
腦性癱瘓(腦癱,CP)是由于控制肌肉運動的腦部區域(運動區)畸形或損傷而引起的一組癥狀。主要表現為中樞性運動障礙和姿勢異常,還伴有智力障礙、癲癇、視力和聽力問題、語言障礙等。全球有2000多萬名腦癱患者,給家庭和社會帶來沉重負擔。
腦癱的病因有很多種,包括分娩期間缺氧、新生兒感染等。然而,三分之二的腦癱患者是足月出生的,分娩期間缺氧僅能解釋不到10%的腦癱病例。近八成的病例還無法確定病因。近年來,越來越多的證據表明遺傳因素與CP相關。不過,人們對腦癱的遺傳和分子機制知之甚少,這阻礙了腦癱的預防、診斷和治療。
對此,廣州市婦女兒童醫療中心的研究團隊歷時五年,對120個特發性腦癱家庭開展深入的臨床和分子分析,鑒定出潛在的有害的遺傳變異。這項研究成果于6月初發表在Brain雜志上。通訊作者為兒科研究所胡昊研究員和韓丁丁副研究員、康復科徐開壽主任,以及南通大學劉東教授。

國際權威神經病學期刊Brain創刊于1878年,是久負盛名的神經病學權威期刊,一個半世紀以來報道過很多神經病學發展的里程碑工作,在國際醫學界和學術界有很高的聲望。此次研究得到Brain主編和審稿人的高度評價,稱贊其為“an impressive piece of work, with major scientific merits and important clinical implications”。
120個腦癱家庭的遺傳分析
研究人員總共招募了120個腦癱家庭。大多數患者屬于痙攣型腦癱,其次是運動障礙和共濟失調型腦癱。他們通過多個平臺對患者進行了全面的遺傳評估,包括靶向PCR分析、線粒體基因組測序(6000X)、細胞遺傳學芯片分析、全外顯子組測序(600X)和全基因組測序(36X)(圖1)。

圖1. 腦癱隊列研究信息
他們發現,45%的腦癱患者攜帶了相關的致病變異。其中,生殖系錯義點變異(germline missense SNVs)最為常見,其他類型生殖系變異如插入缺失型變異(indels)、無義點變異(nonsense SNVs)和大片段拷貝數變異(CNVs)均有檢出。研究首次發現腦癱患者中存在合子后體細胞突變(PZM),比例大約為6.7%。此外,運動障礙更嚴重的患者或智力障礙合并癥的患者攜帶疾病相關變異的幾率要高得多。
就遺傳模式而言,常染色體顯性和隱性各占約三分之一。研究人員在30個腦癱家庭中確認了疾病隱性遺傳相關變異,包括21個常染色體隱性疾病家庭、8個X染色體連鎖隱性疾病家庭,還有一名男性患者X染色體上攜帶一個CNV,遺傳自其未患病的母親。
腦癱相關基因的共同特征
研究人員結合當前和以往研究的結果,總共確定了114個腦癱相關基因,遠低于智力障礙涉及到的700多個基因。這些腦癱相關基因中約有一半與智障基因重合,提示這兩種疾病有著部分共同的分子機制。與智障相關基因相比,腦癱相關基因明顯缺乏常染色體隱性基因。他們推測未來的研究很可能在這一方面有所突破。
他們在進一步分析后發現,腦癱相關基因集中在與大腦發育和功能相關的多個模塊中。同時,他們也確定了富含腦癱/智障基因的病原體易感性相關模塊。盡管這些疾病可能是顱內病原體感染的后遺癥,但這些基因的變異是否會增加疾病風險?
通過基因表達分析,研究人員還發現腦癱相關基因在各個腦區中表達,主要是在小腦、初級運動皮層和紋狀體中。此外,這些腦癱相關基因也在多種腦細胞中表達,特別是浦肯野細胞、星形膠質細胞和少突膠質細胞。這些特定的表達模式可以為后續的機制研究提供指引。
有意思的是,他們發現腦癱相關基因可大致分為兩個具有鮮明特征的亞組:前腦表達基因和后腦表達基因。前者(如TYW1)在前腦中高表達,且胚胎期表達水平最高;而后者(如GPAM)在后腦中特異性表達,且表達高峰出現在出生后。攜帶前腦表達基因有害變異的患者往往也是智障患者。因此,前腦表達基因可能參與出生前神經發生,而后腦表達基因參與出生后兩年才完成的髓鞘形成。自此,他們首次提出了腦癱相關基因的二元分類系統,為腦癱的分子病因學研究提供新的視角。之后,他們各挑了一個代表性基因來深入分析。
TYW1變異的深入分析
研究人員從一個家庭的兩名腦癱加智障患者的基因組中鑒定出TYW1基因復合雜合型有害變異。TYW1基因編碼tRNA-懷丁苷合成蛋白。懷丁苷作為苯丙氨酸tRNA第37位鳥苷酸上的一種特殊修飾,能穩定密碼子-反密碼子配對,避免蛋白質翻譯出現移碼。TYW1的表達集中在神經元中,主要是在胚胎發育期間。
他們構建了斑馬魚基因敲低模型和小鼠基因敲除模型,成功模擬了患者的小頭畸形、意識和運動障礙,以及神經元增殖和遷移問題。之后通過回補實驗證明患者基因變異的有害性。由此,他們推斷TYW1基因缺陷是造成腦癱患者臨床癥狀的原因。
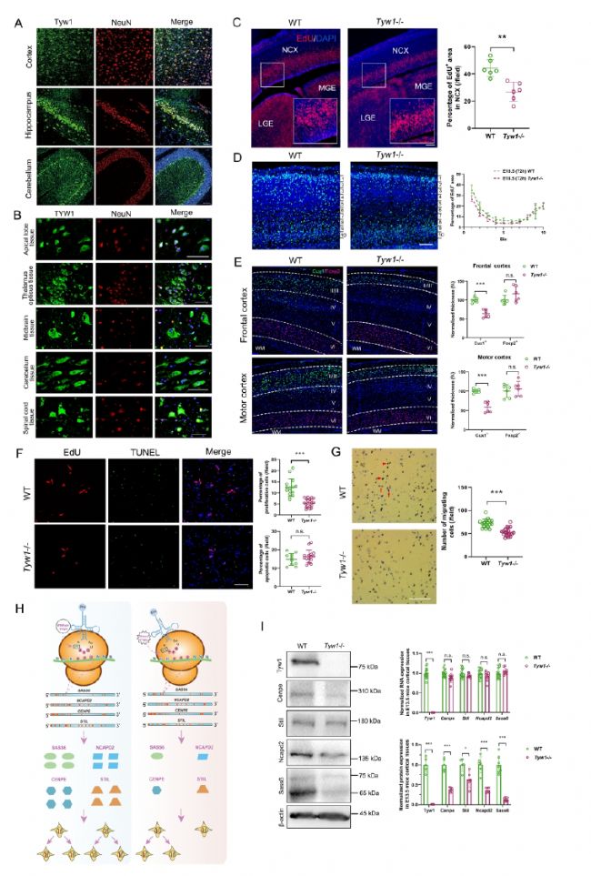
通過對小鼠模型的分析,研究人員發現Tyw1缺陷造成神經元增殖和遷移受阻。成年期小鼠的腦切片分析表明,神經元遷移受阻導致大腦皮層淺層變薄而深層加厚,這一現象在額葉皮層和運動皮層均能觀察到,為患者兼具腦癱和智障兩種表型提供了機制信息(圖2)。

圖2. 缺陷型TYW1的功能機制
為了探索TYW1的表觀遺傳調控機制,研究人員還構建了一個模型來模擬懷丁苷水平如何影響核糖體移碼,以此來評估人、小鼠和斑馬魚胚胎發育時期腦蛋白質組受到的影響。他們發現,四種蛋白質受到了顯著影響,分別是CENPE、STIL、NCAPD2和SASS6。有意思的是,這四種蛋白質都參與了細胞周期和有絲分裂,據報道其缺陷與原發性小頭畸形有關。
GPAM變異的深入分析
研究人員還從一名痙攣型四肢癱瘓腦癱患者的基因組中鑒定出GPAM基因復合雜合型有害變異。不過,該患者的智商高達116。她代表了一半腦癱群體,雖有運動障礙但智力正常。GPAM基因編碼脂代謝限速酶,對脂質合成有重要影響。
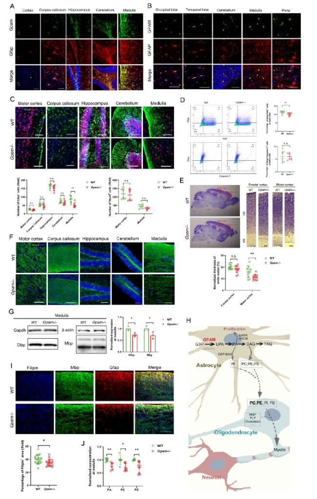
他們同樣構建了斑馬魚基因敲低模型和小鼠基因敲除模型,成功模擬了患者運動能力下降但沒有智力障礙這種特殊表型。他們發現,GPAM在中樞神經系統中特異性表達,主要是在星形膠質細胞中,且在小鼠后腦中的表達在出生后14天達到最高水平(圖3)。星形膠質細胞中的酶活性主要由GPAM維持。

圖3. 缺陷型GPAM的功能機制
在Gpam-/-小鼠中,他們觀察到星形膠質細胞數量減少,尤其是在髓質區域。有意思的是,腦切片染色顯示Gpam-/-小鼠運動皮層的白質厚度明顯下降。同時,小鼠大腦髓質區域內的髓鞘標志物(髓鞘結合蛋白,Mbp)顯著降低。因此,他們推測Gpam基因缺陷可能導致皮質脊髓束的髓鞘形成不足。該研究中的所有小鼠均由賽業生物提供,包括野生型C57BL/6J和敲除小鼠。
髓鞘是一種特殊形式的少突膠質細胞膜,包裹在神經突觸外,其脂質含量遠高于一般細胞膜。之前的研究發現,在小鼠模型中,少突膠質細胞的脂質合成受阻會導致急性脫髓鞘病。不過,這種損傷在一段時間后可自行緩解。最近的研究又發現,大腦中的脂質主要來源于星形膠質細胞。
研究人員于是提出,GPAM基因在星形膠質細胞中參與脂質合成,并輸送給少突膠質細胞用于髓鞘形成。GPAM基因缺陷擾亂了星形膠質細胞的脂質代謝,導致星形膠質細胞增殖受抑制,并造成少突膠質細胞髓鞘形成所需的脂質含量不足,導致持久的脫髓鞘病變。
小結
總的來說,這項研究根據腦癱相關基因的二元時空表達模式提出了一種新的分類系統。這有望作為一份有用的指南,幫助人們探索腦癱相關基因的潛在機制,并設計靶向療法。研究人員認為,未來還需要從更大隊列中鑒定出更多的腦癱相關基因來證實這個分類系統。
原文檢索:
Li N, Zhou P, Tang H, et al. In-depth analysis reveals complex molecular aetiology in a cohort of idiopathic cerebral palsy. Brain. 2021 Jun 2:awab209. doi: 10.1093/brain/awab209. Epub ahead of print. PMID: 34077496.