空間生物學研究指南(上篇)
瀏覽次數:1118 發布日期:2024-10-25
來源:徠卡顯微鏡
空間生物學簡介

測序技術、質譜技術、多組學方法、成像技術和人工智能分析技術的進步,大大提高了從生物樣本(尤其是人體組織)中獲取信息的深度。這些相互關聯的工具及其提供的不同見解,催生了一個快速發展的領域,即空間生物學。通過整合這些先進技術所提供的背景,空間生物學正在改變生物研究。但什么是空間生物學,研究人員如何利用其工具來滿足后組學時代日益增長的生物學問題的需求?
本文簡要概述了空間生物學及其技術,以及這一動態領域的關鍵研究問題。
什么是空間生物學?
簡單地說,空間生物學就是研究分子、細胞和組織在其原生二維或三維空間環境中的組織和相互作用,以及它們之間的關系。通過空間生物學,研究人員可以探索原生組織微環境中的相互作用,揭示其細胞表型多樣性和空間結構。

掃碼免費領取
《空間生物學指南》電子版(英文)

如何生成空間生物學數據?
空間生物學數據是通過不同的技術方法生成的,或者通常是這些方法的組合,其中最主要的方法包括:
- 基于圖像的方法,如轉錄組學和蛋白質組學,使用基于抗體的多路復用或 RNAScope 等技術
- 將質譜、質譜或測序技術與激光顯微切割等互補方法結合起來的工作流程,這種方法可以分離出區域,甚至是單個細胞,用于下游的 omics 分析,同時保留空間上下文
- 基于人工智能的空間關系量化分析是所有這些方法的補充,也是從復雜數據集中獲得有意義的見解所必需的
空間轉錄組學/基因組學
利用顯微鏡、RNA 測序、原位雜交及其他自動計數和剖析方法,研究具有空間背景的轉錄組或基因表達。為了提高靈敏度,在采用顯微切割技術后還需要進行下游分析,以便將 RNA 測序讀數分配到特定的物理位置。
空間蛋白質組學
使用基于抗體的多重成像或質譜方法來了解蛋白質的定位及其動態,這些技術之間的主要區別在于所需的靈敏度。成像技術正越來越多地與下游質譜技術相結合,利用微切片組織區域,將分析數據與參考圖像重新對齊,以提供空間背景。
空間代謝組學
利用精確的測量標準,提供非蛋白質代謝物的定量空間信息,如脂類(脂質組學)、糖類(糖組學)和藥物分子,以深入了解人體組織化學。
空間多組學是什么?
空間多組學是一個新興領域,它將多種組學技術結合起來,以獲得更大的背景和更深入的見解。例如,結合蛋白質組學和轉錄組學數據,深入了解組織切片內的定位情況。
激光顯微切割系統 - 為下游蛋白質組學、基因組學和轉錄組學分析保留空間背景。
空間生物學在組織研究中的重要性
腫瘤微環境(TME)等異質組織是具有不同表型變化的細胞的復雜組合。因此,研究腫瘤、基質和免疫細胞之間的組織和相互作用需要一種空間多重成像研究方法,為此需要高靈敏度和特異性的抗體。與傳統的顯微鏡相比,多重成像技術能觀察到更多的生物標記物,因此能從人體組織樣本中提取更多的信息。
清晰的全組織成像。
生物標記物的多重成像
通過同時觀察多種生物標記物,可以識別和分析復雜的組織和細胞表型。基于抗體的多重成像技術使研究人員能夠研究蛋白質表達的時間和地點,并按細胞類型、生物標記物表達譜和特定特征(稱為空間表型)繪制正常和患病組織的圖譜。通過對細胞的空間圖譜繪制和分析,可以更深入地了解組織狀況和疾病進展,這對生物標記物的發現至關重要。
Cell DIVE 多路復用成像解決方案 - Cell DIVE 是一種精確、開放的多路復用解決方案,可讓您的研究決定所需的自動化程度、使用哪種抗體、如何構建抗體面板等。
多重成像有哪些不同類型?
在基于顯微鏡的方法中,“復用性”(即樣本中分析的分析物數量)存在差異。低/中復用方法分析的生物標記物數量較少,而高復用方法則可分析數百或數千個生物標記物。研究人員可以選擇基于低復合物成像的技術,如傳統的光學顯微鏡,對組織樣本進行更高分辨率的成像。當樣本具有復雜的三維結構(如球體或厚組織)時,這一點至關重要。
目前已有許多不同的復用成像方法,每種方法都采用不同的方法來實現更高的復用性。主要分為以下幾類:
- 單步染色和成像、針對有限靶點的單輪染色(一次通過)。
- 綜合多組學工作流程和迭代染色,可對組織樣本中的蛋白質分布和相互作用進行詳細分析。
剖析目標區域,進行重點空間生物學分析
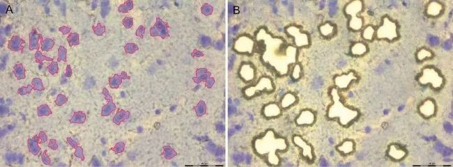
例如基于全息技術的方法,或者在不受周圍細胞污染的情況下對特定切片進行進一步研究。例如,在癌癥生物學中,腫瘤區域和非腫瘤區域之間以及腫瘤內部都存在明顯的分子差異。只有通過分離這些區域的特定切片,才能解讀這些差異。激光顯微切割(LMD),又稱激光捕獲顯微切割(LCM),正越來越多地用于空間生物學,從各種樣本中分離和解剖單個目標細胞或整個組織區域。這種方法可與人工智能(AI)引導的方法相結合,自動定義需要解剖的感興趣區(ROI)。
激光顯微切割簡介 - 精確定位或分離單個細胞和組織結構。
人工智能在空間生物學中的興起
空間生物學技術可生成大量數據,通常以圖像的形式存在,其中蘊含著許多研究問題的答案。然而,這些數據的龐大數量和復雜性給分析工作帶來了挑戰。此外,在分析多個標簽和成千上萬個數據點時,克服分析的主觀性也是一大障礙。這些因素助長了使用人工智能驅動的多路復用圖像分析從空間數據中獲得有意義和可量化見解的趨勢。例如,對異質組織樣本進行人工智能驅動的機器學習分析,可以揭示獨特的、以前未識別的細胞表型及其在組織微環境中的分布。這種洞察力能讓科學家更好地對腫瘤類型進行分類,并對治療反應做出更準確的預測,最終改善患者的預后。
用 STELLARIS 系統采集的標有 8 種 OPAL 染料和 DAPI 的多重人體扁桃體組織,用 Aivia 14 進行細胞分割。
空間生物學包括各種工具、方法和分析,它們將不同的技術(如組學技術)與基于成像的方法相結合,以獲取位置信息,從而增強我們對組織結構和空間相互作用的理解。隨著這些技術的進步,研究人員可以解決的問題范圍將變得更加復雜。癌癥生物學、神經科學和發育生物學等復雜領域有望從這些突破中獲得重大影響。采用空間生物學思維方式將促進這些方法的整合,并激勵研究人員在其實驗系統中探索新方法。
相關產品
了解更多:徠卡顯微