類器官(Organoid)是一種在體外利用胚胎干細胞或者成體干細胞培養出的三維細胞培養物,它與人體器官具有相似的組織學特征。類器官最重要的特性是在體外培養環境中干細胞具有高度組織記憶和自我組裝能力,能夠自己長成類似于體內組織的結構,高度還原體內器官的細胞構成和功能。
近十年來,干細胞和3D細胞培養技術的進步重新點燃了人們對類器官研究的興趣。2013年,Science將類器官評為年度十大技術;2015年,MIT科技評論類器官為當年十大科技突破之一;2017年,Nature Method將類器官評為年度最佳方法;2019年,新英格蘭醫學雜志將類器官評為優良的臨床前疾病模型。類器官來源于干細胞,如人類多能干細胞(hPSC)或干細胞/祖細胞,由能夠自組織的不同細胞類型組成,形成3D結構,旨在成為器官的微型模擬物。研究探索并強調了類器官在模擬復雜的人類疾病、了解人類發育和再生醫學領域的巨大潛力。實驗室中可以制造出類似于不同人體器官的各種類器官——腦、視網膜、胃、食道、肺、小腸、肝臟、胰腺、腎臟、血管等。
目前的類器官培養嚴重依賴動物來源的細胞外基質(ECM),如Matrigel。然而,Matrigel的成分是不確定的,批次之間存在差異。這種ECM基質的不一致極大地限制了當前類器官模型的可重復性,并且不適合臨床應用。此外,傳統的類器官培養方法通常從hPSC單層培養開始,其中單層hPSC以單細胞或小細胞簇的形式收獲,并在3D培養物中聚集。目前的類器官培養方法存在幾個關鍵的局限性:首先,動物源性基質不穩定,不適合臨床應用。其次,使用傳統的2D單層培養方法從凍存復蘇的hPSCs通常會導致細胞活力低。接下來,將hPSC集落解離為單細胞是一種苛刻的技術,它將大大降低細胞活力,從而損害形成的hPSC聚集體的質量。最后,這種傳統方法的可擴展性有限。這是大規模、3D生產hPSC和類器官的主要障礙,這對于類器官作為臨床治療藥物的發展至關重要。因此,迫切需要一種方法,使得類器官分化容易且快捷,同時易于大規模生產,并保持細胞的高質量。
一種無異源水凝膠可以很好地解決動物源基質的問題,VitroGel STEM 和VitroGel ORGANOID從 hPSC 生成和培養中腸/后腸和類器官(圖 1)。
圖1 無異源 3D 類器官工作流程概述 – 從 iPSC 球狀體開始,進行干細胞分化和類器官形成
可以從單層hPSC甚至直接從凍存的hPSC快速輕松地生成3D hPSC球狀體,只需將這些細胞與VitroGel STEM混合即可(圖2)。在三天內形成hPSC球狀體,可以使用相同的水凝膠3D培養系統分化為中腸/后腸,并進一步用VitroGel ORGANOID生成類器官。
圖2 通過將 hPSC 與VitroGel STEM 與 3D 靜態懸浮培養方法混合來生成 3D hPSC 球狀體
VitroGel STEM和VitroGel ORGANOID均不含異源成分,可提供強大的細胞擴增和分化支撐。VitroGel可以克服當前用于干細胞培養和類器官生成的ECM的缺點 :
✦ VitroGel無異源而且穩定,適用于下游臨床應用;
✦ VitroGel STEM能夠提高液氮凍存hPSCs復蘇的細胞活力;
✦ VitroGel水凝膠具有高度可擴展性,支持干細胞的大規模擴增,甚至是類器官的生產。
VitroGel水凝膠可以提高生成的類器官的質量和可重復性,以及干細胞的活力。
# 材料和方法 #
一、從凍存復蘇或2D培養的 hPSC 形成 3D 細胞球
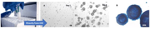
VitroGel STEM能夠支持凍存hPSC復蘇培養和擴增,形成3D hPSC細胞球狀體(圖3)。傳統方法需要在hPSC細胞復蘇和穩定后,在基質上多次傳代培養。在復蘇過程中,保持復蘇的hPSC的活力通常具有挑戰性。然而,VitroGel STEM消除這一困難,可以直接從液氮中取出細胞復蘇進行培養,保持高的細胞活力,產生3D細胞球。
圖3 直接將儲存在液氮(LN2)中的hPSC用于三維靜態懸浮培養
A、直接從儲存在液氮中的細胞形成的 hPSC 球狀體從第 1 天到第 6 天連續生長。B、堿性磷酸酶(AP)染色表明這些球狀體是健康的,hPSC活性高。
3D 細胞球形成:
1、將VitroGel STEM恢復至室溫或37°C。
2、細胞復蘇后,離心去除凍存液。
3、用 10 μM/mL ROCK 抑制劑 Y-27632 * 在干細胞培養基中制備細胞懸液。
4、以 2:1 (v/v) 的比例輕輕混合VitroGel STEM 與細胞懸液。(查看表1或表2不同培養周期不同培養容器的推薦體積)
5、將含有 10 μM/mL Y-27632 的干細胞培養基以 5:1 (v/v) 的比例加入細胞-水凝膠混合物中。該比率對于確保hPSC球狀體的良好形成至關重要。小心地吹打,使培養基和混合物均勻混合**。
6、將所需體積的混合物添加到培養容器中,并在37°C,5% CO2的條件下孵育(見表1和表2)。
7、為7天培養周期添加培養基:在第3天或第4天,將所需體積的干細胞培養基(不含Y-27632)直接添加到培養容器中(參見表1中的“Additional medium”體積)。
* 推薦的細胞密度為 0.2-5 X 106 個細胞/mL,水凝膠懸浮培養物中的最終細胞接種密度約為 0.1-5 X 105 個細胞/mL。細胞接種密度應針對單個細胞類型進行優化,并且還取決于所需的干細胞球狀體的最終大小。
**干細胞培養基和細胞-水凝膠混合物的混合比例可以在1:1至20:1 v/v比例之間調節,具體取決于最終混合物的所需粘度和培養條件。如果混合比高于5:1 v/v,則可能需要軌道振蕩器或離心瓶,并將其設置為10-40 rpm的速度以維持細胞懸液的狀態。
注意:3D hPSC 球狀體也可以由在常規 2D 單層中培養的 hPSC 制成。如果使用單層hPSC培養物,請使用合適的解離試劑(根據制造商的建議)解離細胞,然后從步驟3開始繼續。
表 1 推薦7天培養周期的體積
表 2 推薦3-4天培養周期的體積
二、3D 內胚層和中/后腸分化與VitroGel STEM
收集hPSC球狀體并通過以下方式分化為內胚層:
1、用移液管將 hPSC 球狀體轉移到離心管中。
2、100 x g 離心3分鐘。
3、小心地除去上清液和水凝膠層,收集細胞沉淀(圖4)。
圖4 離心后離心管中的水凝膠層和細胞沉淀圖
注意:或者,可以使用VitroGel細胞回收溶液的改良無酶細胞回收方法*(查看下面的使用VitroGel®細胞回收溶液進行細胞收獲的方案)。
4、用內胚層分化培養基重懸hPSC球狀體。
5、將VitroGel STEM與hPSC球狀體懸浮液以 2:1 (v/v) 的比例混合。
6、將額外的內胚層培養基與步驟5中的細胞 - 水凝膠混合物以5:1(v/v)的比例混合以進行懸浮培養3天。(不同培養容器的推薦體積見表2)
7、3天后,通過重復步驟1-3收獲內胚層球狀體。
8、在中/后腸分化培養基中制備內胚層球狀體懸浮液。
9、將VitroGel STEM與hPSC球狀體懸浮液以 2:1 (v/v) 的比例混合。
10、將額外的中/后腸培養基與步驟9中的細胞 - 水凝膠混合物以5:1(v/v)的比例混合用于懸浮培養2-4天。(不同培養容器的推薦體積見表2)
三、VitroGel細胞回收溶液進行細胞收獲
1、將VitroGel細胞回收溶液(2-5X體積)直接添加到培養板或培養管中(圖5)。
2、搖晃或吹打 3-5 次混勻。
3、37°C 下孵育 3-5 分鐘。
4、轉移到離心管中, 100 x g 離心3-5分鐘。
5、小心地除去上清液和水凝膠層,收集細胞沉淀(圖4)。
圖5 使用VitroGel細胞回收溶液收獲球狀體
四、類器官的形成和成熟
收集中/后腸球狀體,并通過以下方式形成類器官:
1、使用移液管將中腸/后腸球體從培養物轉移到離心管中。
2、100 x g 離心3分鐘。
3、小心地去除上清液和水凝膠層,收集細胞沉淀(圖4)。
4、將VitroGel ORGANOID置于室溫或加熱至37°C。
5、將 1 mL VitroGel ORGANOID加入 500 μL 細胞懸液中,小心吹打 5-10 次以徹底混合(保持VitroGel和細胞懸液的混合比例為 2:1 v/v)。
注意:如果水凝膠中需要關鍵的生長因子,如R-spondin,Noggin或EGF來支持類器官培養,請用3倍關鍵生長因子制備細胞懸液(有關詳細信息,請查看VitroGel®ORGANOID操作指南 )。
6、將水凝膠混合物轉移到孔板中。輕輕傾斜/旋轉孔板,以確保均勻覆蓋每個孔的底部。
下面列出不同培養板的水凝膠推薦體積。
7、混合物置于在室溫下穩定10-15分鐘。
8、添加培養基小心地覆蓋水凝膠。
9、下面列出不同培養板的推薦體積:
10、將培養板放入培養箱中,并根據實驗方案更換覆蓋培養基。
注意:更換50-80%的覆蓋培養基。如果在類器官培養過程中切換到其他培養基,請 100% 更換覆蓋培養基。避免在更換培養基期間干擾水凝膠。
圖6 類器官可以通過將球狀體/細胞與VitroGel ORGANOID混合來形成類器官
# 結果和討論 #
一、VitroGel STEM維持hPSC的多能性
培養hPSC的關鍵問題之一是不必要的自發分化,導致多能性喪失。由于分化細胞群的純度降低,這將對基因編輯、組織類器官開發、細胞重編程、生化測定和 DNA/RNA 測序等下游應用產生影響。這在基于干細胞的療法中具有重要的意義, 分化細胞的純度對于恢復組織功能至關重要。在VitroGel STEM 中培養 3 天的 3D hPSC 球體上免疫熒光染色顯示,3D hPSC 球狀體保留了多能性標志物 SSEA、OCT4、SOX2 和 TRA-1-60 的高表達水平(圖7)。
圖7 3D hPSC 球狀體中關鍵多能標記物的表達。(上)3天后,形成約100 μM的hPSC球狀體。(下)高質量的hPSC球狀體在3 d內形成,并表達關鍵的多能性標志物SSEA4、OCT4、SOX2和TRA-1-60。
二、hPSC 球狀體分化為中/后腸類器官
hPSC球狀體很容易分化為內胚層。在第3天,收獲hPSC球狀體并在VitroGel STEM中用內胚層分化培養基傳代培養。到第6天,產生約200 μM的內胚層球狀體(圖8)。內胚層球狀體呈致密球形。然后收獲內胚層球狀體,并在VitroGel ORGANOID中用中/后腸分化培養基傳代培養。中腸/后腸分化一天后,類器官的總體形態發生劇烈變化(圖8,第7天),類器官的表面似乎更“不規則”,表明細胞“出芽”,這是上皮組織的共同特征。到第8天,形成更多的上皮“芽”。免疫熒光成像證實,這些類器官表達關鍵的上皮標志物E-Cadherin和中/后腸標志物CDX2(圖8)。
VitroGel水凝膠的創新方法產生了高質量的hPSC球狀體以及類器官。球狀體和類器官的大小是均勻一致的。此外,VitroGel水凝膠支持中/后腸類器官的進一步分化和成熟。
圖8 分化過程中內胚層球狀體(第 6 天)和中/后腸(第 7 天和第 8 天)類器官的形態。(上)分化過程中內胚層球狀體(第6天)和中/后腸(第7天和第8天)類器官的形態。(下)中/后腸類器官表達關鍵標志物CDX2和上皮標志物E-Cadherin。
三、VitroGel ORGANOID 支持中/后腸類器官的長期培養和成熟
在第9天確認中腸/后腸的形成后,收獲細胞并將中腸/后腸與VitroGel ORGANOID混合以進行類器官的形成和成熟(圖9)。VitroGel ORGANOID能夠促進類器官長期培養。到第16天,類器官的尺寸增加,上皮芽明顯增多,這表明類器官進一步生長和成熟。
圖9 VitroGel ORGANOID形成中/后腸類器官
總之,這項研究表明VitroGel STEM可用于培養和維持hPSCs 3D球狀體。甚至可以在從凍存中立即復蘇并形成球狀體后促進hPSC細胞的恢復。使用VitroGel STEM形成的3D hPSC球狀體表達高水平的關鍵多能性標志物, 保持了hPSC的高質量。形成的hPSC球狀體可以很容易地分化成類器官。VitroGel ORGANOID能夠有效地促進類器官的進一步生長和發育,從而實現這些類器官的長期高質量培養。研究表明,VitroGel STEM和VitroGel ORGANOID有效地簡化類器官分化過程,培養的類器官均一性高, 可重復性高,提高了下游檢測的成功率。

注:文中提及的所有的品牌,產品,商標和公司名稱都是屬于商標或注冊商標各自的擁有者。
References
1. Clevers, H. Modeling Development and Disease with Organoids. Cell. 165, 1586–1597 (2016).
2. Kim, J., Koo, B.-K. & Knoblich, J. A. Human organoids: model systems for human biology and medicine. Nat Rev Mol Cell Biol. 21, 571–584 (2020).
3. Chen, K. G., Mallon, B. S., McKay, R. D. G. & Robey, P. G. Human Pluripotent Stem Cell Culture: Considerations for Maintenance, Expansion, and Therapeutics. Cell Stem Cell. 14, 13–26 (2014).
4. Wang, S., Matsumoto, K., Lish, S. R., Cartagena-Rivera, A. X. & Yamada, K. M. Budding epithelial morphogenesis driven by cell-matrix versus cell-cell adhesion. Cell. 184, 3702-3716.e30 (2021).

聯系我們 | 189 1849 5545(微信)
電話 | 021-58785545
http://www.xpbiomed.com/