2025年9月8日,由東方醫院曾欣團隊和中國人民解放軍海軍軍醫大學第二附屬醫院林勇團隊合作完成的題為“Gut-derived indole propionic acid alleviates liver fibrosis by targeting profibrogenic macrophages via the gut‒liver axis”的研究論文在《cellular & molecular immunology》發表。該研究首次證實腸源性 IPA 可通過腸-肝軸調控肝臟巨噬細胞,驅動其抗纖維化作用,為肝纖維化臨床治療提供了新的候選藥物。
南模生物為該研究提供了 Ccr2-KO(目錄號 NM-KO-190018)、Ahr-Flox(目錄號 NM-CKO-200060)、Lrat-2A-Cre(目錄號 NM-KI-190097)小鼠。

哺乳動物體內具有數以萬億計的微生物群,遍布各個部位,包括皮膚、唾液、口腔粘膜等部位,其中大多數存在于胃腸道。近些年,腸道微生物衍生的代謝物及功能機制逐漸被揭示,相關代謝產物作為機體代謝反應的信號分子和底物,影響著宿主生理、病理等過程。
腸-肝軸作為通過門靜脈循環和膽道樹連接胃腸道和肝臟的橋梁,被認為是介導腸道菌群、代謝物、肝臟代謝、炎癥和免疫之間雙向串擾的關鍵模式。隨著代謝組學和其他大規模分析技術的進步,越來越多的證據闡明了腸道微生物衍生的代謝物通過腸-肝軸對纖維化的潛在和深遠影響,這為肝硬化患者的治療干預提供了潛在的靶點。
色氨酸是一種必需氨基酸,腸道中多種細菌可直接將色氨酸降解為多種代謝物,包括吲哚、吲哚乙醇(IE)、吲哚丙酸(IPA)、吲哚乳酸(ILA)、吲哚乙酸(IAA)、吲哚醛(IAld)、吲哚丙烯酸(IA)、甲基吲哚和色胺等。其中,吲哚丙酸IPA被認為可以緩解炎癥性腸病,并且在多種肝臟疾病中發現糞便和循環的IPA水平降低。
這些線索是否暗示了IPA可能影響著肝纖維化?具體機制是什么?以及是否具有靶向治療意義?
因而,研究者嘗試探索 IPA 在肝纖維化中的潛在作用。
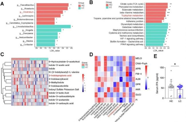
肝硬化患者糞便中的 IPA 顯著低于對照組
研究者針對 14 名肝硬化患者與 14 名健康對照者的糞便樣本進行了宏基因組測序和代謝組學測定,并就色氨酸代謝進行相應的分析。值得注意的是,肝硬化患者的色氨酸代謝途徑發生了顯著變化。在肝硬化患者樣本中有助于 IPA 生成的梭狀芽孢桿菌豐度降低,說明肝硬化患者色氨酸代謝相關腸道生態的紊亂。并且,肝硬化患者樣本中的 IPA、吲哚-3-羧酸(I3CA)和3-甲基吲哚(3MI)水平顯著低于健康對照者,且 IPA 與幾個肝纖維化相關指標呈顯著負相關。

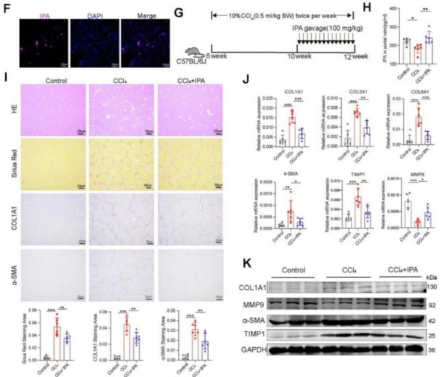
為探索 IPA 與肝纖維化的具體聯系,研究者構建了 CCl4 誘導的肝纖維化小鼠模型,并使用 Cy7 標記的IPA以追蹤胃腸道 IPA 的遷移和攝取軌跡。在灌胃后三小時內,Cy7-IPA 穿透肝臟。在連續灌胃 14 天后,門靜脈中的 IPA 濃度顯著增加,表明 IPA 可以通過腸-肝軸易位到肝臟;血清 AST、ALT、TNFα 和 IL-1β 水平明顯降低,COL1A1、COL3A1、COL6A1、α-SMA 和 TIMP 表達下調,MMP9 表達增加,說明 IPA 顯著抑制了肝纖維化。

圖2. IPA 可抑制 CCl4 誘導的肝纖維化小鼠的肝纖維化。
IPA 在抗纖維化中發揮多種作用
研究者采用單細胞 RNA 測序(scRNA-seq)和批量 RNA 測序(RNA-seq)研究 IPA 對抗纖維化途徑和參與肝臟纖維化的必需纖維化細胞群的影響。RNA-seq 分析表明,IPA 可以顯著抑制促纖維化和促炎基因途徑。scRNA-seq 分析表明,在分類的 10 個細胞群中,單核細胞或巨噬細胞(單核細胞/巨噬細胞)簇在 IPA 給藥后在百分比和數量上均表現出最顯著的減少;并且成纖維細胞簇中纖維化特征的轉錄也被明顯抑制;此外,肝細胞簇的 scRNA-seq 分析表明 IPA 促進肝功能相關基因的表達,如肝細胞核因子(HNF)4α、HNF1α和Cyp1a2。這些數據表明 IPA 在抗纖維化中可發揮多種作用。
圖3. IPA 在抗纖維化中可發揮多種作用。
IPA 直接靶向肝臟巨噬細胞,驅動其抗纖維化作用
鑒于 IPA 在肝纖維化中的多細胞作用,研究者使用 Cy7-IPA 灌胃CCl4 處理后小鼠,從而確定 IPA 的直接靶細胞。結果表明,在 Cy7-IPA 灌胃后 3 小時、12 小時、48 小時和14 天,Cy7-IPA 信號主要由 F4/80 巨噬細胞捕獲。基于 scRNA-seq 數據可知,實驗組的促纖維化和促炎通路受到抑制。
圖4. F4/80 巨噬細胞捕獲 Cy7-IPA,其促纖維化和促炎通路被抑制。
研究者進一步在體外模型中進行研究,使用100μM IPA或 DMSO 處理 PMA 誘導分化的 THP-1 細胞,并在細胞層面上進行一系列細胞因子的檢測。正如預期的那樣,IPA 降低了促纖維化和促炎細胞因子(TNFα、CCL2、TGFβ1等)的表達,并抑制了 THP-1 細胞中 NF-κB 和 Wnt/β-catenin 信號傳導的活性。
圖5. IPA可降低 THP-1 細胞中促纖維化和促炎細胞因子表達。
研究者回到小鼠模型,利用氯膦酸鹽脂質體構建了巨噬細胞耗竭小鼠模型,并進一步探索 IPA 在體內的抗纖維化作用與巨噬細胞的關系。結果表明,當巨噬細胞耗竭后 IPA 在體內的抗纖維化作用也被阻斷。以上證據表明 IPA 直接靶向肝臟巨噬細胞,驅動其抗纖維化作用。
圖6. 在巨噬細胞耗竭小鼠模型中,IPA 的抗纖維化用被阻斷。
IPA 調節 AhR/NF-κB 通路,抑制巨噬細胞促纖維化功能
由于常見 IPA 受體有芳烴受體(AhR)和孕烷X受體(PXR),而巨噬細胞主要表達 AhR。因此,研究者懷疑 AhR 介導 IPA 在巨噬細胞中的作用,并構建了 AhR-KO 的 THP-1 細胞。結果表明,體外 AhR 缺失阻斷了 IPA 對促炎細胞因子的抑制作用,并恢復了 NF-κB 信號通路的激活。
圖7. THP-1 細胞中 AhR 的缺失影響 IPA 的抑制作用。
研究者進一步構建了AhR 藥物抑制模型與巨噬細胞特異性敲除模型,結果表明AhR 拮抗劑 CH223191 阻礙了 IPA 對體內促炎信號傳導和膠原蛋白沉積的抑制作用;而在巨噬細胞特異性 AhR 敲除小鼠中,IPA 的抗纖維化作用同樣被中斷。
圖8. AhR 藥物抑制與巨噬細胞特異性敲除小鼠同樣影響 IPA 的抑制作用。
IPA 抑制 S100A8/A9 巨噬細胞,改變鞘脂代謝以減弱纖維化
研究者在 scRNA-seq 數據中進一步分析,觀察到了 S100A8 / A9 巨噬細胞亞簇。將 S100A8/A9 巨噬細胞與其他巨噬細胞亞群進行比較的基因集變異分析 (GSVA) 顯示,S100A8/A9 巨噬細胞的纖維發生途徑顯著富集。熱圖、KEGG 分析、CellPhone DB、流式分析發現 S100A8/A9 巨噬細胞與成纖維細胞存在互作,并且 IPA 抑制巨噬細胞促纖維化和促炎基因和通路的表達、顯著減少了體內 S100A8/A9 巨噬細胞的數量。
圖9. GSVA、熱圖、KEGG分析、CellPhone DB、流式分析等表明 IPA 減少 S100A8/A9 巨噬細胞數量,并抑制其促炎化。
據報道,S100A8 和 S100A9 可以上調以響應持續炎癥,S100A8/A9 巨噬細胞富含促炎途徑,特別是 NF-κB 信號通路。AhR 與 RelA(p65)相互作用,從而抑制 p-p65 和 NF-κB 活性。研究者通過 CUT&Tag 和雙熒光素酶報告基因測定,驗證了 p65 直接與 S100A8 和 S100A9 的啟動子結合并增強其活性,明確了 IPA 通過 AhR/NF-κB/S100A8/A9 軸抑制 S100A8/A9⁺ 巨噬細胞的分化。
圖10. IPA 通過 AhR/NF-κB/S100A8/A9 軸抑制 S100A8/A9⁺ 巨噬細胞的分化。
鞘脂代謝是各種炎癥性疾病中巨噬細胞炎癥反應的觸發因素。作為鞘脂代謝途徑中的主要代謝產物,S1P 具有強大的促炎和促纖維化功能,可加重肝臟纖維化。而在THP-1 細胞中使用IPA、AhR 激動劑/拮抗劑處理,ELISA 顯示 IPA 降低了 S1P 水平,而這種降低被 AhR 拮抗劑阻斷,表明 IPA 通過改變鞘脂代謝而減弱巨噬細胞促纖維化和促炎表型,從而減輕肝纖維化。
圖11. IPA 抑制 S100A8/A9 巨噬細胞,改變鞘脂代謝以減弱纖維化。
IPA 通過巨噬細胞-造血干細胞軸改善肝纖維化
為了確定 IPA 對巨噬細胞和造血干細胞之間串擾的影響,研究者將 THP-1 和 LX2 細胞在 transwell 培養系統中共培養。IPA 遞送后 24 小時,共培養的 LX2 細胞的激活受到抑制,COL1A1、α-SMA 和 TIMP1 表達顯著降低,MMP9 表達增加,p-Smad2/3 的表達被抑制。而敲除 AhR 可有效阻斷 IPA 對 HSC 激活的抑制作用。研究者使用 3D NAC-肝臟球體來驗證IPA的抗纖維化作用,組織學、免疫組織化學染色和 ELISA 結果顯示,IPA 處理 48 小時后,肝纖維化和炎癥特征明顯受到抑制。以上研究說明 IPA 可通過巨噬細胞-造血干細胞軸改善肝纖維化。
圖11. IPA 通過巨噬細胞-造血干細胞軸改善肝纖維化。
綜上所述,研究人員發現了14 名肝硬化患者中的腸道菌群色氨酸代謝途徑發生顯著變化,其中關鍵代謝產物 IPA 與肝纖維化呈現顯著負相關。通過使用 CCl4 誘導的肝纖維化小鼠模型,研究人員確定了 IPA 給藥可顯著抑制肝纖維化。借助小鼠與細胞等多種模型分析,IPA 直接靶向肝臟巨噬細胞,通過調節 AhR/NF-κB 通路,調控巨噬細胞的分化與促纖維化功能。總之,該研究增加了對腸源性色氨酸代謝物 IPA 通過腸道-肝軸對肝纖維化的調節作用的理解,為 IPA 在開發肝纖維化治療策略中的潛力提供了令人信服的證據。
關于我們
上海南方模式生物科技股份有限公司(Shanghai Model Organisms Center, Inc.,簡稱"南模生物"),成立于2000年9月,是一家上交所科創板上市高科技生物公司(股票代碼:688265),始終以編輯基因、解碼生命為己任,專注于模式生物領域,打造了以基因修飾動物模型研發為核心,涵蓋多物種模型構建、飼養繁育、表型分析、藥物臨床前評價等多個技術平臺,致力于為全球高校、科研院所、制藥企業等客戶提供全方位、一體化的基因修飾動物模型產品解決方案。
歡迎通過以下方式聯系我們:
💬 微信公眾號「南模生物SMOC」在線咨詢
📞 撥打400-728-0660
📧 發送郵件至marketing@modelorg.com