現代醫學中的核掃描、正電子發射斷層掃描(PET)和磁共振成像(MRI)技術在提供組織形態和功能信息方面廣泛應用,但在分辨率或成像深度上存在缺點。OCT技術基于低相干干涉原理,能同時實現高分辨率和大深度成像。
OCT是一種非接觸、非侵入、無損傷的影像技術,結合了高縱向分辨率和高橫向分辨率,可實現與活體組織病理學觀察相同的作用。采用低能量近紅外光源作為探測光,結合非損傷方式進行常規檢測,不會對生物組織造成損傷,還能結合圖像采集分析處理技術實現實時三維成像和定量分析,為醫生診斷提供便利。

吉林省的蘇李、宋凱文團隊在《紅外與激光工程》發表綜述文章,介紹了經典OCT成像技術及其相關醫療應用技術,如SD-OCT、SS-OCT、aOCT、PS-OCT和D-OCT等,在呼吸系統、口腔、腦組織和腎臟等主要器官疾病檢測中的應用。
OCT在氣道相關應用
呼吸道疾病和氣道功能障礙會影響患者的生活質量,OCT成像技術在氣道疾病的診斷中具有重要作用。
氣道
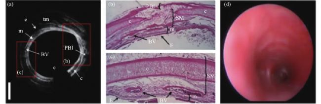
阻塞性睡眠呼吸暫停(OSA):OSA是一種常見的睡眠呼吸障礙,其特征是睡眠期間上氣道的反復關閉。OCT可測量上氣道維度,如口徑和體積,揭示氣道塌陷的病理生理學,還能結合內窺鏡成像探針生成上氣道的定量實時圖像,確定形狀和大小。新的LR-OCT系統可生成人體上氣道的精確3D解剖結構模型,用于確定阻塞部位。aOCT可獲取氣道橫截面積(CSA)以及前后(AP)和橫向直徑,還能解析由于外部因素導致的氣道大小和形狀的動態變化。SS-aOCT可用于上氣道管腔成像,展示氣道幻影的精確3D管腔重建。

聲門下顯微解剖:目前,沒有成像模態能在兒童插管時對聲門下顯微解剖進行體內表征以識別聲門下狹窄(SGS)的早期跡象。FD-OCT可用于長期插管且有獲得聲門下狹窄(SGS)風險的新生兒聲門下的連續監測,識別聲門下的隱匿性上皮下病理,幫助新生兒科醫生管理氣道,減少聲門下潰瘍和瘢痕形成的發生率。

氣道重塑和哮喘:慢性呼吸系統疾病患者氣道壁成分的結構變化和增厚(即氣道重塑)會導致許多不良后果。極化敏感OCT(PS-OCT)結合內窺鏡成像探針可檢測哮喘患者的平滑肌結構和功能,為哮喘患者氣道平滑肌重塑的機制提供了體內見解。
煙霧和化學誘導的氣道損傷:吸入性損傷的診斷是現代燒傷護理中一個尚未解決的主要問題,成像氣道壁的亞表面結構對于檢測氣道損傷期間的異常非常重要。煙霧暴露和吸入風險會導致氣道充血、水腫、脫落和壞死,氣道黏膜厚度、黏液分泌和氣道管腔變形等病理生理信息可提供呼吸疾病的早期診斷和預測。

改進的LR-OCT系統可用于定性和定量評估煙霧吸入損傷的進展,實時進行接近組織學等級的氣道評估。OCT還可用于定量測量氣道黏膜區域的急性和長期厚度變化,研究各種治療干預在煙霧吸入和其他氣道損傷中的有效性。此外,OCT可用于研究CF患者上氣道黏膜的體內成像,以及區分人氣道的復合微結構層并確定原位形態變化。
肺
用于人類支氣管氣道的診斷成像模態在分辨率和組織穿透深度方面不足以檢測早期形態變化并區分實時腫瘤病理與非特異性畸變。OCT可用于實時近組織學成像支氣管內病理,有望用于肺癌監測應用的診斷和治療,還能夠評估和區分肺實質與肺結節,為特發性肺纖維化(IPF)的診斷和治療提供支持,也可用于檢測和測量煙霧吸入和燒傷后氣道黏膜厚度的區域變化,對急性呼吸窘迫綜合征(ARDS)的早期診斷具有潛力。
OCT有助于呼吸疾病的診斷,可對呼吸道內部進行成像,用于手術過程中并測量呼吸道厚度。科學家設計了如LR-OCT等高成像范圍的OCT變體,OCT在臨床應用中對許多肺部疾病的診斷起著最重要的作用。
OCT在口腔相關應用
口腔組織
人類口腔等腔體內的疾病是一個普遍而重大的醫療保健問題,對有效的診斷工具需求很高。使用3D OCT圖像和相應的3D血管灌注圖可識別健康人體各種腔組織區域的特征組織解剖結構和微血管結構,SD-OCT系統和口腔成像探針可用于可視化人口腔的微觀結構形態和微血管OCT微血管造影可用于組織內的功能性血流成像。
口腔癌
口腔癌是全球第六大常見癌癥,主要見于中低收入國家。OCT可檢測到癌組織中健康黏膜結構的破壞,在腫瘤的早期診斷和精確引導切除活檢方面具有潛力,但目前作為快速癌癥篩查技術的應用有限。熒光圖像引導的OCT探針和可移動的OCT成像系統可用于口腔癌的篩查和診斷,PS-OCT儀器可用于口腔內的廣域體內成像。
牙科
牙科對OCT的研究已成為一個重要的研究方向。OCT系統可幫助牙醫實時評估剩余牙本質厚度,避免在牙科手術中打開牙髓腔。

OCT可用于鼻腔和支氣管疾病監測,對口腔疾病的診斷可進行無創實時的組織采集和血管3D成像。
OCT在內臟器官相關應用
腎臟
OCT可對完整的人體腎臟進行無創、及時的高分辨率3D成像,展示使用OCT對供體腎臟結構進行成像的潛力,評估器官活力或對急性腎損傷的反應,在確定腎細胞癌方面具有高診斷率,還可用于成像腎微結構,確定急性腎小管壞死(ATN)的程度,檢測健康和腎炎小鼠腎臟之間的組織特性差異。

腦組織
OCT血管造影術對腦灌注的準確量化對于理解腦血管病理生理學很重要,3D多普勒OCT(D-OCT)可用于確定高血壓大鼠在應激相關腦出血發展不同階段的動脈和靜脈腦循環變化的特殊性,OCT還可用于顯示腦動脈壁,研究血管壁與血流之間的流體結構相互作用,以及對小鼠中動脈閉塞的腦血流灌注進行評估。此外,多普勒OCT技術可用于對小鼠體內水中毒模型進行3D成像和分析腦血流,檢測體內光學變化的發生。

皮膚
SD-OCT系統可用于檢測健康皮膚和不同皮膚病變(如發育異常(AK)、鮑文病(BD)和基底細胞癌(BCC))的皮膚結構成像,OCT和多普勒OCT可通過手持探針快速分辨淺表皮中的毛細血管形態,OCT還可用于提供可靠的定量皮膚表面粗糙度,振動OCT可用于表征皮膚細胞外基質的大分子成分。

腸道和胃部器官
OCT可用于食管切除和胃管重建術中的血流檢測,成像和量化灌注,SD-OCT可用于成像腸道黏膜細胞的細胞級結構,超高速內鏡OCT成像系統可用于臨床胃腸病學,實現微血管的3D可視化。

OCT可高分辨率成像神經和血管的橫截面,為解決腦損傷提供幫助,有效提高血管血流的三維成像靈敏度并成像腦水腫模型,為臨床醫生和研究人員提供人體皮膚的微米分辨率橫截面圖像,顯示皮膚定量拓撲結構和體積皮膚解剖結構,實時顯示微觀結構以檢測腎細胞癌,SD-OCT可用于成像腸道黏膜細胞以解決胃部問題。
總結與展望
OCT技術在多個器官疾病的診斷中具有重要的應用價值,為臨床診斷提供了豐富的信息。與傳統的成像技術相比,OCT具有獨特的優勢,能夠實時、無創地獲取組織的微觀結構和功能信息,為疾病的早期診斷和治療提供了有力的支持。未來,隨著OCT技術的不斷發展和完善,它將在醫學領域發揮更加重要的作用,為人類健康帶來更多的福祉。
內容來源:
蘇李,宋凱文,呂沛桐,王浩然,孫銘陽,張曉彤,張天瑜.光學相干層析成像技術在器官疾病診斷上的應用[J].紅外與激光工程,2022,51(10):20210803.Li Su,Kaiwen Song,Peitong Lv,Haoran Wang,Mingyang Sun,Xiaotong Zhang,Tianyu Zhang.Optical coherence tomography technology for diagnosis of diseases in organs[J].Infrared and Laser Engineering,2022,51(10):20210803.