銀屑病
銀屑病(Psoriasis)俗稱牛皮癬,是皮膚科常見的炎癥性自身免疫性疾病,作為目前最常見的自身免疫性疾病之一,全球的患病率高達2%~3%。典型臨床表現為局限或廣泛的點疹、紅斑、鱗屑和膿皰,不具有傳染性。銀屑病會引起瘙癢、刺激、燒灼感和刺痛,約30%的皮膚銀屑病患者也有銀屑病性關節炎。
銀屑病病因
雖然銀屑病的確切病因尚未完全闡明,但遺傳、免疫與環境因素在銀屑病的發生中發揮重要作用。遺傳是銀屑病發病的主要風險因素,白細胞介素23(IL-23)和輔助性T細胞17(Th17)細胞相關的免疫通路是銀屑病發病的核心機制。
1.遺傳因素
迄今為止,已發現的銀屑病易感位點有PSORS1-15(其中PSORS9為中國漢族人群所特有),已確認的銀屑病易感基因有IL-12B、IL-15、IL-23R、LCE3B/3C/3D、IL-23A、IL-17A、TNFAIP3等80多個。
2.環境因素
環境因素在銀屑病的誘發、復發或加重過程中發揮重要作用,包括感染、精神緊張、抽煙、酗酒、某些藥物反應等。點滴狀銀屑病發病常與咽部急性鏈球菌感染有關。精神緊張如應激、睡眠障礙、過度勞累可致銀屑病發生、加重或復發,精神緊張緩解后病情也隨之減輕。創傷如手術、燙傷或擦傷可使受損局部發生同形反應而誘發銀屑病。
3.免疫因素
T細胞、樹突細胞、中性粒細胞和角質形成細胞等多種細胞,通過腫瘤壞死因子α(TNF-α)、γ干擾素(IFN-γ)、IL-17和IL-22等細胞因子,引起銀屑病特征性變化,包括中性粒細胞浸潤、血管生成。活化的樹突細胞等可產生IL-12和IL-23,誘導Th1、Th17和Th22細胞活化或增殖,產生TNF-α、IL-17和IL-22等細胞因子,刺激角質形成細胞過度增殖及產生相關的細胞因子和趨化因子,形成炎癥循環。其中IL-23和Th17細胞發揮了核心作用,IL-23可促進Th17細胞產生IL-17,IL-17家族中IL-17A與銀屑病發病機制最為密切。TNF-α可促進多種炎癥細胞因子、趨化因子和血管黏附分子等的表達,并放大IL-17等細胞因子效應。IFN-γ可促進IL-23和Th17細胞的反應。IL-15和IL-23可協同刺激Th17細胞反應。此外,IL-17A可通過激活信號傳導子和轉錄活化子1(STAT1)和STAT3通路促進角蛋白K17表達,參與銀屑病發病,靶向抑制K17通路可作為銀屑病新的治療策略。上述免疫分子與相應的細胞膜受體結合后,通過Janus激酶(JAK)、磷酸二酯酶4(PDE4)等信號通路傳遞,引發尋常型銀屑病及PsA。此外,IL-36通路在膿皰型銀屑病尤其是泛發性膿皰型銀屑病(generalized pustular psoriasis,GPP)發病中起關鍵作用[1]。
南模生物銀屑病模型
南模生物長期致力于自身免疫性疾病相關研究,開發了多種銀屑病小鼠模型,為相關藥物的藥效評估和安全性評價提供了強有力的工具。
在前面的推文中我們已經對IMQ誘導Balb/c、hIL23A、hPD-1/hPD-L1、hIL17A/hIL17F銀屑病小鼠模型進行過介紹,相關數據可點擊下方鏈接查看:
IMQ誘導Balb/c銀屑病小鼠模型
IMQ誘導hIL23A銀屑病小鼠模型
IMQ誘導hPD-1/hPD-L1銀屑病小鼠模型
IMQ誘導hIL17A/hIL17F銀屑病小鼠模型
IL-23主要作用是促進Th17細胞的分化和增殖。Th17細胞能分泌IL-17A等一系列促炎細胞因子。在IL-23誘導的小鼠銀屑病模型其機制是IL-23與細胞表面受體結合后,激活下游的信號轉導通路,如JAK-STAT通路,使得轉錄因子RORγt等表達增加,從而促進Th17細胞的生成。這些Th17細胞分泌的細胞因子會作用于角質形成細胞,導致表皮增生、角化過度等銀屑病典型的病理變化。
/ Rat IL-23因子誘導的SD大鼠銀屑病模型/
部分數據如下:

圖1. Rat IL-23因子誘導的大鼠銀屑病模型。(A)體重;(B)體重變化。

圖2. Rat IL-23因子誘導的大鼠銀屑病模型。(A)耳厚度;(B)耳厚度變化;(C)銀屑病面積和嚴重程度指數。

圖3. Rat IL-23因子誘導的大鼠銀屑病模型耳部圖。

/ Human IL-23因子誘導的SD大鼠銀屑病模型/
部分數據如下:

圖5. Human IL-23因子誘導的大鼠銀屑病模型。(A)體重;(B)體重變化。

圖6. Human IL-23因子誘導的大鼠銀屑病模型。(A)耳厚度;(B)耳厚度變化;(C)銀屑病面積和嚴重程度指數。

圖7. Human IL-23因子誘導的大鼠銀屑病模型耳部圖。

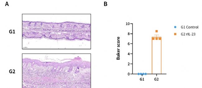
圖8. Human IL-23因子誘導的大鼠銀屑病模型。(A)H&E染色代表圖;(B)Baker評分。
除上述模型外,南模生物還可提供銀屑病相關靶點人源化小鼠模型,助力新藥研發。部分相關品系如下表:

如您有相關需求,歡迎撥打400-728-0660或于微信公眾號南模生物SMOC在線咨詢,或致信marketing@modelorg.com,我們的專業團隊將竭誠為您服務!
Reference:
[1] 中國銀屑病診療指南(2023版) - 中華皮膚科雜志 (yiigle.com)
關于我們
上海南方模式生物科技股份有限公司(Shanghai Model Organisms Center, Inc.,簡稱"南模生物"),成立于2000年9月,是一家上交所科創板上市高科技生物公司(股票代碼:688265),始終以編輯基因、解碼生命為己任,專注于模式生物領域,打造了以基因修飾動物模型研發為核心,涵蓋多物種模型構建、飼養繁育、表型分析、藥物臨床前評價等多個技術平臺,致力于為全球高校、科研院所、制藥企業等客戶提供全方位、一體化的基因修飾動物模型產品解決方案。