白質組學
空間蛋白質組學能夠在傳統蛋白質組學提供豐富分子信息的基礎上,進一步揭示分子在細胞或組織中的空間分布,對于系統性地理解生物功能、疾病機制和治療效果至關重要。《Nature Methods》選擇空間蛋白質組學作為2024年度方法[1],也反映了行業對這項技術應用前景的關注和認可。現有質譜空間蛋白質組學技術主要包括基于MALDI的質譜成像、激光顯微切割和膨脹水凝膠放大后切割等。其中,質譜成像可檢測蛋白種類有限,后兩種方法的成本和質譜檢測通量要求高,使得其在研究中的廣泛應用受限。
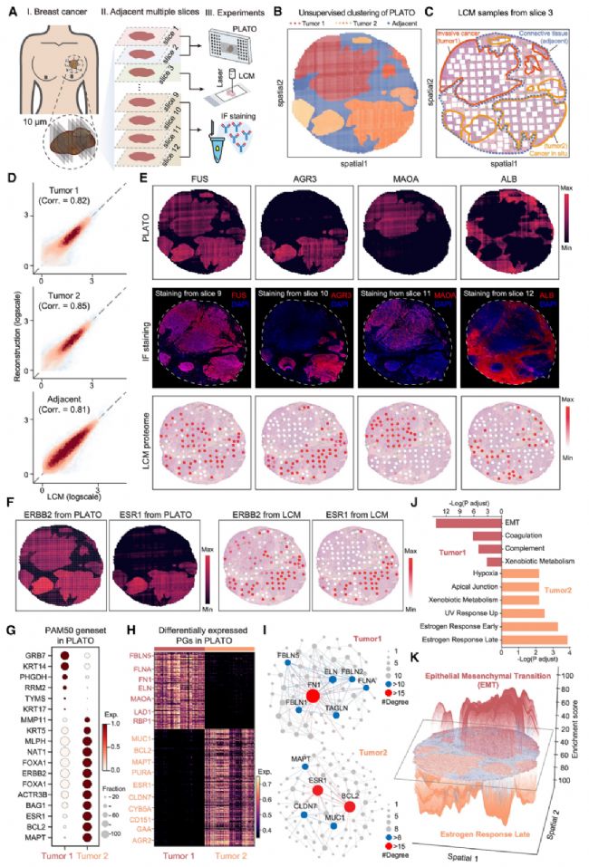
2025年2月,中國科學院動物研究所趙方慶團隊聯合國家蛋白質科學中心(北京)王貴賓在Cell雜志上發表了題為“High-resolution spatially resolved proteomics of complex tissues based on microfluidics and transfer learning”的研究論文[2],該研究整合微流控技術、微量蛋白質組學檢測技術和人工智能深度學習算法,開發出一種全新的高分辨率和高通量空間質譜蛋白質組學平臺PLATO,能夠實現對整個組織切片中數千種蛋白質的精確映射。
01技術創新與優勢
1.1 基于微流控的創新性高通量原位蛋白采樣技術
獲得3張組織的連續切片,中間切片用于組織學染色或空間代謝/轉錄組學生成參考組學數據,而第一、三片則在不同角度下進行基于微流控芯片的平行流蛋白質組分析。切片在芯片上進行消化,每個微通道中的肽段被抽出、收集,并進行LC-MS/MS定量分析。每個角度的測量稱為平行流投影。

1.2 高穩定性和準確性的微量蛋白質組學質譜檢測
高定量準確性、高通量和高穩定性的微量蛋白質組學檢測是支持空間蛋白質表達圖譜重構的基礎條件。本研究利用Q Exactive HF質譜儀DIA采集模式進行檢測,以每日40個樣本的高通量實現了微量樣本的可靠和可重復定量。

1.3 基于深度學習的創新型空間重構算法
本研究開發了一種基于遷移學習的算法Flow2Spatial,可根據中間切片的圖像或空間代謝/轉錄組結果,和兩組平行流投影值重建出高分辨率的原始蛋白質空間分布。通過采用這種策略,可顯著減少切片數量和測量次數,降低連續切片引入的異質性,節省樣品制備和測量的時間和成本。

02PLATO平臺亮點
2.1 高分辨率蛋白質映射
PLATO平臺能夠以極高的空間分辨率(25 μm)對組織切片中的蛋白質進行定位和定量分析。這意味著研究人員可以清晰地看到蛋白質在不同細胞和組織區域中的分布情況,從而更好地理解其生物功能。
2.2 廣泛的組織兼容性
無論是小鼠、大鼠還是人類組織,PLATO都能完美兼容。其強大的適應能力使得研究人員能夠在各種生物樣本中進行高效的蛋白質組學研究。
2.3 乳腺癌研究中的應用
在乳腺癌研究中,PLATO展示了其強大的應用潛力。通過對乳腺癌組織的高分辨率蛋白質映射,PLATO能夠識別出不同的腫瘤亞型,并發現關鍵的失調蛋白質,為腫瘤的診斷和治療提供了新的思路。


03總結與展望
PLATO結合了微流控高效采樣、微量蛋白質譜檢測和人工智能算法,實現了高分辨率空間蛋白質組學的重大突破。通過計算模擬、顯微切割和免疫熒光驗證了其測量的準確性。此外,PLATO展示了其在不同物種和組織類型中的普適性,以及在臨床研究中的應用潛力。在本研究中,采用Q Exactive HF在26分鐘色譜梯度條件下,即可實現2500個蛋白質的精準鑒定。該結果表明,基于QE HF平臺已具備在微量樣本中解析復雜蛋白質組的卓越能力。然而,這一技術成果也為新一代儀器性能突破提供了基準:賽默飛在2023年革命性推出的Orbitrap Astral,在微量蛋白質組上,不僅將鑒定通量提升,更可突破性地實現單個細胞超6500個蛋白質的深度覆蓋[3]。這種跨越式的性能提升為空間蛋白質組學研究提供了前所未有的技術支撐——結合PLATO技術,在保持空間定位精度的同時,研究者現在能夠系統性解析微米級組織區域中完整的蛋白質表達網絡,實現從"蛋白質檢測"到"蛋白質景觀重構"的范式轉變。
中國科學院動物研究所博士后胡倍瑜、博士后何睿喬、博士研究生龐琨及國家蛋白質科學中心(北京)王貴賓為該研究的共同第一作者,中國科學院動物研究所趙方慶研究員和冀培豐副研究員為該研究的通訊作者。
專家訪談
趙方慶 研究員
中國科學院動物研究所
Q1如何解決微流控芯片上樣本量少導致蛋白檢測數目不足的問題?
答:這是一個關鍵挑戰,微量蛋白質的檢測一直是難點,尤其是在微流控芯片體系下,樣本損失是一個不可忽視的問題。為此,我們與國家蛋白質科學中心的專家緊密合作,針對樣本制備流程進行了系統優化。具體而言,我們改進了消化液體系,調整了酶解時間,優化了色譜梯度,并對質譜檢測條件進行了細致調整。這些優化措施顯著提高了蛋白質的檢測靈敏度和覆蓋度,有效解決了樣本量少導致的檢測不足問題。
Q2Flow2Spatial算法在重建蛋白質表達模式時,如何處理不同切片之間的異質性?
答:這個問題需要從實驗和計算兩個層面來解決。實驗方面,我們采用了一種質譜兼容的包埋劑,以盡可能保持組織切片的原始狀態,同時避免包埋劑對質譜信號的抑制影響。計算方面,我們評估了多種圖像配準算法,并最終選擇了一款在實際應用中表現最優的算法。通過實驗和計算的雙重優化,我們有效降低了切片間的異質性,提高了Flow2Spatial算法在蛋白表達模式重建中的準確性和穩定性。
Q3PLATO平臺在實際臨床應用中的前景如何?是否有計劃將該技術應用于其它類型的組織或疾病研究中?未來是否有進一步改進或擴展該平臺的計劃?
答:這個問題非常重要。PLATO平臺能夠在全組織切片水平精準解析蛋白質的空間分布,為探索疾病的發生發展機制提供了全新的工具。未來,我們計劃進一步拓展該技術的應用領域,例如用于不同類型的腫瘤樣本,構建更完整的空間蛋白組圖譜,助力腫瘤微環境研究。同時,我們也在持續優化PLATO平臺,包括提升空間分辨率、增加可檢測蛋白數量,并進一步增強其與其他組學技術的兼容性,以拓寬其在生命科學和臨床研究中的應用前景。
專家簡介

趙方慶,中國科學院動物研究所研究員、全國重點實驗室主任、國家杰出青年基金獲得者。
現任中國生物信息學會基因組信息學專委會主任、中國微生物學會微生物組專委會副主任、中國生物工程學會計算生物學與生物信息學專委會副主任、Briefings in Bioinformatics、Science Bulletin、Science China Life Sciences、Genomics, Proteomics & Bioinformatics等期刊副主編或編委。主要致力于建立數據與智能驅動的前沿組學技術,探索人體微生物與非編碼RNA的結構組成與變化規律,以期解析它們與健康和疾病的關系。近年來,在Cell、Nature Biotechnology、Nature Methods、Nature Genetics、Nature Cell Biology、Nature Computational Science等刊物上發表通訊作者論文100余篇,其中十余篇入選ESI高被引論文。榮獲“中國科學院優秀共產黨員”、“中央和國家機關四好黨員”,7次獲得“中國科學院優秀導師獎”,3次獲得“中國科學院大學領雁獎章”, “中國科學院李佩教師奉獻獎”和“中國科學院朱李月華優秀教師獎”等。
參考文獻:
[1] Method of the Year 2024: spatial proteomics. Nat Methods 21, 2195-2196 (2024).
[2] High-resolution spatially resolved proteomics of complex tissues based on microfluidics and transfer learning. Cell 188, 734-748 (2025).
[3] Enhanced sensitivity and scalability with a Chip-Tip workflow enables deep single-cell proteomics. Nat Methods (2025).