脊髓損傷(SCI)對患者來說是一種毀滅性打擊,會立即影響患者的感知、運動和自主神經功能。由于中樞神經系統再生能力有限,這些患者可能面臨終身殘疾。神經再生的最大難題在于,損傷后的病理微環境會改變多種細胞的發育,并觸發瘢痕形成,進而阻止受損軸突在損傷部位再生。
作為中樞神經系統內長期駐留的免疫細胞,小膠質細胞在微環境調控和瘢痕形成中發揮關鍵作用。之前的研究表明,小膠質細胞在瘢痕清除中起作用,為受損脊髓的修復和再生提供了潛在途徑。不過,目前尚無有效策略來靶向成人脊髓中的小膠質細胞,因此缺乏治療手段來抑制SCI患者的瘢痕形成。
同濟大學程黎明教授、高紹榮教授、朱融融教授領導的研究團隊近日通過多組學分析發現FBXL12是抑制瘢痕形成的有效靶點。過表達FBXL12的小膠質細胞可實現無瘢痕愈合,再生軸突可穿過損傷中心并向下生長超過2.4 mm,顯著改善運動功能。這項成果于8月20日發表在《Signal Transduction and Targeted Therapy》雜志上,為SCI患者的恢復提供了新的分子靶點和干預策略。

研究材料與方法
在這項研究中,研究人員建立了基于壓迫性損傷的小鼠SCI模型,并開展了RNA-seq、基于LC-MS的mRNA修飾分析和表觀轉錄組芯片分析。在體外實驗中,他們使用了敲除Fbxl12、及由FBXL12和FBXL12-T128A過表達的慢病毒載體構建Fbxl12WT-OE和Fbxl12MUT-OE的SIM-A9小膠質細胞系(由賽業生物提供),進行了細胞功能、細胞形態及轉錄水平的檢測。在體內實驗中,在損傷后7天向小鼠體內注射AAV-FBXL12(由賽業生物提供),并檢測瘢痕標志物和軸突標志物以及評估神經傳導和小鼠后肢運動功能。
技術路線
通過多組學分析確定m6A是SCI前后主要的修飾形式,而Fbxl12是主要修飾靶點
↓
體外分析顯示FBXL12調控細胞骨架重組并促進小膠質細胞遷移
↓
AAV-FBXL12治療可減少脊髓損傷后的瘢痕形成并促進小鼠神經功能恢復
↓
機制分析表明FBXL12-MYH14-K63泛素化是小膠質細胞骨架重組的關鍵通路
研究結果
Fbxl12的m6A甲基化是潛在的SCI調控因子
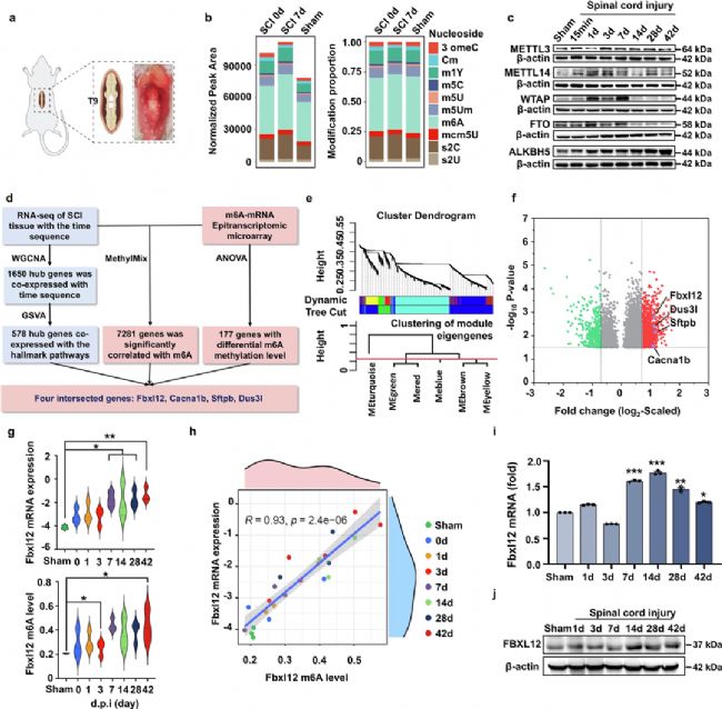
N6-甲基腺苷(m6A)是最常見的mRNA轉錄后修飾,介導多個mRNA代謝過程。之前的研究發現,m6A信號傳導對成人中樞神經系統內的軸突再生至關重要。于是,研究人員建立了基于壓迫性損傷的小鼠SCI模型,并對受損脊髓組織進行了RNA-seq、基于LC-MS的mRNA修飾分析和表觀轉錄組芯片分析。研究結果表明,m6A是SCI前后主要的修飾形式(圖1),且m6A整體水平在SCI的急性期顯著升高。
通過整合轉錄組和表觀轉錄組數據,他們鑒定出4個關鍵m6A靶基因,其中Fbxl12(編碼SCF型E3泛素連接酶復合物的底物識別組分)是變化最顯著的基因。與對照組相比,Fbxl12的mRNA表達和m6A水平在SCI后顯著升高。免疫印跡和qPCR分析也證實了Fbxl12表達在SCI進展過程中上調(圖1)。這些轉錄組學數據表明m6A修飾與Fbxl12之間存在功能性關聯,這些關聯與SCI進展的調控相關。

圖1. Fbxl12的m6A甲基化可能調控著SCI進展過程
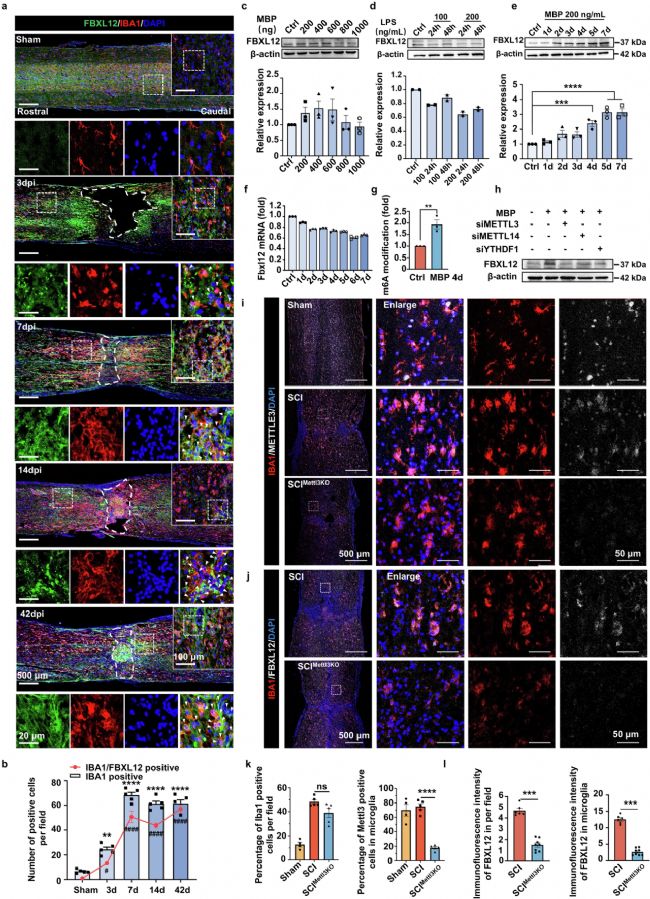
為了進一步驗證SCI后表達Fbxl12的主要細胞類型,研究人員分別使用細胞類型特異性標記物NeuN、IBA1、GFAP 和 OLIG2 對神經元、小膠質細胞/巨噬細胞、星形膠質細胞和少突膠質細胞進行了免疫共染色。脊髓損傷組織的免疫共染色結果顯示,在損傷部位近端(300 μm區域),95%的激活小膠質細胞呈FBXL12陽性,而在損傷部位遠端,僅有9.5%的靜息小膠質細胞表達FBXL12。在體外實驗中,用髓鞘堿性蛋白(MBP)處理小膠質細胞可上調Fbxl12的表達,并顯著提高Fbxl12 mRNA中的m6A水平。這些結果表明,m6A修飾可能促進了FBXL12蛋白的翻譯。
后續的分析發現,敲降m6A “writer”(METTL3/METTL14)或“reader”(YTHDF1)可以抑制小膠質細胞中FBXL12的翻譯。使用AAV-Mettl3敲除小鼠脊髓小膠質細胞中的Mettl3后,Fbxl12表達顯著下降,且沒有改變損傷部位周圍小膠質細胞的數量。這些數據表明,m6A修飾促進了激活小膠質細胞中FBXL12的翻譯。

圖2. m6A促進小膠質細胞中FBXL12的合成
FBXL12調控細胞骨架重組并促進小膠質細胞遷移
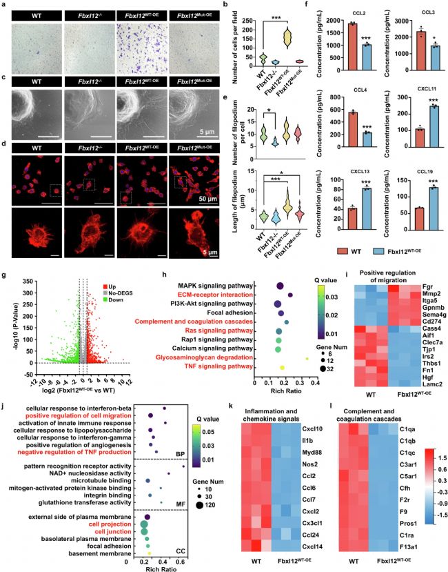
接下來,研究人員深入探究了FBXL12在小膠質細胞中的功能。他們使用慢病毒載體(由賽業生物提供)在SIM-A9小膠質細胞中對FBXL12基因進行過表達、突變。結果顯示,FBXL12過表達可顯著增強SIM-A9小膠質細胞的遷移能力,而FBXL12缺失則顯著抑制遷移。這一結果在經AAV編輯的出生后第2天小鼠的原代小膠質細胞中得到了驗證。通過掃描電鏡觀察由FBXL12過表達和敲除引起的小膠質細胞的形態改變,圖像顯示,Fbxl12過表達的小膠質細胞呈現立體飽滿的形態,絲狀偽足數量顯著增加;而Fbxl12敲除細胞則明顯扁平化。同時檢查了FBXL12 過表達和敲除對小膠質細胞增殖及吞噬能力的影響。綜上,這些結果表明FBXL12調節細胞骨架重組并促進小膠質細胞的遷移,但抑制其增殖。
作為中樞神經系統的駐留免疫細胞,小膠質細胞承擔著監控微環境的職責。為此,研究人員進一步探究了Fbxl12對小膠質細胞趨化功能的影響。結果顯示,Fbxl12過表達導致炎癥和纖維化相關的趨化因子(如CCL2、CCL3和CCL4)下調,而穩態相關的趨化因子(如CCL19、CXCL11和CXCL13)上調。對野生型和過表達Fbxl12的小膠質細胞的RNA-seq分析證實了Fbxl12對小膠質細胞遷移和趨化因子分泌的調控作用。

圖3. FBXL12調節細胞骨架重組,促進遷移,調節小膠質細胞的免疫反應。
AAV-FBXL12治療可減少瘢痕形成并促進功能恢復
之后,研究人員在脊髓損傷后第7天將AAV-FBXL12(由賽業生物提供)以鞘內注射方式注射至損傷部位附近的脊髓區域。他們發現,FBXL12的過表達可促進小膠質細胞的均勻分布,并誘導神經細胞向損傷部位遷移。此外,小膠質細胞的衰老狀態對其神經修復功能有重要影響。損傷后28天脊髓切片免疫熒光染色顯示,AAV-FBXL12遞送改變了FABP5的表達,并抑制了損傷部位周圍IFITM3的表達,使小膠質細胞呈現無瘢痕傷口愈合的特征。
經AAV-FBXL12治療后,研究人員發現瘢痕區域顯著縮小,損傷后28天和56天分別減少58.9%和58.6%。同時,SCI后損傷部位的GFAP缺失區域和COL3A1表達也顯著下降,表明瘢痕形成減少。這些數據表明在脊髓損傷后第7天注射AAV-FBXL12可實現無瘢痕愈合。
他們下一步探討了FBXL12誘導的無瘢痕修復是否能促進軸突再生。發現AAV-FBXL12遞送導致損傷后28天有更多的軸突穿過損傷中心,損傷后56天檢測到超過2.4 mm軸突再生。電生理學分析顯示,AAV-FBXL12遞送后電生理信號振幅顯著增大,潛伏期顯著縮短,表明信號傳導在一定程度上得到恢復。損傷后49天,部分小鼠出現后肢背側邁步。這些數據證實AAV-FBXL12可促進神經細胞再生以及損傷脊髓的功能重建。

圖4. FBXL12注射可減少小鼠的瘢痕形成,并促進軸突再生
FBXL12通過MYH14 K63泛素化調控細胞骨架重組
為了闡明FBXL12介導小膠質細胞遷移的分子機制,研究人員采用液相色譜-串聯質譜(LC-MS/MS)技術比較了小膠質細胞經MBP刺激后的FBXL12結合蛋白(FBP)圖譜,發現肌球蛋白是激活的小膠質細胞中FBXL12的底物。免疫共沉淀分析表明,FBXL12通過K63連接泛素化修飾增強肌球蛋白重鏈14(MYH14)的穩定性。MYH14與F-肌動蛋白共定位。敲降MYH14可有效阻斷FBXL12介導的小膠質細胞遷移和絲狀偽足形成,證實FBXL12-MYH14-K63泛素化是小膠質細胞骨架重組的關鍵通路。
結論

圖5. FBXL12抑制瘢痕形成并促進脊髓損傷修復
總的來說,這項研究發現,m6A-FBXL12-MYH14軸是激活的小膠質細胞中一種新型的細胞骨架重組通路(圖3)。研究人員發現,在脊髓損傷后第7天針對小膠質細胞中的FBXL12進行靶向干預,可以提供一種有效減少瘢痕形成的新方法,并促進軸突在損傷中心區域的再生。基于這種無瘢痕愈合及微環境改善,未來結合神經營養因子或其他臨床手段進行聯合干預,有望在脊髓損傷后最大程度恢復患者的神經功能。
原文檢索
Xu, X., Gao, F., Chen, Q. et al. F-box/LRR-repeat protein 12 reorchestrated microglia to inhibit scarring and achieve adult spinal cord injury repair. Sig Transduct Target Ther 10, 259 (2025). https://doi.org/10.1038/s41392-025-02354-0