
|
模型類型 |
誘導方式 |
病理特征 |
適用研究場景 |
|
Ⅰ型模型 |
大劑量STZ |
β細胞完全破壞 |
急性代謝紊亂研究或免疫介導的β細胞損傷研究 |
|
Ⅱ型模型 |
高糖/高脂飲食+低劑量STZ |
外周組織胰島素抵抗+β細胞部分損傷 |
模擬人類2型糖尿病從代償性高胰島素血癥到失代償性高血糖的動態進程 |
02 實驗材料與方法

1 實驗動物
1) 物種:雄性SD大鼠(6-8周齡)或C57BL/6小鼠(8-10周齡)。
2) 飼養條件:SPF級環境,12小時光暗循環,自由飲水。
2 造模方法
1) 高脂飼料配方:60 kcal%脂肪(超高脂)和45 kcal%脂肪(高脂)等多種配方,以及10kcal%脂肪的對照飼料;通常6-8周可建立Ⅱ型糖尿病模型。
2) 飼喂方式:自由進食進水;飼喂前期使用普通飼料搭配高脂飼料進行飼喂,慢慢過渡到完全飼喂高脂飼料
小貼士:飼料需低溫保存,每2-3天更換一次,防止變質
3) 小鼠飼養環境:3只1籠飼養;但多只合籠飼養容易打架,導致小鼠體重下降甚至死亡,必要時可對其進行單籠飼養;使用木屑墊料防止小鼠吃玉米芯墊料。
3 STZ注射
1) STZ配制:冰上溶解STZ于預冷檸檬酸緩沖液(濃度:大鼠30-40 mg/kg,小鼠50-100 mg/kg);
2) STZ注射:注射前禁食6 h,可提高β細胞對STZ敏感性,增加造模易感性;
大鼠:單次腹腔注射30-40 mg/kg
小鼠:單次腹腔注射100 mg/kg,或低劑量多次(如40 mg/kg/天×5天)
對照組注射等體積檸檬酸緩沖液。
小貼士:STZ配制及注射過程中均需避光低溫操作,配制完成后30min內完成注射。
03 模型評估
體重
持續關注小鼠體重變化
高糖飲食造模期間體重呈上升趨勢
STZ注射后體重呈下降趨勢
攝食量
測量攝食量,評估小鼠高脂飼料食用量
血糖
使用血糖儀檢測
小鼠的血糖值范圍一般在80-120 mg/dl之間
血糖濃度超過120 mg/dl為高血糖
濃度低于80 mg/dl為低血糖
血生化
通過ELISA或生化分析儀檢測血清胰島素水平
行為學
糖尿病動物可能表現出進食行為和運動行為的改變,這些變化可通過觀察和特定的行為學實驗進行評估
例如,糖尿病小鼠常表現出飲水量增加、尿糖升高,導致墊料更換頻率增高
病理診斷
組織形態學觀察主要是通過顯微鏡觀察糖尿病動物模型中各組織的病理變化
如胰島形態、細胞排列或免疫組化研究,以評估模型的構建是否成功。
此外,還可觀察腎臟等組織,來評估由糖尿病引發的糖尿病腎病模型。

圖 1 免疫組化標記胰島素,蘇木精反染后的胰腺組織病理學觀察(B)[1]

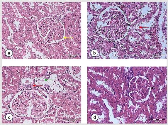
圖 2 HE染色后的腎臟組織(腎臟腎小球和腎小管)病理學觀察 [2]
注:(a) Normal control rats. (b) STZ-induced diabetic rats. (c) Diabetic rats treated with metformin. (d) Diabeticrats treated with F. deltoidea
參考文獻:
【1】 Samsulrizal, N., Yong-Meng, G., Ahmad, H., Syimal’ain Azmi, N., Mohamad Zin, N. S. N., & Mahdi, E. (2020). Infrared spectral markers for the nephroprotective effects of Ficus deltoidea in streptozotocin-induced diabetic rats. bioRxiv, 2020. 4120. https://doi.org/10.1101/2020.12.23.424120.
【2】Murata M, Takahashi A, Saito I, Kawanishi S. Site-specific DNA methylation and apoptosis: induction by diabetogenic streptozotocin. Biochem Pharmacol 57: 881–887, 1999. doi:10.1016/s0006-2952(98)00370-0.