B細胞驅動的EAE模型在助力多發性硬化研究突破中的應用
瀏覽次數:772 發布日期:2025-6-3
來源:本站 僅供參考,謝絕轉載,否則責任自負
多發性硬化(MS)是一種中樞神經系統慢性自身免疫性疾病,主要攻擊大腦、脊髓和視神經中的神經髓鞘,導致神經信號傳導受阻,引發多樣化癥狀,如肢體麻木、乏力、視力下降(如視神經炎)、平衡障礙、認知功能減退等,病情常呈緩解 -復發交替的 “波動性” 進程,部分患者最終可能發展為進行性神經功能殘疾。其病因與遺傳、環境(如病毒感染、維生素D缺乏)、免疫異常等多因素相關。
目前主要由三種髓鞘蛋白(或蛋白多肽)用于誘發EAE模型:髓鞘少突膠質細胞糖蛋白(myelin oligodendrocyte glycoprotein,MOG),髓鞘堿性蛋白(myelin basic protein,MBP)和髓鞘蛋白脂質蛋白(myelin proteolipid protein,PLP)。
在前面的推文中我們已經對MOG35-55誘導的C57BL/6小鼠EAE模型及MBP誘導的Lewis大鼠EAE模型進行過介紹,可點擊下方鏈接查看:
MOG35-55誘導的C57BL/6小鼠EAE模型
MBP誘導的Lewis大鼠EAE模型
本期我們將為大家介紹MOG1-125誘導的EAE模型。
南模生物EAE模型及藥效評估
MOG作為中樞神經系統髓鞘的主要成分之一,一直是自身免疫性疾病研究的熱點。在EAE模型中,MOG蛋白特異性抗體(MOG-IgG)的產生是導致自身免疫神經炎癥的關鍵因素。因此,MOG蛋白成為了研究自身免疫疾病發病機制和治療手段的重要靶點。
實驗性自身免疫性腦脊髓炎(EAE)模型探究多發性硬化癥(MS)的關鍵動物模型。在采用MOG35-55誘導的EAE模型中,主要由特異性致敏的CD4+ T細胞發揮主導作用,而B細胞并未被免疫原所激活。相比之下,在使用MOG1-125誘導的EAE模型中,T細胞和B細胞均被激活,該模型是B細胞依賴的EAE模型,為B細胞藥物藥效研究提供了有效的評價工具。
Fenebrutinib 是一種BTK抑制劑,通過選擇性抑制B細胞和先天免疫細胞中的BTK信號通路,減少促炎細胞因子釋放并抑制免疫細胞向中樞神經系統遷移,從而干預多發性硬化(MS)的免疫病理過程。
/ MOG1-125誘導的C57BL/6小鼠EAE模型及Fenebrutinib藥效評價 /
部分數據如下:

圖1. MOG1-125誘導的C57BL/6小鼠EAE模型及Fenebrutinib藥效評價。(A)體重;(B)臨床評分。

圖2. MOG1-125誘導的C57BL/6小鼠EAE模型及Fenebrutinib藥效評價。(A)脾臟指數;(B)淋巴結指數。

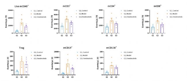
圖3. MOG1-125誘導的C57BL/6小鼠EAE模型及Fenebrutinib藥效評價。流式分析淋巴結中淋巴細胞亞群。

圖4. MOG1-125誘導的C57BL/6小鼠EAE模型及Fenebrutinib藥效評價。ELISA檢測血清中mIgG以及anti-hMOG1-125 mIgG。

圖5. MOG1-125誘導的C57BL/6小鼠EAE模型及Fenebrutinib藥效評價。(A)H&E染色及LFB染色代表圖;(B)H&E染色評分;(C)LFB染色評分。
如您有相關需求,歡迎撥打400-728-0660或于微信公眾號南模生物SMOC在線咨詢,我們的專業團隊將竭誠為您服務!
Reference:
[1] Dang, Amy K et al. “B cell recognition of myelin oligodendrocyte glycoprotein autoantigen depends on immunization with protein rather than short peptide, while B cell invasion of the CNS in autoimmunity does not.” Journal of neuroimmunology vol. 278 (2015): 73-84. doi:10.1016/j.jneuroim.2014.12.008
[2] Langlois, Julie et al. “Fenebrutinib, a Bruton's tyrosine kinase inhibitor, blocks distinct human microglial signaling pathways.” Journal of neuroinflammation vol. 21,1 276. 27 Oct. 2024, doi:10.1186/s12974-024-03267-5
關于我們
上海南方模式生物科技股份有限公司(Shanghai Model Organisms Center, Inc.,簡稱"南模生物"),成立于2000年9月,是一家上交所科創板上市高科技生物公司(股票代碼:688265),始終以編輯基因、解碼生命為己任,專注于模式生物領域,打造了以基因修飾動物模型研發為核心,涵蓋多物種模型構建、飼養繁育、表型分析、藥物臨床前評價等多個技術平臺,致力于為全球高校、科研院所、制藥企業等客戶提供全方位、一體化的基因修飾動物模型產品解決方案。