新品來襲——ImageXpress® Confocal HT.ai 智能化共聚焦高內涵成像分析系統

ImageXpress® Confocal HT.ai 智能化共聚焦高內涵成像分析系統采用了具有 8 個成像通道的 7 色激光光源,實現了高擴展性的多通道成像分析,同時通過縮短曝光時間保持高通量。ImageXpress® Confocal HT.ai 智能化共聚焦高內涵成像分析系統水鏡系統提高了圖像分辨率,并將像差最小化,這樣科學家就可以更深入地看到厚樣品。
MetaXpress® 軟件和 IN Carta ™ 軟件的強大組合簡化了高級表型分類和 3D 圖像分析的工作流程,具有機器學習能力和直觀的用戶界面。
ImageXpress® Confocal HT.ai 智能化共聚焦高內涵成像分析系統
主要特點
• 8 通道的 7 色激光光源,與 LED 光源相比,可以產生更明亮的圖像和更高強度的信號,同時將大多數 3D 類器官和球體分析的采集速度提高一倍。
• 轉盤共聚焦技術,減少失焦光產生的干擾,使組織穿透更深,產生更清晰的圖像,提高軸向分辨率。
• 自動化水鏡技術,在不犧牲速度的情況下,提供高達 4 倍的信號增強,達到更大的靈敏度和圖像清晰度。
• IN Carta 軟件,利用現代化的機器學習技術,實現易操作的、以工作流引導式的高內涵圖像分析。
精準助力探索更多可能
• AgileOptix ™ 轉盤共聚焦技術消除了失焦光線的干擾,并提供了對厚組織樣本
更深入的了解
• 機器學習減少了分類錯誤,增強了對復雜模型的高通量篩選和分析
• 快速地成像和識別細胞和細胞內事件
• 無偏向的細胞分割和表型特征提取

精準助力探索更多可能
AgileOptix ™ 轉盤共聚焦技術是 MD 公司特色的光學系統,可以輕松地切換和設置拍攝模式以達到更佳拍攝和分析效果。
ImageXpress Confocal HT.ai 智能化共聚焦高內涵成像分析系統采用 AgileOptix 技術。共聚焦配置選項中,包括多種可選擇的共聚焦轉盤和 7 個激光激發通道,使得配置選擇更方便,可實現針對獨特實驗需求的多樣化靈活配置。智能化設計的光學器件配套高功率激光器和 sCMOS 檢測器增強了靈敏度。
8 個成像通道
• DAPI • CFP • FITC • YFP
• TRITC • Texas Red • Cy5 • Cy7

支持亞細胞到整體組織水平的成像分析
• 更廣的樣品適用性 ( 超過 25 種物鏡可選 )
• 油鏡數值孔徑可達 1.4
• 空氣鏡數值孔徑可選 0.05 到 0.95 ( 1X 到 100X 物鏡均可配置 )
• 水鏡數值孔徑可達 1.2 ( 可配置 20X, 40X, 和 60X 物鏡 )
選擇更適合實驗需要的轉盤共聚焦模塊

* sCMOS 確保性能的實現
性能

“ 靈活 ”助力探索更多可能
利用 3D 培養模型,得到更接近體內實驗數據
QuickID 靶向性圖像獲取
QuickID 通過低倍鏡下對感興趣的物體或罕見事件進行排序,然后在高倍放大下自動成像。它可以靈活地獲取各種格式和大小的圖像,并且可以根據不斷變化的研究需求進行縮放。

采用 QuickID 實現了球體圖像采集的流程化。 在低倍鏡下獲取的圖像可以在
一個視場內觀察整個孔,用于識別目標,并在更高倍鏡下使用 Z 軸多層掃描
的 3 色熒光通道自動重新成像。
復雜的 3D 培養細胞模型越來越多地用在藥物研發和基礎研究中,主要是因為與單層和 2D 培養模型相比,3D 模型更接近體內環境,能夠得到更具預測性和有生理學意義的結果。ImageXpress Confocal HT.ai 系統為 3D模型的檢測提供了一個簡便快捷的方法,樣品即使是生長在厚的 Matrigel中,也可得到更jingque的結果。系統提供了靈活的成像體驗和多種配置選擇,例如激光光源和水鏡系統,可提高樣品檢測深度以及消除光學像差。
樣品圖像更清晰、數據更準確
• 3D 細胞球 • 厚組織切片樣品 • 類器官 • 細胞染色 • 斑馬魚和線蟲 • 均相免洗實驗

3D 膠中培養的細胞核和骨架染色。 40X 平場復
消色差物鏡拍攝 , Z 軸 7 層投射處理后的圖像。
完整性體系的、高通量的長時程動力學檢測
使用 ImageXpress Confocal HT.ai 系統可以快速、便捷地擴大 3D 藥物發現的實驗規模。利用透射光和多種熒光細胞標記物,該系統可用于準確監測類器官生長和細胞動力學。濕度、CO2 水平,以及溫度調控的環境控制模塊可保持細胞的活力狀態,以進行從幾分鐘到幾天不等的延時實驗。

U 型圓底微孔板中的細胞球圖片。 實驗根據濃度作用篩選化合物的量效曲線。一個視野可覆蓋整個細胞球,全板掃描后將 384 孔板整板拼圖,得到整板大圖。右圖為濃度依賴的活細胞數曲線圖。
“ 高效 ”助力探索更多可能
無縫銜接的工作流程提供了完整的解決方案用于篩選高度復雜的生物問題
智能化共聚焦高內涵系統有整合環境控制的全套解決方案,可以用簡單的操作流程探索最復雜的生物學問題。
采集圖像
MetaXpress® 高內涵圖像采集和分析軟件強大的控制功能,可在同一個界面中完成圖像采集和數據分析的全部工作。
• 完備的聚焦方式 ( 激光 + 圖像自動聚焦 ),可實現整個樣品的jingque聚焦
• 活細胞長時間拍攝,可檢測細胞增殖、死亡、分化和遷移,病毒和細菌的侵染,腫瘤細胞轉移,趨化,藥物毒性,轉位等多種生物學現象
數據分析
無論您需要常規分析還是特殊定制分析, MetaXpress 均可滿足您快速jingque分析數據的需求。
預置模塊一鍵式操作,上手簡單,可實現上百種實驗分析
• 用戶自定義編輯模塊,應用靈活,包含多種濾鏡和算法,可出品專屬您的分析方法
• 背景自適應修正 (Adaptive Background CorrectionTM) 可根據鄰近背景熒光強度值去除背景,并進行目標樣品的分割,以達到更佳的分割效果
• 2D 投射成像,包括 best focus,maximum,minimum 和亮度疊加投射,可輕松實現 3D 圖像的分析
• 3D 體積分析評估、 XYZ 位置、到鄰近物體的距離、直徑、深度、各種熒光強度測量、紋理或物體數量
• 所有分析參數均可分別得到每個細胞的相應數值或每個視野的平均值

“ 簡便 ”助力探索更多可能
強大的分析結合了直觀的用戶界面和機器學習能力,簡化了高階的表型分類和 3D 圖像分析的工作流程IN Carta 圖像分析軟件
IN Carta 軟件使得使用者對圖像復雜性的接受變得更簡單。通過結合強大的分析功能和現代化的用戶界面,從2D、3D 和延時數據中獲得生物學見解的過程變得更加高效。機器學習技術和引導式的工作流程創造了更好的用戶體驗,從而使得高階的表型分析變得更直觀,結果更可靠。不需要圖像分析專家或冗長的調整和測試實驗參數。IN Carta 軟件承擔了繁重的工作,這樣科學家就可以專注于他們的研究。
• 引導式的工作流和可擴展的批處理功能提升了工作效率。無需浪費時間在繁瑣的分析設置方面
• 優化過的計算模式通過可視化方式快速提供無偏差結果
• 機器學習技術利用更多的信息,減少高內涵篩選數據分析中的錯誤,助力研究人員探索更多新發現
• 直觀的用戶體驗和前沿技術更大限度地減少了軟件學習曲線,消除了“ 高效、簡便 ”地進行圖像處理分析的障礙

IN Carta 軟件中散點圖數據顯示核面積 ( x 軸 ) 和核直徑 ( y 軸 ) 的分布。

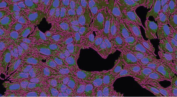
分割 Mask 代表細胞核 ( 藍色 )、內質網 ( 綠色輪廓 ) 和肌動蛋白絲 ( 洋紅色輪廓 )。