
基于AAV載體的基因治療在近年來備受關注,今天給大家分享的文章證實了通過AAV調控相關基因表達,可緩解全身性代謝紊亂,從而提高胰島素敏感性,為人類肥胖相關代謝性疾病提供了新的治療策略。
近年來研究表明胰島素抵抗與代謝紊亂相關,為探討PPA1對全身性胰島素敏感性的影響,研究人員首先構建了PPA1基因敲除小鼠,通過高脂喂養后出現脂肪細胞功能損傷和全身代謝紊亂,并表現出多組織的胰島素抵抗。進而通過AAV遞送使PPA1基因敲除小鼠體內過表達PPA1,發現全身性代謝紊亂和胰島素抵抗等疾病表型得到了顯著改善,進一步研究證實了,PPA1可作為PPARγ靶基因,起到維持脂肪細胞線粒體功能并達到調節全身胰島素敏感性的作用。
構建PPA1基因敲除小鼠模型并觀察到胰島素敏感性下降
通過構建PPA1基因敲除小鼠(實驗組),給予正常飼料喂養,發現實驗組小鼠相比于野生型(對照組)小鼠在體重、血糖水平以及葡萄糖耐量試驗等方面無顯著差異,但通過葡萄糖鉗夾技術(檢測胰島素抵抗的“金標準”)檢測,我們發現實驗組小鼠的胰島素敏感性降低,隨著小鼠年齡的增長,其胰島素抵抗不斷升高,且相比于對照組小鼠的空腹血糖顯著升高,表明AAP1可能在維持全身性胰島素敏感性上發揮重要作用。

圖1. PPA1基因缺陷可引起小鼠胰島素敏感性下降。
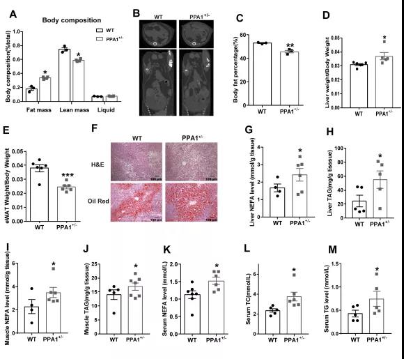
PPA1的缺乏加劇高脂喂養導致的小鼠脂肪代謝紊亂和胰島素抵抗
通過高脂喂養,我們發現在相同能量攝入的條件下,實驗組小鼠的體重相比對照組增加程度更大,空腹血糖水平也更高,其中實驗組小鼠的耗氧量、CO2產生量和呼吸交換率RER均顯著下降,這表明能量消耗減少是PPA1基因敲除小鼠肥胖的原因之一。在實驗組小鼠的肌肉、肝臟和脂肪組織中均發現胰島素信號傳導通路受到了顯著抑制,從而表現出更低的胰島素敏感性。進而通過檢測小鼠身體成分,發現小鼠出現嚴重的非脂肪組織的脂質沉積,即皮下脂肪組織和內臟組織的脂肪沉積減少,但在肝臟中的沉積及外周血中血清總膽固醇(TC)、甘油三酯(TG)水平顯著升高。

圖2. 高脂喂養小鼠脂肪量減少和異位脂肪沉積增加。
通過AAV2/9表達PPA1可顯著改善小鼠全身性代謝紊亂及胰島素抵抗
通過對組織形態和功能進行分析,發現在實驗組PPA1缺陷小鼠中,參與脂肪細胞分化功能的多個基因出現表達下降,血清脂聯素水平也顯著降低。因此懷疑PPA1可能是通過影響脂肪細胞功能從而導致全身性非脂肪組織脂質沉積和代謝紊亂,從而加劇胰島素抵抗。為了驗證這個假設,在PPA1缺陷小鼠的腹股溝白色脂肪組織中原位注射AAV2/9(小鼠4周齡,1×1012 vg/ml,連續注射2次,每次12μl),實現PPA1基因的過表達。與GFP組相比,小鼠的血清脂聯素顯著升高,且脂肪組織炎癥、肝臟脂肪變性及含量、TC/TG水平均顯著得到了改善,更重要的是,小鼠肝臟和肌肉中的胰島素敏感性得到了顯著恢復。這證實了通過AAV原位注射,將目的基因遞送到脂肪組織中實現PPA1的表達,可有效改善(治療)因PPA1缺陷而導致的胰島素抵抗。

圖3. PPA1缺陷引起脂肪組織損傷與全身胰島素抵抗有關。
PPA1通過影響脂肪細胞線粒體功能及其產物發揮其對代謝紊亂的改善作用
通過生信預測,發現PPARγ可直接靶向結合PPA1的啟動子上,且在脂肪細胞中兩者表達呈正相關。由于PPARγ被認為是脂肪生成和線粒體功能的關鍵調節因子,作者通過代謝組學分析,發現PPA1敲低表達后約226種線粒體代謝產物增加,132種產物減少,包括多種與線粒體功能障礙密切相關的代謝物。

圖4. PPA1通過影響脂肪細胞線粒體功能及其產物發揮其對代謝紊亂的改善作用。
總結
PPA1缺陷會引發脂肪細胞功能損傷及多組織的胰島素抵抗,并進一步引發全身代謝紊亂,其可能機制為PPA1缺乏會破壞脂肪細胞的線粒體生物學功能。通過AAV的遞送使PPA1缺陷小鼠體內過表達PPA1,可有效改善脂肪細胞的代謝和脂質沉積,并提高胰島素敏感性,發揮了一定的治療效果。