
圖 1. 抗體結構 (左) 和檢測原理 (右) 示意圖
原理:抗體是一種特異性很高的蛋白質,可以識別和結合到特定的抗原上,從而形成抗原-抗體復合物。抗體檢測利用這種特異性反應來檢測體內是否存在特定的抗體。
一抗二抗?傻傻分不清楚
小 M 為大家鋪墊了抗體的基礎知識及原理,接下來作為萌新的你可能就要問了,“抗體好像有兩個?”其實我們常說的抗體指的是第一抗體,即能和抗原特異性結合的蛋白,種類包括單克隆抗體 (monoclonal antibody,mAb) 和多克隆抗體 (polyclonal antibody, pAb)。前者可識別抗原上的單個表位,而后者能夠特異性結合同一目標抗原上的不同結合位點 (圖 2)。

圖 2. mAb 和 pAb 示意圖

表 1. mAb 和 pAb 的主要區別
二抗是能和抗體結合,即抗體的抗體,其主要作用是檢測抗體的存在,放大一抗的信號。一抗可以特異地結合目標蛋白,但通常需要發光物質或者顯色基團標記才能被檢測出來,因此會使用可被檢測出的帶有標記(如帶熒光、放射性、化學發光或顯色基團)的二抗與一抗結合。這樣,當一抗結合到底物上,就可以通過二抗檢測出來。
抗體選擇之一抗
01
根據所做實驗類型選擇抗體。
MCE 官網在產品頁信息 “應用”一欄 列出了該抗體經實驗驗證后所適用的實驗類型。
如,應用:WB, ICC, IF, IHC-P, FC。02
分析樣本種屬
根據樣本種屬選擇抗體。
MCE 官網在產品頁信息 “反應性”一欄列出了該抗體經實驗驗證后所適用的種屬信息。
如,反應性:Human, Mouse, Rat。03
選擇抗體宿主物種
一般說來,在使用偶聯二抗結合無偶聯物的一抗時,一抗宿主動物的物種選擇較為重要。
① 為避免抗免疫球蛋白的二抗與樣品中的內源性免疫球蛋白間發生交叉反應,所選一抗的來源生物體應與樣本中生物體不同。如,若研究小鼠蛋白,則應選擇除小鼠外的生物體產生的一抗。假設選兔源的一抗,二抗則可選擇偶聯了檢測分子 (酶、熒光素、生物素等) 的抗兔 IgG。
② 如果選擇有偶聯物的一抗則不適用上述情況,除免疫組化外的其它對不含內源性免疫球蛋白樣本的檢測方法,則抗體宿主物種的影響不大。
MCE 官網在產品頁信息“宿主”一欄列出了該抗體經實驗驗證后所適用的種屬信息。
如,宿主:Rabbit。
04
分析目的蛋白的結構區域
① 待測樣本蛋白區域:確認免疫原 (全長蛋白、蛋白質片段、多肽、整個生物體或細胞) 與待檢測蛋白區域一致或包含在其內。
② 樣本的提取或處理過程:有些抗體要求樣品用特定方式處理,許多抗體僅能識別已還原和變性的蛋白質(其可暴露出蛋白質折疊形成的二級或三級結構中被隱藏的表位);另一方面,有些抗體僅能識別天然、折疊狀態的蛋白質上的表位。抗體選擇之二抗
01
一抗的種屬來源
根據一抗的物種來源選擇相應的抗該物種的二抗。
① 若一抗是鼠源的單克隆抗體,二抗則選抗小鼠的二抗 (山羊抗小鼠或兔抗小鼠等)。
② 在特殊實驗中,如雙標實驗,若一抗分別為兔源和鼠來源的,則相應的二抗應同時為抗兔和抗鼠,可選用驢來源的二抗。02
二抗的偶聯標記
二抗的偶聯標記類型主要有:
① 酶類標記(如 AP、HRP…)③ 其他標記(如 Biotin…)
選用哪種探針的二抗主要取決于具體的實驗。
如:Western blot 和 ELISA,常用的二抗是酶標二抗;細胞或組織標記實驗 (組織免疫化學,細胞免疫化學,流式細胞術) 中通常使用熒光基團標記的二抗,免疫組化中也可以使用辣根過氧化酶或堿性磷酸酶標記的二抗。抗體選擇之內參
選擇完抗體,還要好好思考,該怎么選擇內參。切忌不管什么樣本,都千篇一律的選擇“GAPDH”或者“β-Actin”。此外,選擇內參時,還需要根據內參蛋白在樣本中相應的表達量進行選擇。給大家整理了一份內參選擇的攻略,請及時收好哦~
表 2. 不同樣本中內參選擇參照標準
1.你真的了解自己的蛋白嗎?
你的蛋白是否容易發生修飾?是否容易產生聚合體?是否存在同工異構體?以及種屬來源都會影響蛋白的分子量。這里,小 M 給大家推薦 “UniProt” 網站,只有了解蛋白的“前世今生”,這世的我們才能 “雙向奔赴”,并“和平相處”呀。
2.你的樣本真的完全裂解了嗎?
這里,小 M 建議選擇合適的裂解液,如 RIPA Lysis Buffer (Strong) 并通過勻漿或超聲破碎的方式,充分使樣本裂解。
3.你真的選擇對的抗體嗎?
科研汪們,切記選擇已驗證過并高特異性的抗體哦。這里,小 M 難免想要凡爾賽一番,小 M 提供的抗體都是具備嚴格,可控的質量標準哦。
4.你的實驗操作真的無錯可挑嗎?
這里,小 M 就實驗操作給大家淺淺的提幾條建議:注意配膠時充分混勻,關注電泳的條件。
1)選擇合適的封閉液(HY-K1027),抗體稀釋液,洗膜液(HY-K1022,HY-K1025)等。
2)配膠過程中,注意膠的狀態。實驗過程中,根據自己的目標蛋白,選擇合適的電泳條件。
目前,MCE 提供 900+ 一抗和多種二抗,涵蓋熱門靶點,助力您的科研成果 “通萬路”!快來看看咱家的明星產品 (因出場位置受限,只邀請了 6 位明星代表):
PI3 Kinase p55 gamma Rabbit pAb
應用:WB, IHC-P, ICC/IF
WB analysis of PI3 Kinase p55
gamma Rabbit pAb on different
lysates.
Lane 1-3:
HEK-293T, 3T3, C6 cell lysates.
應用:WB, ICC/IF, IP
反應物種:Human, Mouse, Rat

WB analysis of Chk1 Rabbit
pAb on different lysates.
Lane 1-3:
THP-1, C6, PC-12 cell lysates.
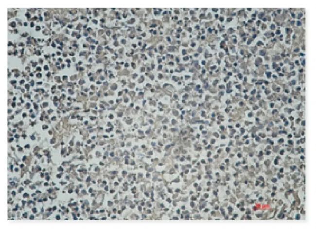
應用:WB, IP, IHC-P
反應物種:Human, Mouse, Rat

IHC-P analysis of paraffin-
embedded human lung cancer
tissue using HDAC4 (A5)
Mouse mAb
ATP Citrate Lyase (3D9) Mouse mAb
應用:WB, ICC/IF, FC, IHC-P
反應物種:Human, Mouse,
Monkey

IHC-P analysis of paraffin-
embedded mouse testis tissue
using ATP Citrate Lyase (D7)
Mouse mAb.
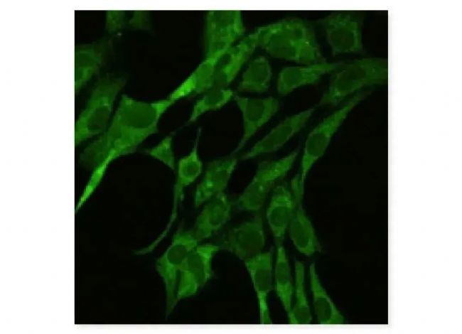
應用:WB, ICC/IF
反應物種:Human, Mouse, Rat

IF analysis of JNK1 (A3)
Mouse mAb in 3T3 cells
using JNK1 antibody.
Phospho-AMPK alpha 1 (Ser496) Rabbit pAb
應用:WB, IHC-P, ICC/IF
反應物種:Human, Mouse, Rat

IF analysis of Phospho-AMPK
alpha 1 (Ser496) Rabbit pAb
in Hela cells using AMPK
alpha 1 (Phospho-Ser487)
antibody.
好啦,我的新朋友就介紹到這里啦!最后的最后,小 M 衷心祝福使用 MCE 抗體產品的科學汪都有機會得到 Science,Cell,Nature 等業內大佬的賞識,咱們下期再會哦!
|
相關產品 |
|
Phospho-AKT1 (Ser473) Rabbit MAb 可檢測 AKT1 在絲氨酸 473 位點的磷酸化。AKT1 圍繞 S473 區域與 AKT2 和AKT3 中的相應區域具有高度相似性,因此如果在相應的絲氨酸上磷酸化,可能會與這些蛋白質發生交叉反應。 |
|
可檢測 alpha-tubulin 總蛋白的內源水平,并不會與重組 β-tubulin 蛋白發生交叉反應。 |
|
可檢測 Bcl-2 總蛋白的內源水平。 |
|
可識別 Caspase-11 總蛋白的內源水平。 |
|
可檢測由 caspase 裂解產生的 PARP1 大片段 (89 kDa) 的內源水平。該抗體不識別全長 PARP1 或其他 PARP 同工型。 |
|
HRP-conjugated AffiniPure Goat Anti-Rabbit IgG (H+L) 在最佳條件下,將抗兔 IgG(H+L)片段與辣根過氧化物酶(HRP)偶聯,在 WB 實驗中用作二抗。 |
|
Alexa Fluor® 488-conjugated AffiniPure Goat Anti-Mouse IgG (H+L) 在最佳條件下,將抗鼠 IgG(H+L)片段與 Alexa Fluor® 488 偶聯。 |