新品發布:蔡司宮頸細胞學輔助診斷系統隆重上市
瀏覽次數:3040 發布日期:2022-6-8
來源:蔡司顯微鏡
你知道嗎?
宮頸癌是發病率僅次于乳腺癌的女性惡性腫瘤,2020年全球每分鐘就有1例宮頸癌新發病例。中國宮頸癌發病10.97萬例,占世界18.2%,其中死亡人數接近6萬例。
定期進行
宮頸液基細胞學檢查,是早期發現和預防宮頸癌的有效方法。宮頸液基細胞學檢查需要病理醫生在顯微鏡下對上萬個細胞進行形態學觀察,極度依賴病理醫生的診斷經驗,同時宮頸癌篩查樣本量大,也對我國病理醫師人數提出了巨大挑戰。

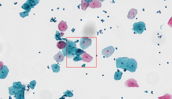
▲ 未明確診斷意義的非典型鱗狀細胞(ASCUS)

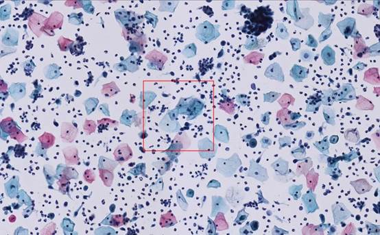
▲ 高級別鱗狀上皮內病變細胞(HSIL)
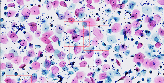
▲ 低度鱗狀上皮內病變細胞(LSIL)

▲ 霉菌
現在,蔡司攜手迪英加科技,推出全新的
宮頸細胞學輔助診斷系統,可以自動識別宮頸液基細胞樣品并快速得到全片數字圖像。細胞學智能模塊實時分析全片圖像,自動定位可疑病變區域,輔助您快速完成宮頸癌篩查與準確診斷。

▲ 蔡司宮頸細胞學輔助診斷系統(蔡司和迪英加科技聯合打造)
助您一站式高效完成篩查和診斷工作
蔡司宮頸細胞學輔助診斷系統集
病理切片全數字化、
細胞學輔助診斷和
鏡下實時復核于一體,無縫融入醫生的日常診斷工作:成為您的“初篩”小助手,提高宮頸細胞學診斷效率和檢出率。進一步助力中國宮頸癌防治能力提升,呵護中國女性健康。
• 全新的
液基細胞自動影像平臺,優異的光學質量,自動記錄樣品中每個細胞的細微差別

▲ 靈活的多張樣品裝載和蔡司最高級別20倍物鏡掃描
• 系統
整合迪英加宮頸細胞學智能分析模塊,自動生成全場切片建議分析結果,輔助醫生篩出大量陰性樣本,同時按照TBS診斷標準提示多種病變細胞和微生物感染種類

▲快速篩出陰性樣本

▲ 按照TBS診斷標準識別多種病變細胞和微生物感染種類
• 您還可以
快速查看病例詳情,點擊可疑細胞,顯微鏡實時定位,幫助您實時鏡下復核

▲實時定位,直接鏡下復核比對
中國防治宮頸癌相關政策
✓ 2009年,宮頸癌和乳腺癌作為“兩癌篩查”列入中國婦幼重大公共衛生項目。
✓ 2019年,“兩癌篩查”納入國家基本公共衛生服務項目。
✓ 2020年:世界衛生組織(WHO)發布《加速消除宮頸癌全球戰略》,標志著包括中國在內的194個國家首次一致承諾消除一種癌癥。
✓ 2022年1月,衛健委發布《宮頸癌篩查工作方案》, 方案指出要積極運用互聯網、人工智能等技術提高基層宮頸癌篩查能力。
關于迪英加科技
病理AI企業,專注AI+數字病理領域20余年,提供數字化、信息化、智能化病理科建設完整解決方案,全方位覆蓋新一代病理科建設各方面需求,助力中國病理學科發展,為中國患者提供疾病初篩和精準診斷解決方案,以科技創新,助力健康中國。