
賽業生物《每周一鼠》,每周五更新,為大家講解一個小鼠模型的故事,希望對大家了解不同的小鼠模型有所幫助。今天和大家見面的是Adamts5基因敲除小鼠。
Adamts5基因
Adamts5基因編碼的蛋白屬于ADAMTS蛋白家族成員,該蛋白家族是一種具有血小板反應蛋白基序以及去整合素和金屬蛋白酶活性的蛋白家族。
該家族的蛋白都具有幾個保守結構域,如前肽區域、金屬蛋白酶結構域、整合素樣結構域和血小板反應蛋白1型(TS)基序。該家族中的有些蛋白在C端上的TS基序的數量有所不同,有些成員具有獨特的C端結構域。
該基因編碼的前蛋白經過蛋白水解加工形成成熟的酶,這種酶包含兩個TS基序。除此之外,該酶還可以作為一種蛋白聚糖酶,可切割蛋白聚糖(aggrecan),這種蛋白聚糖是軟骨中的主要蛋白聚糖,因此,該酶可以介導骨關節炎中的軟骨的損傷[1]。

圖1. Adamts5蛋白結構預測模型[2]。
Adamts5編碼的蛋白是一種在結締組織的形成、發育、炎癥和細胞遷移中起重要作用的金屬蛋白酶。該蛋白還具有細胞外基質(ECM)降解酶活性,對硫酸軟骨素蛋白聚糖(CSPG)的透明質酸部分顯示出蛋白水解活性。
該酶對透明質酸的裂解發生在Glu-Xaa基序處,還通過對硫酸軟骨素蛋白聚糖的重塑特性在胚胎發育(包括肢體和心臟形態發生)和骨骼肌發育中發揮作用。該蛋白可以在成肌細胞周圍的細胞基質中進行切割,促進骨骼肌發育和再生所需的成肌細胞融合[3]。
骨關節炎
骨關節炎(OA)是一個世界范圍內流行的疾病。膝關節骨性關節炎(KOA)是最常見的骨關節炎類型,可降低老年人的生活質量并增加社會經濟負擔。之前,OA被認為僅僅是一種磨損性疾病,慢性負荷和關節生物力學受損導致關節軟骨破壞以及炎癥,隨后導致關節僵硬、腫脹和活動能力下降。
現在研究認為OA是由炎癥和代謝因子調控的更復雜的過程。OA發病過程中最顯著病理變化是關節軟骨的降解。關節軟骨是長于長骨末端和椎間盤內的光滑軟骨,它提供了一個低摩擦表面,同時能夠傳遞重物。盡管軟骨內膠原蛋白的半衰期很長,但即使是輕微損傷也會使軟骨的愈合非常緩慢。除軟骨外,OA患者中整個關節均會受到影響,包括滑膜、關節韌帶和軟骨下骨[4]。
根據流行病學調查結果顯示,在2005-2015年,世界范圍內骨關節炎患者的數量增加了30%。50歲以上的人中,骨關節炎的發病率大約是50%。在中國約有1.75億人患有骨關節炎,總發病率為12.5%,其中75歲以上的人,80%都會出現骨性關節炎的臨床癥狀,而除了會對患者造成臨床上的病痛之外,骨關節炎還會對患者造成睡眠障礙等影響。
Adamts5基因敲除小鼠
Adamts5基因敲除小鼠在誘導骨關節炎后表現出軟骨退化顯著減少的表型[6]。
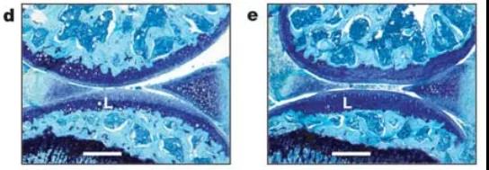
05年的一篇文獻中,研究人員使用mBSA注射到膝關節的方式誘導關節炎模型,為了確認敲除ADAMTS5是否可以防止小鼠的蛋白聚糖損失和軟骨損傷。研究人員通過觀察脛骨關節切片中甲苯胺藍染色情況判斷軟骨中蛋白聚糖的損失。結果顯示,Adamts5敲除小鼠的聚集蛋白聚糖的損失顯著低于對照組小鼠(圖2a、d、e)[7]。


圖2. 使用藥物在對照組小鼠和Adamts5敲除小鼠中誘導關節炎。
a. 通過對照組(n=14)和Adamts5敲除組(n= 13)小鼠的脛股關節切片對蛋白聚糖缺失進行評分,并使用曼-惠特尼U檢驗進行數據分析。
d,e. 對注射了mBSA的脛股關節進行分析,(d)圖是對照組小鼠的脛骨關節切片,(e)是Adamts5敲除小鼠的脛骨關節切片,蛋白聚糖丟失區域用L指示[7]。
09年的一篇文獻中,研究人員在研究Adamts5敲除引起的白斑缺陷小鼠(bt)時,發現Adamts5和bt/bt雙基因缺失的小鼠會發展出并指的表型(圖3A)。相比之下,單純的Adamts5敲除小鼠或bt/bt小鼠發生并指的概率相對低很多(分別為44%和18%)。
雖然每只Adamts5和bt/bt雙基因缺失的小鼠中至少涉及三個并指,但融合的嚴重程度各不相同(圖3B)。使用mCT對成熟的Adamts5和bt/bt雙基因缺失小鼠的四肢進行三維重建,結果顯示合并的手指并不存在骨性并指(圖 3C)[8]。

圖 3. 不同組合的Adamts等位基因突變比單一Adamts突變更容易形成軟組織并指的表型。
A. 不同基因型導致軟組織并指表型的外顯率直方
B. 與野生型小鼠相比,在Adamts5和bt/bt雙基因缺失的小鼠前肢和后肢中可以看到軟組織并指的表型。箭頭表示并指的位置。
C. 對3周大的Adamts5和bt/bt雙基因缺失小鼠的爪子進行mCT分析[8]。
治療方法
目前并沒有治愈OA的方法,治療方法多圍繞減少可變的危險因素、關節內治療、物理治療、替代療法和手術治療以及一些新療法展開。降低危險因素主要通過運動、減重的方法治療OA。藥物療法中,通常使用非甾體類消炎藥(NSAID)和對乙酰氨基酚來治療OA。關節內注射類固醇是治療OA炎癥發作的一種方法,盡管療效有限且作用時間短。對保守治療無效或疼痛嚴重影響其生活質量的患者來說,全膝關節置換術(TKR)是治療金標準。這種手術可顯著緩解患者的疼痛,促進其功能改善。除此之外,還有很多的創新藥也已用于治療骨關節炎[4]。
GLPG1972/S201086是Galapagos公司發現的一種藥物,該藥物已經在兩種動物模型中被證實可靶向軟骨降解酶ADAMTS-5。在I期研究中,該藥達到了安全性和藥代動力學目標,并且在治療2周內將ARGS新生抗原表位(軟骨破壞的生物標志物)在血液中的水平降低了大約50%。在最近的一項研究中,該藥治療4周內發現了與動物實驗類似的結果,即以劑量依賴的方式將ARGS新生抗原表位在血液中水平降低50%,同時表現出耐受性良好[9]。
干細胞治療也是近幾年研究較多的一種方法,相比于傳統治療方式,干細胞治療膝骨關節炎有望從根本上促進軟骨再生修復、抗炎能力,最終恢復骨關節功能。近幾日,海思科醫藥集團與Lorecivivint公司簽署一份長效治療骨關節炎的候選首創新藥的合作協議,作用靶點為CLK2和DYRK1A[10]。

圖4. 骨關節炎的治療方法,數據來源于《骨關節炎診療指南2018版》。
小結
OA的發病機制尚不清楚,一般認為與肥胖、外傷、軟骨代謝異常、免疫、酶對軟骨基質的降解等多種因素有關,其中聚蛋白多糖酶家族(ADAMTSs)與OA的關系日益受到醫學界的重視.