

Figure 1 Accelerated DUB inhibitor ABP IP workflow.
優化流程如下所示:
(A)完整或溶解組織/細胞系的蛋白質提取和抑制劑處理。
(B)HA-Ub-PA探針孵育以標記未抑制的半胱氨酸活性DUB。
(C)抗HA IP,傳統上采用離心或低通量瓊脂糖珠磁收集的方式。在這項工作中,使用安捷倫bravo液體處理平臺96孔板形式提高通量。
(D)免疫沉淀DUB的LC-MS/MS蛋白質組學分析。比較了使用QE Orbitrap和高通量timsTOF獲得的DUB深度。
2.前處理優化結果:

Figure 2. Optimizing the ABPP-HT workflow.
圖2A顯示,250µg上樣量提供了最大的DUB ID。圖2C顯示QE-Orbitrap/ timsTOF MS、0.15%TFA、6 M尿素、HEPES*柱上消化,通過不同洗脫方法確定DUB的強度,得出最有效的洗脫是0.15% TFA與溶解液胰蛋白酶消化相結合。圖2D、圖2E將Evosep One + timsTOF Pro的納升流速與U3000+ Q Extractive進行比較,在相應梯度長度上確定的DUB數量(分別為23和22)沒有顯著差異。與QE MS相比,使用Evosep + timsTOF通過TFA洗脫鑒定的DUB數量減少20%,但質譜利用率大大提高(單次運行, 15 min VS 160 min)。

Figure 3. Optimizing the ABPP-HT workflow.
由圖3結果可知,隨著培養時間的延長,尤其是3-b抑制劑,從DUB中轉移出來,抑制劑的效力較低。因此,對于可逆抑制劑,建議盡量減少探針的孵育時間。使用ABPP-HT工作流程比較了兩次標記時間,當裂解物與探針一起孵育較短時間(10 min VS 45 min 圖2H)時,一些DUB的強度明顯降低。因此作者在圖2I總結了這些優化步驟:(i)優化探針與蛋白質的濃度比;(ii)優化要加載到柱上的蛋白質量;(iii)檢查是否存在感興趣的DUB;(iv)優化探針孵育時間。
3.去泛素化酶濃度的篩選

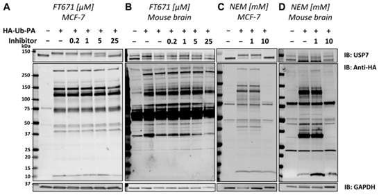
Figure 4 ABPP-HT allows fast generation of DUB inhibitor selectivity profiles in a cellular context.
圖4(A-D)小鼠腦組織和MCF-7細胞裂解物中FT671特異性抑制劑和NEM(半胱氨酸修飾物)濃度依賴性的USP7、HA和GAPDH免疫印跡。FT671在細胞系(圖4A)和腦組織(圖4B)中均抑制USP7,HA印跡顯示FT671與其他標記DUB的反應性很小。另一方面,NEM也在細胞(圖4C)和大腦(圖4D)中抑制USP7。
4.ABPP-HT顯示DUB抑制劑的選擇性和特異性與更高的通量。

Figure 5.ABPP-HT reveals DUB inhibitor selectivity and specificity compatible with higher throughput.
圖5(A-C)分別從timsTOF MS中鑒定出的MCF-7、小鼠腦裂解液、MCF-7裂解液的DUB活性分析。(D-I)MCF-7裂解液中USP7抑制劑FT671、FT827、HBX41108和P22077的濃度依賴性,以及小鼠大腦中3-b和39的USP30抑制劑的濃度依賴性。圖(J)為D-I提取的IC50值,擬合方程為Y=100/(1 + X/IC50)。分析多種濃度的能力也允許繪制和確定所述條件下每種抑制劑的半最大抑制濃度(IC50)。
結果與討論:
與常規的ABPP相比,該方法的深度有所降低,使用ABPP-HT時檢測到15-25個DUB,而使用傳統ABPP時檢測到的DUB為30-40個。與探針反應并被ABPP檢測到的DUB數量高于70,但這需要在LC-MS/MS分析之前對樣品進行高ph的預分餾,這大大增加了每種條件下需要分析的樣品數量,需要分析的時間和成本。

Figure 6. ABPP workflows optimized for DUBome depth and throughput.
圖6比較DUB鑒定深度的ABPP分析(Y軸)和不同檢測方法包括傳統ABPP、基于免疫印跡的ABPP和高通量ABPP(ABPP-HTP)的分析。X軸代表不同方法的檢測樣本數量,繪制的圓圈大小代表了每種受試抑制劑化合物的相對成本。可以看出作者新開發的檢測方法(ABPP-HTP)的鑒定深度略低于傳統方法,但通量遠大于傳統方法。新方法大大提高了檢測效率。
此外,在兩種不同的細胞系和小鼠腦組織中使用DUB抑制劑證明了該方法的多功能性。ABPP-HT允許同時分析六種選擇性DUB抑制劑,并計算其各自的半最大抑制濃度(IC50)值。該方法能夠同時測試更多的抑制劑和濃度。
作者覺得ABPP-HT的通量可以進一步提高。例如TMT(串聯質量標簽),將多達16個樣本組合成一個樣本,從而提供多路復用能力和增強的通量。另一個可通過實施目標蛋白質組學方法進一步提高此類分析靈敏度和DUB覆蓋率,如數據獨立采集(DIA)質譜法。
參考文獻:Jones H B L, Heilig R, Fischer R, et al. ABPP-HT-high-throughput activity-based profiling of deubiquitylating enzyme inhibitors in a cellular context[J]. Frontiers in chemistry, 2021, 9: 44.
原文鏈接:https://www.frontiersin.org/articles/10.3389/fchem.2021.640105/full?ref=image
Evosep成立于2016年,總部位于丹麥Odense,其產品EvosepOne于2017年的HUPO上正式發布。EvosepOne,中文名為高通量蛋白組學分離系統,致力于幫助打造標準化的蛋白組學流程,其具有通量高、重復性好,樣本殘留率低,縮短樣本準備時間,性能穩健等優點。所搭配的高通量方法如下圖所示:

如需進一步了解更多關于Evosep的內容,請咨詢杭州紐藍科技有限公司
聯系郵箱:wangshan@nl17.com