結直腸癌(CRC)是全球發病率第三高、致死率第二高的惡性腫瘤。目前,僅有15%的CRC患者能夠從免疫檢查點阻斷(ICB)治療中獲益。一個重要原因在于腫瘤細胞對其新陳代謝進行重編程以產生專門的代謝物,這些代謝物既能促進自身的生長,又能促進腫瘤免疫逃避,即腫瘤以促進浸潤CD8+ T細胞耗竭和失活的方式重塑其微環境,從而導致“免疫逃逸”的發生。然而,這些功能之間的關系尚不清楚。
2024年7月,武漢大學生命科學學院李友軍教授團隊在國際主流學術期刊《Nature communications》在線發表了題為“Inhibition of DUSP18 impairs cholesterol biosynthesis and promotes anti-tumor immunity in colorectal cancer”的研究論文。武漢大學生命科學學院李友軍教授為該論文的通訊作者,生命科學學院博士研究生周小軍為該論文的第一作者。武漢大學生命科學學院與醫學研究院為該研究提供了技術和平臺支持。
該研究結直腸癌免疫逃逸這一現象為切入點,揭示了DUSP18作為新的調控膽固醇生物合成的因子,來促進腫瘤微環境中羊毛甾醇的積累進而限制T細胞的活化,最終促進CRC的免疫逃逸。

研究材料
在這項研究中,研究人員構建了腸上皮細胞Dusp18條件性敲除小鼠模型(其中Dusp18條件性敲除小鼠模型由賽業生物提供)。體外研究則采用了Dusp18-KD的MC38和HCT116的細胞系
技術方法
研究人員采用了多種技術,包括CRISPR篩選、小鼠模型、細胞培養、流式細胞術、免疫組化、蛋白質、單細胞分析,轉錄組學和代謝組學等。
技術路線

研究結果
1.sgRNA文庫篩選鑒定DUSP18促進CRC免疫逃逸
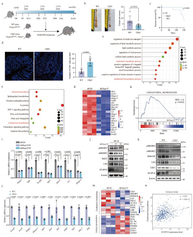
研究人員通過sgRNA文庫篩選,并尋找與細胞毒性T淋巴細胞(CTL)評分負相關的交集基因,其中最值得注意的是Dusp18。與正常結直腸組織相比,CRC樣本中DUSP18 mRNA的表達水平也較高。在DUSP18 mRNA低表達的CRC患者中,CTL評分高的患者生存率更高,而DUSP18 mRNA高表達且CTL評分高的患者生存率更低。為了確定抑制Dusp18是否會影響T細胞介導的抗腫瘤功能,研究人員在MC38 CRC細胞和表達卵清蛋白(OVA)的B16黑色素瘤(B16-OVA)細胞中進行shRNA介導的Dusp18抑制。敲低Dusp18并不影響腫瘤細胞在體外的增殖或腫瘤在免疫缺陷裸鼠體內的生長。然而,抑制Dusp18確實會影響免疫功能正常小鼠中腫瘤生長并延長其生存時間,而清除CD8+ T細胞則可以消除敲低Dusp18引起的腫瘤生長劣勢。因此,上述結果表明,DUSP18通過CD8+ T細胞依賴的方式來促進CRC的免疫逃避。

圖1 抑制Dusp18表達可增強腫瘤浸潤性CD8+T細胞的功能
2.抑制DUSP18會影響膽固醇的生物合成
為了確定抑制DUSP18表達抗腫瘤免疫的分子機制,研究人員對shCtrl和shDusp18 MC38細胞進行RNA-seq分析。GO和KEGG分析顯示,shDusp18細胞中下調的基因主要是參與膽固醇生物合成及其下游代謝途徑。基因集富集分析(GSEA)也顯示,與膽固醇穩態相關的基因在對照細胞中呈正富集。隨后通過進一步證實,在shDusp18 MC38細胞和CKO(腸道上皮特異性DUSP18缺失的小鼠)腫瘤組織中(由賽業生物構建的小鼠),膽固醇生物合成基因的mRNA表達和蛋白水平下降。此外,研究人員還對shCtrl和shDUSP18人CRC HCT116細胞進行RNA-seq分析,以驗證在小鼠MC38細胞中的結果。GO、KEGG和GSEA分析均顯示,抑制DUSP18可顯著降低膽固醇生物合成途徑相關基因的表達。總之,上述研究結果都支持DUSP18通過調節細胞膽固醇的生物合成來調控腫瘤相關的免疫環境。

圖2 抑制Dusp18表達降低膽固醇的生物合成
3.TME中的腫瘤細胞來源的羊毛甾醇促進CD8+T細胞失活
研究人員后續猜想膽固醇生物合成途徑中的一種或多種中間產物可能是抑制CD8+T細胞功能的原因。利用膽固醇代謝組學測定MC38腫瘤間質中這些中間產物代謝水平,發現下調幅度最大的是羊毛甾醇(40%)。為了直接確定其相關性,研究人員用羊毛甾醇處理原代CD8+T細胞,結果顯示羊毛甾醇以劑量依賴的方式降低CD8+T細胞的活化。據報道,羊毛甾醇可促進HMG-CoA還原酶(HMGCR)的泛素化和蛋白酶體降解,而HMGCR是甲羥戊酸途徑中的限速酶。與此一致的是,研究人員發現在小鼠原代CD8+T細胞細胞中,羊毛甾醇處理降低HMGCR蛋白水平,進一步抑制小鼠原代CD8+T細胞中的KRAS蛋白豐度以及ERK和AKT信號傳導。這些結果表明,腫瘤來源的羊毛甾醇作為一種免疫抑制代謝物,通過降低HMGCR蛋白水平從而影響KRAS-ERK信號傳導來限制CD8+T細胞的細胞毒性功能。

圖3 Dusp18驅動的TME中的羊毛甾醇促進CD8+T細胞失活
4.DUSP18 在CRC患者中過表達,可預測免疫荒漠
研究人員還進一步利用CRC臨床樣本驗證了本文發現的信號軸在腫瘤=組織中高度上調,也基于單細胞數據分析發現DUSP18的表達與腫瘤浸潤CD8 T細胞功能之間的相關性。

圖4 DUSP18 在 CRC 患者中過表達,可預測免疫荒漠
總結

圖5 DUSP18在促進免疫逃避中的代謝作用[1]
該研究結果揭示了DUSP18在促進免疫逃避中的代謝作用。研究人員發現DUSP18抑制和免疫檢查點阻斷聯合使用可增強CRC小鼠模型中CD8+ T細胞的抗腫瘤活性。這提示了一種潛在的聯合治療形式,在靶向代謝和免疫因子的基礎上激活并維持CD8+ T細胞的抗腫瘤活性。
參考文獻:
Zhou, X., Wang, G., Tian, C., Du, L., Prochownik, E.V., and Li, Y. (2024). Inhibition of DUSP18 impairs cholesterol biosynthesis and promotes anti-tumor immunity in colorectal cancer. Nature Communications 15, 5851. 10.1038/s41467-024-50138-x.