
空間生物學(Spatial Biology)是一門涉及生物組織內細胞和結構的空間排布以及它們在三維空間中相互關系和相互作用的學科。這種研究方法探索了細胞和組織在空間中的布局、分布和相互聯系,以揭示生物體內的復雜生物過程和功能。
空間生物學研究的重要工具包括多色成像技術、高分辨率顯微成像技術、3D圖像重建和分析軟件等。通過這些技術,研究者可以同時可視化和分析多種生物標志物或分子在組織中的空間分布,進而了解細胞類型的分布、細胞內信號傳遞的網絡、細胞遷移和組織重塑等重要過程。
總而言之,空間生物學為我們提供了在細胞和組織層面深入研究生物系統的能力。通過空間分析和定量測量,我們能夠更好地理解生物體內的結構和功能,促進疾病診斷和治療的進步,并為藥物開發和治療策略的優化提供新的見解。通過空間生物學的研究,我們可以揭示生物體內的奧秘,并為解決重大生物醫學問題做出貢獻。
DMi8倒置熒光顯微鏡

DMi8倒置熒光顯微鏡是徠卡光學集大成者,擁有開放式的設計理念,光學擴展模塊含有兩個新型無限遠接口,三個相機接口以及激光防護工具,可以進行各類型的熒光成像實驗甚至是高端的TIRF實驗。
►方案特點



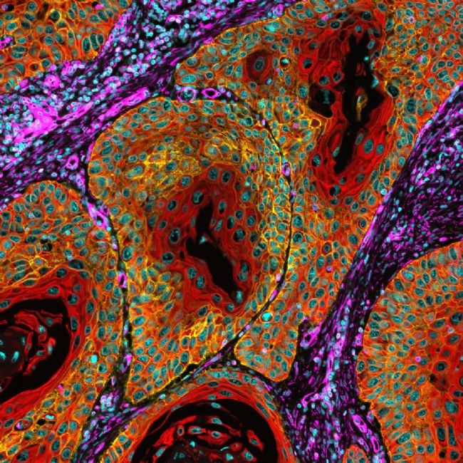
通過DMi8獲取的各類腫瘤組織切片熒光成像
THUNDER高分辨率組織成像系統

THUNDER高分辨率組織成像技術是一種用于記錄高分辨率、多色、全景、三維成像的技術。通過THUNDER技術有效地消除厚組織切片的離焦信號,獲取高分辨率和深度成像的數據。高精度的電動對焦驅動,幫助實現精確的全景組織區域成像。搭配不同的熒光染色方法,可以實現10色以內的熒光成像。
►THUNDER技術原理
THUNDER技術采用硬件加軟件的整體解決方案,在寬場成像原理下,通過計算清除(Computational Clearing)和自適應反卷積(Adaptive Deconvolution)的方法,有效的減少離焦信號的干擾,保留焦平面的信號,從而提高對比度,改善圖像質量并提供更多細節信息供進一步分析。XY軸分辨率能達到136nm,Z軸分辨率能達到264nm,是一種廣泛受到學術界認可的寬場高分辨率成像技術。
新一代Live THUNDER,通過實時THUNDER技術,在預覽的模式下,實現高分辨率條件下的視野尋找,提高實驗工作效率。

成年雄性大鼠大腦切片,70μm;
綠色:NeuN神經元,紅色:星形膠質細胞,藍色:細胞核;
數據來自廣州醫科大學附屬第二醫院
►方案特點
可升級THUNDER-LMD(激光顯微切割)一體機,從高分辨率成像,到高精確切割,提取純凈、單一的細胞/組織。

神經元深度成像
►應用案例
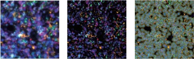
腫瘤免疫微環境(TIME)在濾泡性淋巴瘤的發生發展過程中起著至關重要的作用。
人淋巴瘤樣本。panel中所包含指標為Ki67(增殖)、CD3(免疫細胞)、CD4(輔助T細胞)、CD8(殺傷性T細胞)、FOXP3(調節T細胞)、CD163(M2巨噬細胞)。
TSA試劑盒來自覽微生物科技(上海)有限公司


深度探究微環境內細胞分布與空間關系,通過Aivia分析軟件,將淋巴瘤組織進行細胞自動識別與分類分析(不同的顏色代表不同的細胞類型)。

常規寬場成像(左)、THUNDER高分辨率寬場成像(中)、Aivia細胞分割與圈選(右)THUNDER高分辨率帶來高精確度的細胞識別與分析。
►科研成果發表(部分)
1.Serpine1 mRNA confers mesenchymal characteristics to the cell and promotes CD8+ T cells exclusion from colon adenocarcinomas. Polo-Generelo, S., Rodríguez-Mateo, C., Torres, B. et al. Cell Death Discov. (2024).
2.Protein tyrosine phosphatase PTPRO represses lung adenocarcinoma progression by inducing mitochondria-dependent apoptosis and restraining tumor metastasis. Dai, Y., Shi, S., Liu, H. et al. Cell Death Dis (2024).
了解更多:徠卡顯微