告別SDS-PAGE,Turbo CE-SDS讓蛋白分析更加快、準、穩!
在生物制藥研發與質控領域,蛋白質的精確分析是確保藥物安全性和有效性的關鍵步驟。傳統 SDS-PAGE 凝膠電泳雖廣泛應用,但其耗時費力、重現性差等問題始終困擾著研發人員。如今,毛細管電泳-十二烷基硫酸鈉(CE-SDS)技術憑借高效、精準、自動化的優勢,正在成為新一代蛋白質分析的 “金標準”。
本文將通過分析單克隆抗體、病毒衣殼蛋白,對比Maurice™ 系統 Turbo CE-SDS 與傳統 SDS-PAGE 兩種方法的數據質量、靈敏度及重現性,展示 Turbo CE-SDS 如何實現蛋白分析的“智能升級”!
01. 效率革新:Turbo CE-SDS讓蛋白分析實現高效自動化
傳統SDS-PAGE需手動制膠、染色、脫色,耗時長達數小時,且產生大量有害廢液(圖1)。Maurice™ Turbo CE-SDS 通過全自動工作流程,僅需65分鐘即可完成12個樣本分析,且廢液量大大減少,大幅提升實驗室效率與環保性。

圖1 SDS-PAGE與CE-SDS工作流對比
02. 高靈敏度與精準定:CE-SDS精準解析蛋白雜質與修飾
Maurice™ Turbo CE-SDS 的分辨率遠超凝膠電泳,能夠檢測到 SDS-PAGE 無法分辨的微弱峰和次要修飾,提供更高的分離和定量精度。
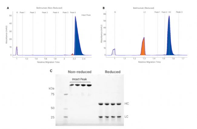
以單抗藥物 Belimumab 為例,圖 2A 和 2B 分別展示了Belimumab使用 Maurice™ Turbo CE-SDS 方法在非還原和還原條件下生成的電泳圖譜,所顯示的峰對應于凝膠電泳結果中的各種條帶。在非還原條件下,CE-SDS不僅清晰顯示主峰,還檢測到3個次要峰Peak1-Peak3(圖2A),而 SDS-PAGE 凝膠檢測不到(圖2C)。在還原條件下CE-SDS生成的電泳圖顯示出分辨良好的輕鏈(LC)和重鏈(HC),以及其他小峰。這些微量雜質可能影響藥物穩定性與療效,CE-SDS 為生物類似藥開發提供了關鍵的質控依據。
圖2 非還原與還原條件下單抗 Belimumab 的CE-SDS 和 SDS-PAGE 分析結果
Maurice 的 CE-SDS 還可用于 AAV 病毒衣殼蛋白的定量分析。如圖3所示,CE-SDS 能夠清晰區分 AAV8 與 AAV9 的 VP1/VP2/VP3 組成,并檢測到低分子量(LMW)雜質與修飾產物(如VP3a),為基因治療產品的質量控制提供全面支持。

圖3 AAV8 與 AAV9 的 CE-SDS 電泳圖
03. 零學習成本:Compass 軟件讓數據解讀無縫銜接
Compass for iCE 軟件的 Lane View 功能可以將實驗得到的電泳圖譜以類似傳統凝膠圖的形式展示出來,無縫銜接傳統數據解讀習慣,使得數據分析更加直觀易懂,且與傳統電泳結果直接對標。
圖4 AAV 樣品的 Compass for iC 產生的凝膠圖(左)與SDS-PAGE凝膠(右)
04. 優越的重現性:CE-SDS突破傳統電泳的批次變異瓶頸
Turbo CE-SDS 通過定量峰積分取代定性條帶強度評估,顯著降低了實驗間的變異性。
通過對比 Belimumab 在 Maurice™ Turbo CE-SDS 連續 34 次進樣與 SDS-PAGE 12 條泳道的數據,發現非還原條件下,CE-SDS 的總峰面積相對標準偏差(%RSD)僅為1.04%,而 SDS-PAGE 高達23.56%(圖5)。還原條件下,Turbo CE-SDS 的 LC 和 HC 的峰面積百分比的%RSD也遠低于 SDS-PAG(圖6),表明 CE-SDS 具有更高的定量重現性。同樣在 AAV8 與 AAV9 的樣本分析中也證明了這一點。
圖5 Belimumab 的 Maurice Turbo CE-SDS 和 SDS-PAGE 總峰面積重現性的比較(非還原條件下)
圖6 單抗 Belimumab 的 Maurice Turbo CE-SDS 和 SDS-PAGE 的峰面積百分比重現性的比較(還原條件下)
05. 還在固守 SDS-PAGE?—— 技術革新正當時
將Maurice™ Turbo CE-SDS與SDS-PAGE 同步用于單克隆抗體和 AAV 樣本分析,數據已經證實 CE-SDS 以更快速度、更高精度和更強重現性實現蛋白分析新突破!

* 本文轉載自「ProteinSimple」微信公眾號