2025年5月,復旦大學儲以微、駱菲菲共同通訊在Cell Metabolism(IF=27.7)在線發表題為“Foxp3 confers long-term efficacy of chimeric antigen receptor-T cells via metabolic reprogramming”的研究論文。該項工作系統性地闡明了Foxp3在CAR-T細胞代謝程序中的關鍵作用,為改善CAR-T在實體瘤治療中的療效瓶頸提供了新的解決策略。
南模生物為該研究提供了M-NSG重度免疫缺陷小鼠。

嵌合抗原受體T細胞(CAR-T)療法作為血液系統腫瘤領域的革命性突破,其臨床轉化在實體瘤治療領域仍面臨嚴峻挑戰。究其機制,CAR-T細胞通過糖酵解和線粒體氧化磷酸化(OXPHOS)雙途徑供能的特性,使其在低葡萄糖、缺氧及高乳酸濃度的實體瘤微環境中易發生代謝適應性障礙,最終形成能量耗竭與功能失活的惡性循環。
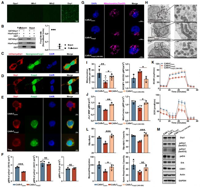
本研究構建了新型CAR-T細胞(CAR-TFoxp3),這種新型CAR-T細胞共表達了Treg核心轉錄因子Foxp3。與傳統CAR-T相比,CAR-TFoxp3表現出糖酵解與OXPHOS活性降低,而脂代謝增強的顯著特征。分子機制研究揭示,Foxp3蛋白通過核-線粒體轉位機制發揮作用。其Forkhead結構域(340-390氨基酸殘基)與線粒體分裂動力蛋白Drp1的GTPase結構域(600-620氨基酸殘基)發生特異性相互作用。這種相互作用通過空間位阻效應抑制了Drp1的Ser616位點磷酸化,進而導致線粒體過度融合以及氧化磷酸化(OXPHOS)效率降低,同時增強了脂代謝活性。因此,CAR-TFoxp3細胞表現出類似調節性T細胞(Treg)的代謝特征。然而,盡管CAR-TFoxp3細胞具有類似Treg的代謝特征,但在Treg特征性免疫抑制基因位點的染色質開放區域中,CAR-TFoxp3細胞并未表現出顯著的富集現象,且Treg特異性轉錄因子的結合位點在CAR-TFoxp3細胞的開放染色質區域中也未被顯著識別。此外,CAR-TFoxp3細胞不表達CTLA-4、IL-10、TGF-β等免疫抑制性分子,也不具備免疫抑制功能。

圖1. CAR-TFoxp3細胞的代謝特征
體外功能實驗發現,CAR-TFoxp3細胞展現出與CAR-TConv細胞等效的腫瘤特異性殺傷活性。但是,在應對腫瘤抗原多次刺激時,CAR-TFoxp3細胞相較于CAR-TConv細胞,展現出顯著的抗耗竭表征,表現為PD-1、LAG-3、TIM-3等耗竭分子表達降低,CD62L、BCL-6等干細胞樣記憶表型占比升高。進一步在體內移植瘤模型中發現(使用M-NSG重度免疫缺陷小鼠構建),與CAR-TConv細胞相比,CAR-TFoxp3細胞顯著抑制腫瘤生長,并有效抵抗二次母本腫瘤的攻擊。腫瘤浸潤CAR-TFoxp3細胞也呈現更低的耗竭表征和更高的干細胞樣記憶表征。同樣,CAR-TFoxp3細胞體內的抗腫瘤有效性和持久性也依賴于Foxp3介導的代謝重塑。此外,在腫瘤-免疫雙人源小鼠模型中的研究結果發現,CAR-TFoxp3細胞仍可有效抑制腫瘤生長,實現了40%的完全緩解,而CAR-TConv細胞治療組小鼠腫瘤均未見完全緩解。

圖2. CAR-TFoxp3作用模式圖
總的來說,本研究發現了一種基于代謝重編程的新策略,這種策略可以在保證治療效果的同時,增強CAR-T細胞在實體瘤微環境中的適應性,從而提升CAR-T細胞治療實體瘤的持久性和有效性。
南模生物擁有經驗豐富的模型定制團隊,可為客戶定制敲除、條件性敲除、點突變、人源化、敲入等多種類型的基因編輯小鼠。此外,南模生物擁有含上萬種成品小鼠的模型資源庫,基本覆蓋熱門基因的敲除/條件性敲除小鼠、免疫缺陷小鼠、靶點人源化小鼠、自發疾病小鼠、Cre/Dre 工具鼠、熒光示蹤小鼠等。
南模生物長期致力于模式生物領域,若您有相關需求,歡迎撥打400-728-0660熱線或于南模生物微信公眾號在線咨詢,我們的專業團隊將竭誠為您服務!
關于我們
上海南方模式生物科技股份有限公司(Shanghai Model Organisms Center, Inc.,簡稱"南模生物"),成立于2000年9月,是一家上交所科創板上市高科技生物公司(股票代碼:688265),始終以編輯基因、解碼生命為己任,專注于模式生物領域,打造了以基因修飾動物模型研發為核心,涵蓋多物種模型構建、飼養繁育、表型分析、藥物臨床前評價等多個技術平臺,致力于為全球高校、科研院所、制藥企業等客戶提供全方位、一體化的基因修飾動物模型產品解決方案。