
賽業生物《每周一鼠》,每周五更新,為大家講解一個小鼠模型的故事,希望對大家了解不同的小鼠模型有所幫助。今天和大家見面的是Ybx2基因敲除小鼠。
Ybx2基因
Y盒結合蛋白2 (YBX2),也稱為Contrin或Msy2是非洲爪蟾DNA/RNA結合蛋白和小鼠MSY2蛋白的人類同源物。由Ybx2基因編碼,是一種在生殖細胞中高度表達的核酸結合蛋白。該蛋白質能與一些基因啟動子的Y-box元件區域結合,也能與這些基因轉錄出來的mRNA結合[1]。
YBX2蛋白是信使核糖核蛋白顆粒 (mRNP) 的主要成分,能參與調節生殖細胞中mRNA的穩定性及翻譯。YBX2蛋白能通過不依賴序列的方式以很高的親和力與全長mRNA結合,或者低親和力地與特異性序列5'-UCCAUCA-3'相結合。該蛋白與母源mRNA的結合能保證該蛋白停留在細胞質中,還可以在細胞核中標記由Y-box啟動子轉錄出來的特定的mRNA,并使這些RNA累積在細胞質中,從而進一步調控這些RNA的轉錄穩定性和翻譯速率[2]。

圖1. YBX2蛋白質結構預測[3]
與Ybx2相關的疾病包括混合性生殖細胞腫瘤和卵巢無性細胞瘤。與該基因相關的GO注釋分析包括核酸結合通路以及脂質結合通路。該基因的一個重要同源基因是Ybx3[4]。
Ybx2基因敲除小鼠
Ybx2(別名Msy2)基因的純合敲除會導致雌性和雄性小鼠的不育。在精子形成過程中,生殖細胞會在減數分裂后期終止,同時分裂期間細胞的凋亡顯著增加,并且,在附睪中觀察不到精子。成年雌性小鼠的卵巢中能觀察到一些生長中的卵泡但觀察不到黃體[5]。
1●Msy2-/-雄性小鼠精子形成的晚期會出現停滯現象
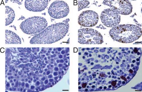
Yang J、Medvedev S、Yu J等人為了確定Msy2-/-雄性不育的原因,首先選擇在6周齡時對睪丸進行分析比較,實驗結果顯示,Msy2-/-雄性小鼠的睪丸重量(63.95±3.52mg;n=6)在統計學上顯著輕于野生型雄性小鼠的睪丸(88.68±3.77mg;n=6)。在低倍鏡下,與成年野生型小鼠相比,成年的Msy2-/-雄性小鼠的曲細精管中未檢測到成熟精子(圖2A)。在高倍鏡下,與野生型小鼠相比(圖2C)相比,研究人員在Msy2-/-雄性小鼠睪丸中的許多生精小管(圖2B和2D)中看到精子細胞伸長導致精子形成受阻。
除此之外,研究人員觀察到許多二倍體的空泡精細胞以及多核精細胞。雖然研究人員也發現了少量外觀正常的精細胞,但大多數精細胞形態畸形,表現出不同程度的濃縮,并且通常具有多個細胞核。不僅如此,成年Msy2-/- 雄性小鼠的附睪中缺乏成熟的精子(圖2F),而野生型小鼠的附睪中充滿了精子(圖2E)。因此,Msy2的缺失導致精子形成后期發育阻滯,這種結果可能是由于減數分裂后期生精基因的調控異常導致的。

圖2. 來自6周齡和7周齡野生型和Msy2敲除小鼠的睪丸和附睪的組織學切片[6]。
A-B. Msy2敲除小鼠的睪丸。
C. 野生型小鼠的睪丸。
D. Msy2敲除小鼠的睪丸。
E. 野生型小鼠的附睪。
F. Msy2敲除小鼠的附睪。(比例尺:A、E 和 F,20μm;B-D,80μm)
2●Msy2敲除小鼠睪丸中TUNEL陽性細胞的水平顯著增加
研究人員猜測Msy2敲除小鼠表現出的不育癥和睪丸重量降低可能是生殖細胞缺失導致的,為了確定這個假設,研究人員進行了TUNEL實驗分析,實驗結果顯示,與野生型小鼠相比,在7周齡Msy2敲除小鼠的睪丸中可以檢測到TUNEL陽性細胞的數量顯著增加(圖 3)。
在更高的放大倍數下,可以看到大多數TUNEL陽性細胞處于減數分裂前期,處于減數分裂后期的生殖細胞的數量較少。

圖 3. 對野生型和Msy2敲除小鼠睪丸的TUNEL實驗。通過在野生型小鼠和Msy2敲除小鼠的睪丸切片中進行原位TUNEL染色檢測凋亡細胞(棕色)(比例尺:A和B,20μm;C和D,100μm)[6]。
3●Msy2敲除雌性小鼠具有早期卵母細胞缺失的表型
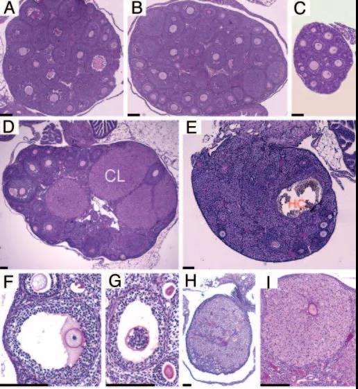
研究人員為了探究Msy2敲除雌性小鼠的不孕癥,在不同的時間點對卵巢進行了分析。在2日齡和8日齡時,野生型雌性小鼠和Msy2敲除雌性小鼠的卵巢無明顯差異。到21日齡時,Msy2敲除雌性小鼠卵巢中的卵泡較少(圖4C),而在對照組同年齡階段的雌性小鼠中,其卵巢具有多個次級和早期卵泡(圖4A和B)。
到8周齡時,野生型小鼠的卵巢具有完整的卵泡和黃體(圖4D),而Msy2敲除小鼠的卵巢只能觀察到較少的卵泡和出血性囊腫(圖4E)。到20周時,Msy2敲除小鼠卵巢中出現了一系列表型,諸如囊腫、卵母細胞缺乏卵丘細胞(圖4F)、死亡的卵母細胞以及間質和顆粒細胞“侵入”透明帶(圖 4G)。
在8月齡時,Msy2敲除小鼠的卵巢大小和卵泡數量出現變化,9只Msy2敲除小鼠中有3只小鼠的卵巢很小,而且一般沒有卵母細胞和卵泡(圖4H和I)。研究人員發現全部Msy2敲除小鼠的卵巢都有豐富的間質組織,推測可能是退化的卵泡殘余物和透明帶殘余物。
有趣的是,9只Msy2敲除小鼠中有5只小鼠的卵巢具有黃體,并且其中央包含有卵母細胞,這種表型類似于具有排卵缺陷的小鼠模型,比如孕酮受體敲除小鼠和pentraxin-3基因敲除小鼠。最后,研究人員對4只Msy2敲除雌性小鼠進行促性腺激素誘導排卵,但4只小鼠都沒有響應激素刺激而排卵。因此,卵母細胞中Msy2的缺失會導致卵母細胞早期發育缺陷、排卵缺陷和不孕癥。

圖4. Msy2敲除雌性小鼠和正常雌性小鼠卵巢的組織學[6]。
A–C. 三周齡野生型小鼠(A)、Msy2+/-雜合子小鼠(B)和Msy2-/-小鼠(C)的卵巢在相同的放大倍數下進行拍照。D. 野生型小鼠8周齡的卵巢。E–I. Msy2敲除小鼠8周(E)、20 周(F-G)和8個月(H-I)時的卵巢照片。值得注意的是,與C圖相比,A圖和B圖中的卵泡數量更多,D圖中能觀察到大量黃體和處于不同發育階段的卵泡,但在E圖中,可以發現黃體缺失、卵泡數量減少,還有出血性囊腫(HC)以及間質組織的增加的表型(比例尺:100μm。)
小結
Ybx2(Msy2)基因是一個生殖細胞特異性的基因,敲除小鼠的表型主要集中在生殖細胞上,這些結果表明要研究此基因對生殖細胞的形成,只需要做敲除小鼠就可以。此外,Ybx2基因與mRNA的穩定性有很大關系,老師們也可參考此基因在細胞實驗中的結果,看該基因在小鼠上是否會產生類似的現象,以及是否存在代償的途徑。