長久以來,高端顯微成像系統操作復雜,一直是許多用戶的共同煩惱。
如果用戶對顯微鏡光路不熟悉,面對這些具有復雜按鈕和外置光學部件的高端顯微鏡時往往一籌莫展。即便工程師預設了觀察方式,根據實驗需要手動選擇和微調,也是一項具有挑戰性的工作。另外,由于寬場熒光成像極易受到環境光影響,因此用戶常需要移步至專門的顯微鏡室,在漆黑寒冷的空調房中操作復雜的儀器,更是顯著增加了用戶的疲憊感。
近日,Evident新世代智能數碼成像系統APX100閃耀發布,解決了上述問題。

APX100是一款外觀設計簡約、內在功能強大的一體式全功能成像系統。同時具有Easy and Efficient(簡潔操作),Exceptional Image Quality(卓越光學品質)的鮮明特點。

APX100采用箱體式設計,外觀采用簡潔圓潤的線條設計,優雅清新的藍白配色,加之適中的體型在視覺上給用戶營造出舒適無壓力的操作氛圍。同時,箱體式的設計可以屏蔽環境光的干擾,因此可以放置在常規的實驗臺上,讓用戶在熟悉且明亮的環境中進行成像實驗。
相比于設計簡約的外觀,APX100的內在功能卻很強大,并在易用性方面更是充分考慮到了用戶的使用需求。
用戶放置好樣品之后,“智能樣品導航”功能自動通過0.07X超低倍率廣角鏡頭獲取全景視角,隨后自動探測樣品的位置,并移動樣品至物鏡正上方,整個過程在10秒內完成。用戶僅需選擇適合的熒光或透射光觀察方式便可即刻開始觀察、記錄。

有了全景視圖充當“導航地圖”,樣品上的每個位置都變得觸手可及。通過鼠標點擊,即可在大范圍內,甚至不同玻片、35mm培養皿間對多個位點來回查看確認。

樣品類型方面,APX100兼容標準玻片、35mm培養皿、多孔板和各種不規則形狀的容器。顯微鏡自動識別當前的樣品類型和批次順序,自動生成相應的文件夾,保存用戶繁復的數據。
如果用戶使用的是多孔板,獲取的數據還會分別存放在對應的孔位文件夾中。貼心的“數據管理”功能,免除用戶面對海量數據無從下手的苦悶,大大提高了科研效率。

盡管APX100操作簡便,但在光學成像品質方面卻不妥協!秉承Olympus百年的光學積淀,APX100搭載了全新開發的 Gradient Contrast (GC)透射光觀察方式。
GC允許用戶在觀察無標記樣品時獲得立體光影效果,相比于相襯(PH),GC圖像沒有影響準確觀察的光暈現象;亦不像微分干涉(DIC)只允許透過玻璃容器進行觀察。該觀察方式可以適用于任何物鏡,在任何容器上都能獲得照明均勻、清晰、高反差的立體感效果。

物鏡作為光學成像系統的核心部件,重要性不言而喻。為了靈活滿足用戶多樣的應用需求,APX100搭載了廣受贊譽的X LINE物鏡,并可按需選配適合觀察活細胞及厚樣品的硅油物鏡,和適合觀察塑料培養皿中生長細胞的長工作距離物鏡。多達25枚廣泛的物鏡選擇可使用戶應對嚴苛的成像需求。

X LINE物鏡
為了讓這些物鏡優異的性能得以發揮,APX100全系標配了電動球差校正部件。用戶在透過玻片、塑料孔板或進行深層觀察時,所需的物鏡球差校正程度各不相同。只有在校正球差的情況下,成像才能達到理想的清晰度,且較小失真。電動球差校正部件允許用戶直接通過軟件調整物鏡球差校正環的位置,充分釋放物鏡的優異性能。




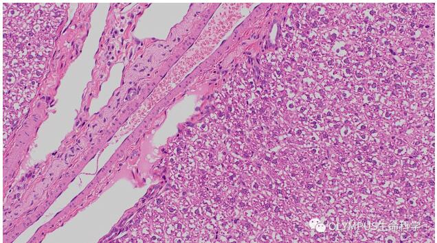
小鼠乳腺
物鏡:UPLXAPO20X
數據出處:中國科學院分子細胞科學卓越創新中心 曾藝組 劉春業



“鏡”觀其變,顯而E見。Evident新世代智能數碼成像系統APX100致力于簡化用戶工作流,提高科研效率。希望在不久的將來,APX100能夠成為您科研道路上堅定的伙伴,伴您一路披荊斬棘,摘得碩果累累。
更多產品信息,請點擊此處獲取。