南模生物構建的huHSC-(M-NSG)小鼠模型,助力中山大學腫瘤防治中心研究團隊揭示BCL-2抑制劑APG-2575增強非小細胞肺癌免疫治療療效的機制。
免疫檢查點抑制劑是抗腫瘤免疫治療的主要療法之一,已在多種晚期腫瘤中獲批相應適應癥,但免疫耐藥問題仍不容小覷,例如非小細胞肺癌免疫治療單藥有效率僅20%左右。因此,進一步探索高效低毒的免疫聯合治療方案,擴大臨床獲益人群是亟待解決的問題。
2023年12月7日,中山大學腫瘤防治中心趙洪云教授、楊大俊研究員、張力教授研究團隊在Cellular & Molecular Immunology雜志發表了題為“The BCL-2 inhibitor APG-2575 resets tumor-associated macrophages toward the M1 phenotype, promoting a favorable response to anti-PD-1 therapy via NLRP3 activation”的研究成果。

該研究首次揭示了BCL-2抑制劑APG-2575通過激活活化NLRP3促進腫瘤相關巨噬細胞向M1型極化進而增強非小細胞肺癌免疫治療療效的研究結果,為APG-2575與PD-1單抗聯用增敏非小細胞肺癌免疫治療提供可靠證據,為后續臨床研究的設計、開展臨床轉化及精準篩選獲益人群奠定了理論基礎,有望為晚期肺癌患者開辟新的治療策略。

圖1. 文獻圖解
研究團隊長期致力于探索抗腫瘤免疫聯合治療新策略,開展了我國自主研發的1類創新藥物BCL-2抑制劑APG-2575聯合PD-1單抗的臨床前研究。
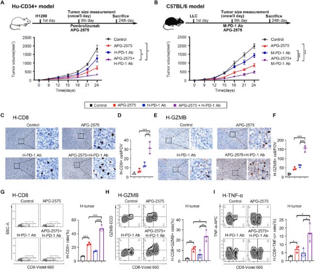
在南模生物提供的huHSC-(M-NSG)小鼠和C57BL/6小鼠腫瘤模型中證實了APG-2575與PD-1單抗可通過增加腫瘤微環境中CD8+ T細胞的浸潤進而發揮協同抗腫瘤作用。且APG-2575發揮增強CD8+ T細胞抗腫瘤免疫的作用依賴于巨噬細胞。

圖1. APG-2575 在huCD34+ 和 C57BL/6 小鼠模型中增強免疫檢查點抑制劑的療效。
近年來,抗腫瘤免疫治療是當下的研究熱點,而免疫系統人源化小鼠是成為該治療手段中常用的臨床前動物模型之一。
免疫系統人源化小鼠
免疫系統人源化小鼠是通過將人的造血細胞、淋巴細胞或組織植入免疫缺陷小鼠體內,從而使其重建人類免疫系統的小鼠模型,可更好地模擬人體免疫特征。
huHSC-(M-NSG)小鼠模型
HuHSC-(M-NSG)小鼠模型,是免疫系統人源化小鼠模型的一種,是通過將人CD34+ 造血干細胞(Hematopoietic stem cell, HSC)注射到免疫缺陷宿主小鼠M-NSG中,從而實現人類免疫系統的重建。目前認為Hu-HSC 模型是最適于研究免疫治療的動物模型之一,其能建立人的固有免疫系統和淋巴細胞,通常不發生或輕微發生GvHD,可用于長期研究。
接下來,研究團隊研究發現APG-2575可有效的促進巨噬細胞由M2型再極化成M1型,且APG-2575對巨噬細胞極化的調控不依賴于其靶點BCL-2。進一步機制研究證實了APG-2575通過激活NF-κB/NLRP3信號通路進而促進M2型腫瘤相關巨噬細胞向M1型巨噬細胞極化,最終介導減弱腫瘤微環境免疫抑制的新作用。
該研究為非小細胞肺癌免疫治療聯合新模式的開發與發展提供了全新的視角,為未來非小細胞肺癌免疫治療臨床試驗中聯合APG-2575和PD-1單抗的治療提供了新的臨床前證據。
*部分轉載自中山大學腫瘤防治中心訂閱號